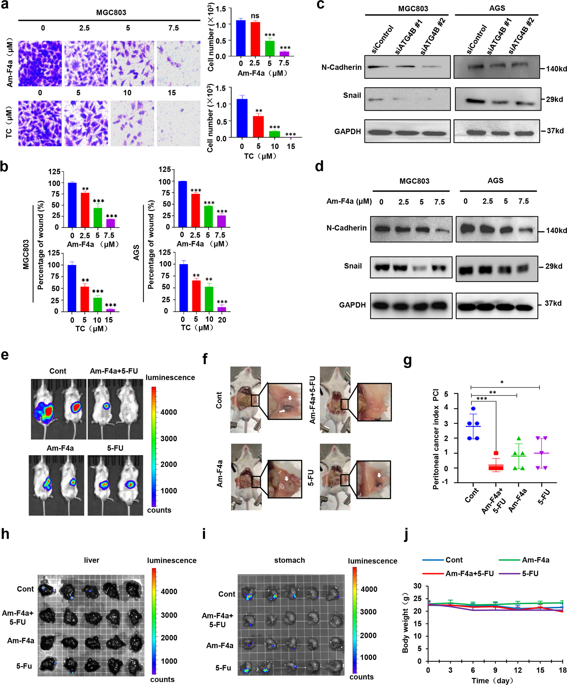
Fig. 6: ATG4B inhibition inhibits GC tumor metastasis.

a The invasion ability of MGC803 cells treated with Am-F4a, TC or vehicle at indicated concentration were evaluated by transwell assay. b The migration of GCa cells were determined using would healing assay. c Immunoblotting analysis of indicated proteins in MGC803 and AGS cells transfected with ATG4B or control siRNA and incubated for 48 h. d Immunoblotting analysis of indicated proteins in MGC803 and AGS cells treated with Am-F4a or vehicle for 48 h. e MKN45 cells stable expressing pLenti-Firefly Luciferase-EGFP were injected into the stomach wall of NCG mice, and randomly divided into four groups as indicated. Tumor growth in the stomach wall and metastases to the peritoneal cavity or other organs were monitored by bioluminescence at 14th day. f, g Representative image of the peritoneal metastasis (white arrows) of MKN45 cells in mice at the end of study (f). The peritoneal nodules were evaluated by peritoneal cancer index (PCI) (g). h, i Metastasis on the liver and stomach were monitored by bioluminescence at the end of study. j The body weight of the mice in all groups have no obvious change. All Data shown above was calculated using two-tailed Student’s t test, results of animal experiments were shown as mean ± S.E.M, n = 5 mice per group. Cell culture experiments were repeated at least three times and shown as mean ± SD. *p < 0.05, **p < 0.01, ***p < 0.001.