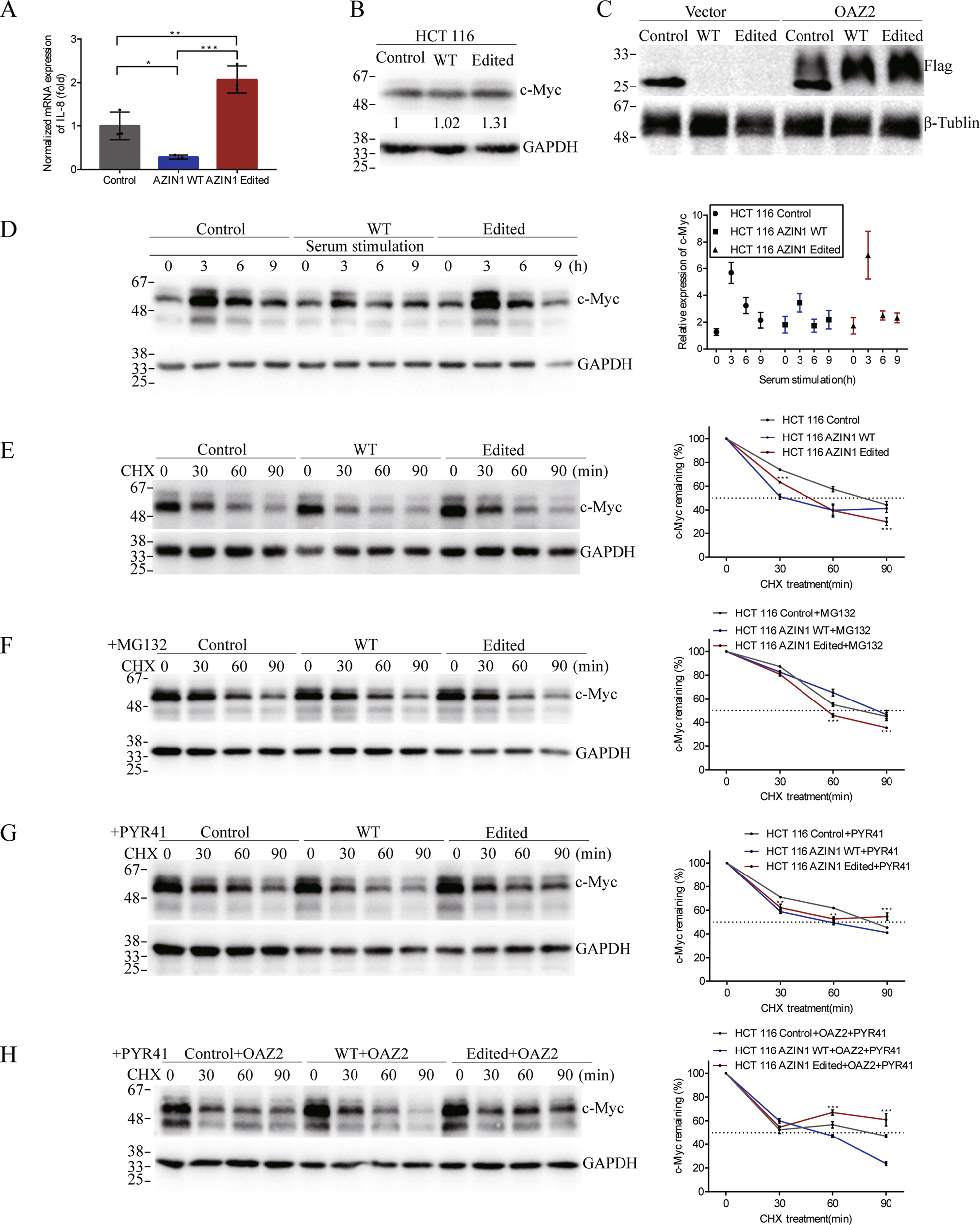
Fig. 7: Analysis of c-Myc expression by Western blot (with β-tubulin and GAPDH as loading controls).
From: A novel mechanism for A-to-I RNA-edited AZIN1 in promoting tumor angiogenesis in colorectal cancer

A RT-qPCR of IL-8 and B Western blots of c-Myc in HCT 116 cells transfected with control, AZIN1 WT type, and AZIN1 edited type. C Western blots of OAZ2 overexpression in three groups of cells. Flag tag was used to quantify the expression of OAZ2 protein. D Western blots of c-Myc in cells stimulated by serum at indicated time point after starvation. E Western blots of c-Myc in cells treated with CHX. F Western blots of c-Myc in cells treated with CHX after pretreated with MG132 for 6 h. G Western blots of c-Myc in cells treated with CHX after pretreated with PYR41 for 6 h. H Western blots of c-Myc in OAZ2 overexpression cells treated with CHX after pretreated with PYR41 for 6 h. Data are presented as means ± SEM. Data in A and from E–H were analyzed with two-way ANOVA test with a Tukey’s multiple comparisons test. Only the significant results from edited group compared with WT group were marked with asterisks. **P < 0.01, ***P < 0.001.