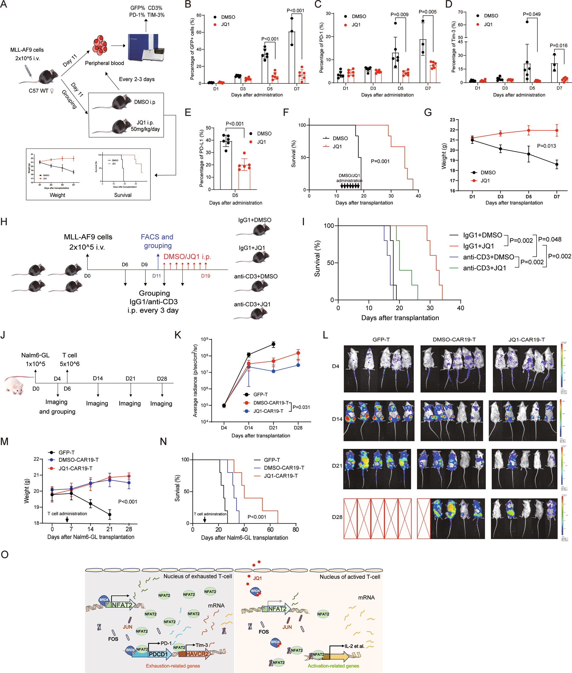
Fig. 7: BET inhibitor suppresses PD-1 and Tim-3 expression, and prolongs survival in murine AML and B-ALL leukemia model.
From: BET bromodomain inhibition rescues PD-1-mediated T-cell exhaustion in acute myeloid leukemia

A Structural diagram of in vivo experiment treated with JQ1 (n = 6 mice per group in this experiment, n = 3 mice per group in the repeated experiment, n (total) = 9 mice). B The percentages of GFP + leukemia cells in peripheral blood were detected by FACS every 2 days after DMSO or JQ1 administration (n = 6 mice per group). C The expression of PD-1 on CD3 + T cells in peripheral blood was detected by FACS every 2 days after DMSO or JQ1 administration (n = 6 mice per group). D The expression of Tim-3 on CD3 + T cells in peripheral blood was detected by FACS every 2 days after DMSO or JQ1 administration (n = 6 mice per group). E The expression of PD-L1 on GFP + T cells in peripheral blood was detected by FACS every 2 days after DMSO or JQ1 administration (n = 6 mice per group). F Kaplan–Meier curve after MLL-AF9 leukemia cells transplantation (n = 6 mice per group, statistical significance calculated using a log-rank test). G Weight change of each mouse in DMSO or JQ1-treated group (n = 6 mice per group). H Structural diagram of in vivo experiment treated with anti-CD3 and JQ1 (n (total) = 5 mice per group). I Kaplan–Meier curve after MLL-AF9 leukemia cells transplantation (n = 5 mice per group). J Treatment schedule and experimental design. B-NDG mice were injected with 1 × l05 Nalm6 cells on day 0, followed by 5 × l06 GFP-T or DMSO-CAR19-T or JQ1-CAR19-T on day 6. Bioluminescence imaging was performed weekly after T-cell administration (n = 5 mice per group in this experiment, n = 6 mice per group in the repeated experiment, n (total) = 11 mice). K The dorsal BLI signal is displayed for individual mice in each treatment group (n = 5 mice per group). L D4-28 bioluminescence imaging of tumor growth (n = 5 mice per group). M Weight change of each mouse in each treatment group (n = 5 mice per group). N Kaplan–Meier survival plot for mice receiving GFP-T or CAR T cells pretreated with DMSO or JQ1 (n = 5 mice per group). O Schematic representation of the mechanism underlying BRD4 inhibition leading to improve T-cell efficacy. Left: BRD4 and NFAT2 involve in the transcription of PDCD1 and HAVCR2. Right: BRD4 inhibitor JQ1 blocks the binding of BRD4 to NFAT2 promoter to prevent the transcription of NFAT2, which inhibits the transcription of PDCD1 and HAVCR2. Besides, JQ1 blocks the binding of BRD4 to the PDCD1 promoter, thus directly inhibiting the expression of PD-1. In short, BRD4 inhibitor inhibits the expression of PD-1 and Tim-3, and increases the secretion of cytokines may partly through NFAT2 signaling pathway. Data are expressed as mean ± SD. n = 3 or more independent biological replicates, presented as individual points. P value < 0.05 was considered to be significant (B–D: one-way ANOVA with Bonferroni post hoc test; G, K, M: two-way ANOVA; E: two-tailed unpaired Student’s t tests; F, I, N: log-rank teat).