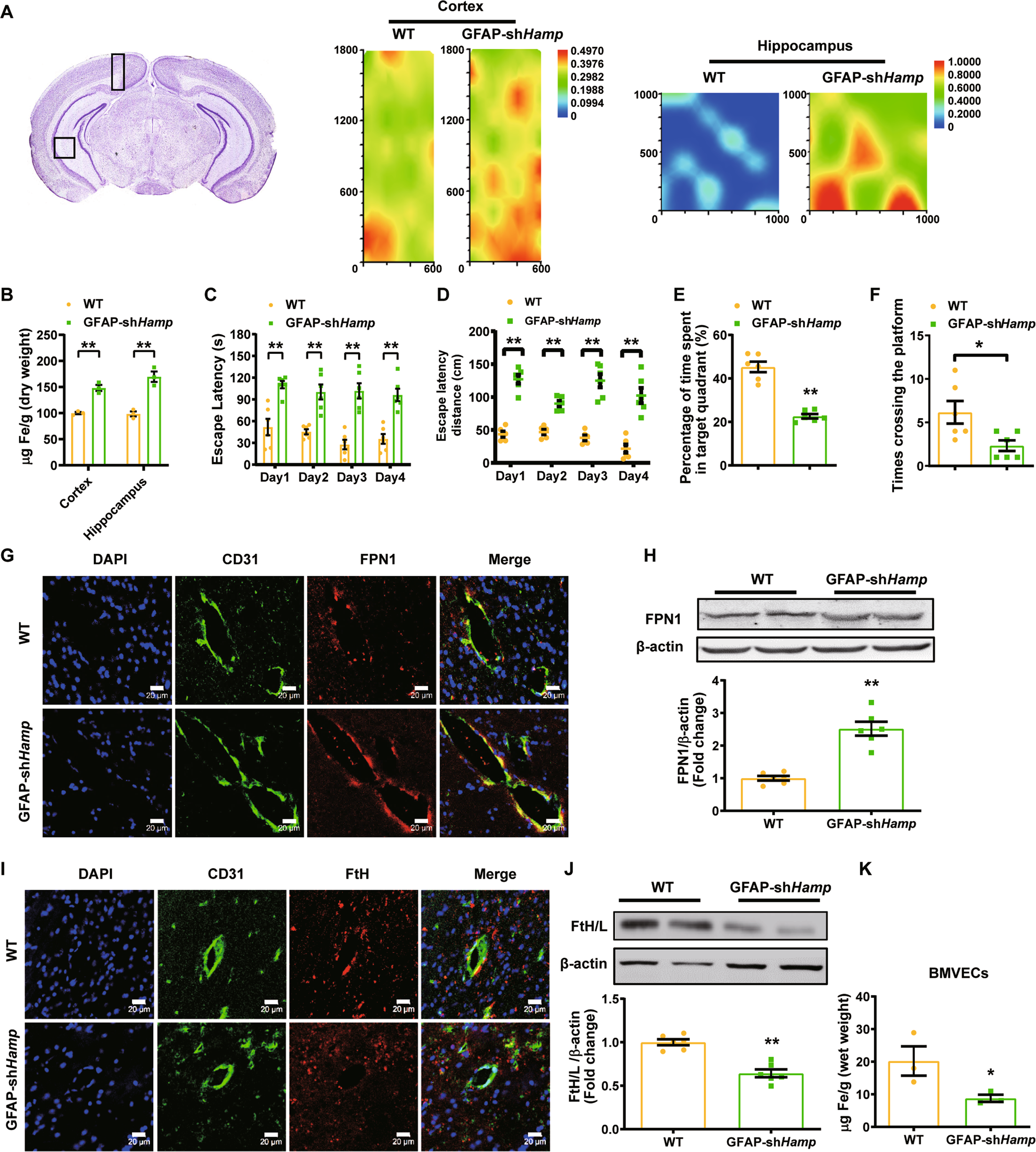
Fig. 1: Astrocyte hepcidin knockdown induced brain iron overload and cognitive decline whereas FPN1 increased in BMVECs.

A is iron content in the cortex and hippocampus of 12-month-old GFAP-shHamp and WT mice measured by SR-XRF. Rectangles in the brain sections in the left panels indicate the areas scanned showing in the right-hand panels. B is total iron in the cortex and hippocampus of GFAP-shHamp and WT mice determined by ICP-MS. Data are presented as the mean ± SEM, n = 3, **p < 0.01 GFAP-shHamp vs. WT group. C-F were GFAP-shHamp and WT mice subjected to a water maze test. The escape latency of time (C), path length (D), times of crossing the platform after removing the platform at the fifth day (E) and percentage of time spent in target quadrant (F) are presented as the mean ± SEM, n = 6, *p < 0.05 and **p < 0.01. G is immunofluorescent staining of CD31 (endothelial cell marker) and FPN1 in the brain of WT and GFAP-shHamp mice. Scale bar = 20 μm. H is the level of FPN1 protein in BMVECs isolated from WT and GFAP-shHamp mice detected by western blot analysis. The relative expression levels were calculated after they were normalized to β-actin levels, and expressed as the mean ± SEM, n = 4 (WT) vs. n = 6 (GFAP-shHamp), **p < 0.01. I is immunofluorescent staining of CD31 and FtH in the brain in WT and GFAP-shHamp mice. Scale bar = 20 μm. J is the level of ferritin protein in BMVECs. The relative expression levels were calculated after they were normalized to β-actin levels and expressed as the mean ± SEM, n = 4 (WT) vs. n = 6 (GFAP-shHamp), **p < 0.01 vs. WT group. K is iron in BMVECs isolated from WT and GFAP-shHamp mice detected by ICP-MS. Data are presented as the mean ± SEM, n = 3, *p < 0.05 vs. WT group.