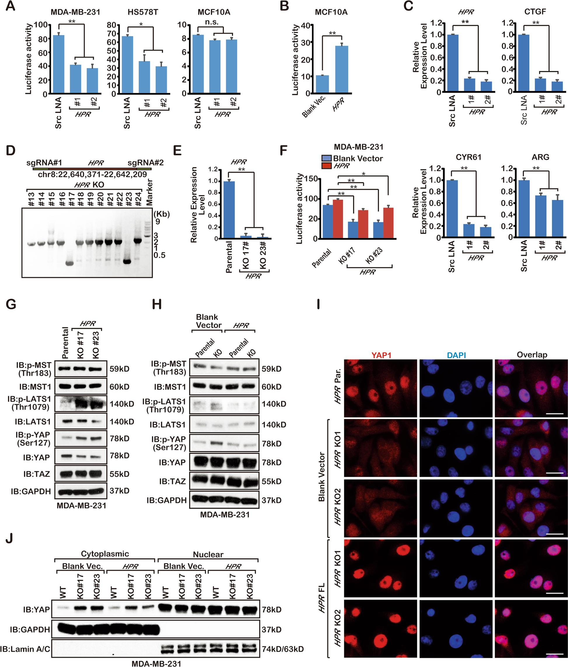
Fig. 3: HPR regulates Hippo pathway activation.
From: LncRNA coordinates Hippo and mTORC1 pathway activation in cancer

a Reporter assay detection of the activation of YAP1 in MDA-MB-231, HS578T and MCF10A cells transfected with the LNA of HPR (*P < 0.05, **P < 0.01). The results are the mean ± s.e.m. of n = 3 independent experiments. P values were determined by one-way ANOVA. b Reporter assay detection of the activation of YAP1 in MCF10A cells transfected with HPR cDNA (*P < 0.05, **P < 0.01). The results are the mean ± s.e.m. of n = 3 independent experiments. P values were determined by one-way ANOVA. c qPCR detection of HPR and substrates of YAP1 expression (**P < 0.01). The results are the mean ± s.e.m. of n = 3 independent experiments. P values were determined by one-way ANOVA. d CRISPR-Cas9 knockout of HPR in MDA-MB-231 cells. e qPCR detection of HPR expression in the MDA-MB-231 cells (**P < 0.01). The results are the mean ± s.e.m. of n = 3 independent experiments. P values were determined by one-way ANOVA. f Reporter assay detection of the activation of YAP1(*P < 0.05, **P < 0.01). The results are the mean ± s.e.m. of n = 3 independent experiments. P values were determined by one-way ANOVA. g, h Immunoblotting detection using the indicated antibodies in HPR-knockout MDA-MB-231 cells. Three independent experiments were performed and yielded similar results. i Immunofluorescence detection using indicated antibodies in the HPR-knockout MDA-MB-231 cells. j Immunoblotting detection using the indicated antibodies in HPR-knockout MDA-MB-231 cells. Three independent experiments were performed and yielded similar results.