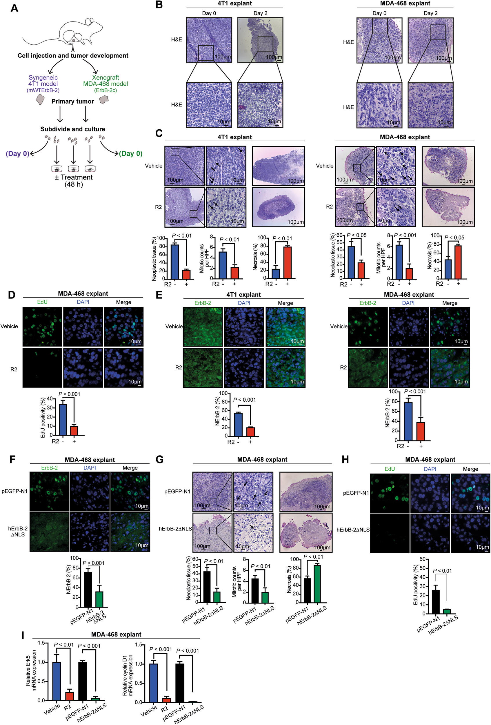
Fig. 3: R2 inhibits growth of TNBC explants.

A Schematic method for ex vivo culture of 4T1 or MDA-468 tumors (see “Materials and methods” for details). B Representative H&E staining of original, uncultured tissue (Day 0) and explants (Day 2). C H&E-stained histological sections of explants treated with R2 (100 µM) or vehicle. Tumor proliferation was quantified by mitotic counts (black arrows) and percentage of tumor necrosis was measured at lower magnification (mean ± SEM). D Representative images of EdU-labeled MDA-468 explants. Bottom: quantification of EdU staining (mean ± SD, n = 50 per group). E ErbB-2 IF in histological sections from explants. NErbB-2 levels are depicted as in Fig. 1C. F ErbB-2 IF in transfected explants as in E. G, H Tumor proliferation, necrosis, and EdU positivity from transfected explants depicted as in C and D. I Erk5 and cyclin D1 mRNA levels were determined and depicted as in Fig. 2J.