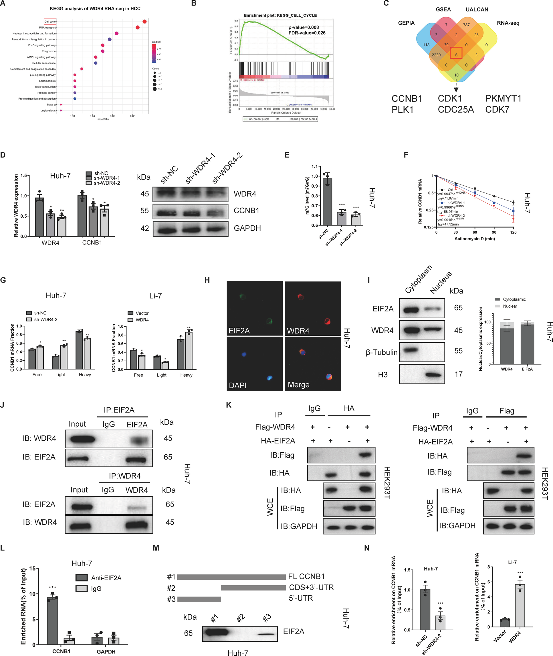
Fig. 6: WDR4 is significantly associated with cell cycle signalling pathways.

A KEGG analysis of RNA-seq data. B GEO data set (GSE105130) was used for GSEA. C Identification of WDR4-related genes through a multidatabase joint analysis. D Detection of CCNB1 expression in Huh-7 cells with stable WDR4 knockdown. E LC/MS results showing m7G methylation levels in Huh-7 cells. F Changes in CCNB1 mRNA stability after actinomycin D treatment of Huh-7 cells. G Relative distribution of CCNB1 mRNA across the polysome fractions in HCC cells. H Representative immunofluorescence images showing WDR4 and EIF2A colocalization. I Western blot analysis of WDR4 and EIF2A using nucleocytoplasmic separation in Huh-7 cell lines. J, K Endogenous co-IP assay and exogenous co-IP assay results showing the binding of WDR4 and EIF2A. L RIP-qPCR results showing the correlation between EIF2A and CCNB1 mRNA levels. M Schematic representation of CCNB1 mRNA depicting fragments used for biotin pulldown assays. N RIP-qPCR results showing the binding of EIF2A and CCNB1 mRNA levels in the presence and absence of WDR4. *p < 0.05; **p < 0.01; ***p < 0.001.