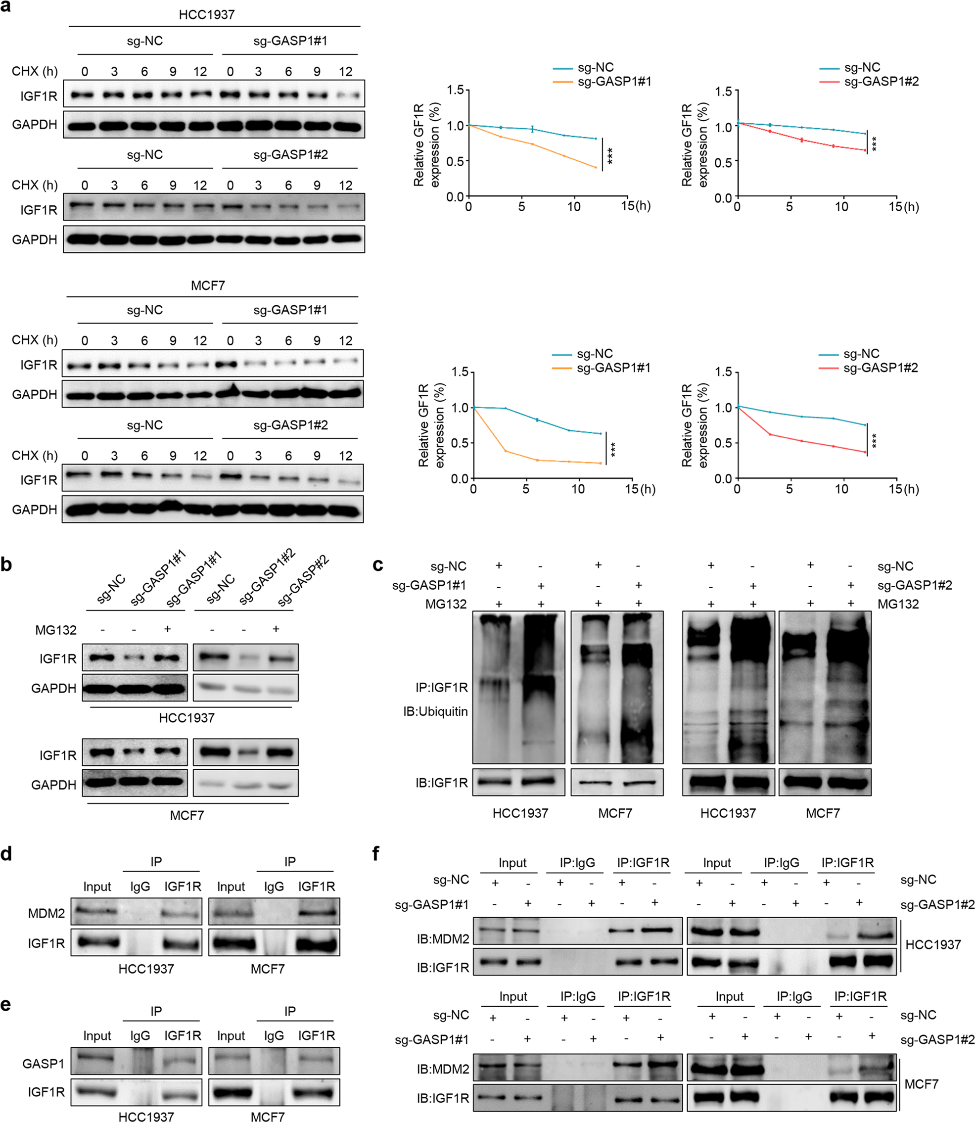
Fig. 5: GASP1 interacts with and stabilizes IGF1R.

a GASP1 knockout HCC1937 and MCF7 cells and control cells were treated with CHX for the indicated times. Western blot analysis was then performed to analyze the expression of IGF1R proteins (left panels). GAPDH was used as a loading control. The quantification of IGF1R proteins in the above cells was shown in the right panels. Data are presented as mean ± SD. b GASP1 knockout cells were treated with 20 μM MG132 for 8 h, and western blot analysis was then used to evaluate IGF1R expression. GAPDH was used as a loading control. c GASP1 knockout HCC1937 and MCF7 cells and control cells were treated with MG132 before harvesting. IGF1R ubiquitination was detected using immunoblot assay. d The interaction between MDM2 and IGF1R was detected by Co-IP assay in endogenous settings. IgG was used as a negative control. e The interaction between GASP1 and IGF1R was similarly detected by Co-IP assay. f The interaction between IGF1R and MDM2 was immunoprecipitated upon GASP1 knockout, and the expression of the indicated proteins was evaluated by immunoblotting using corresponding antibodies. ***P < 0.001.