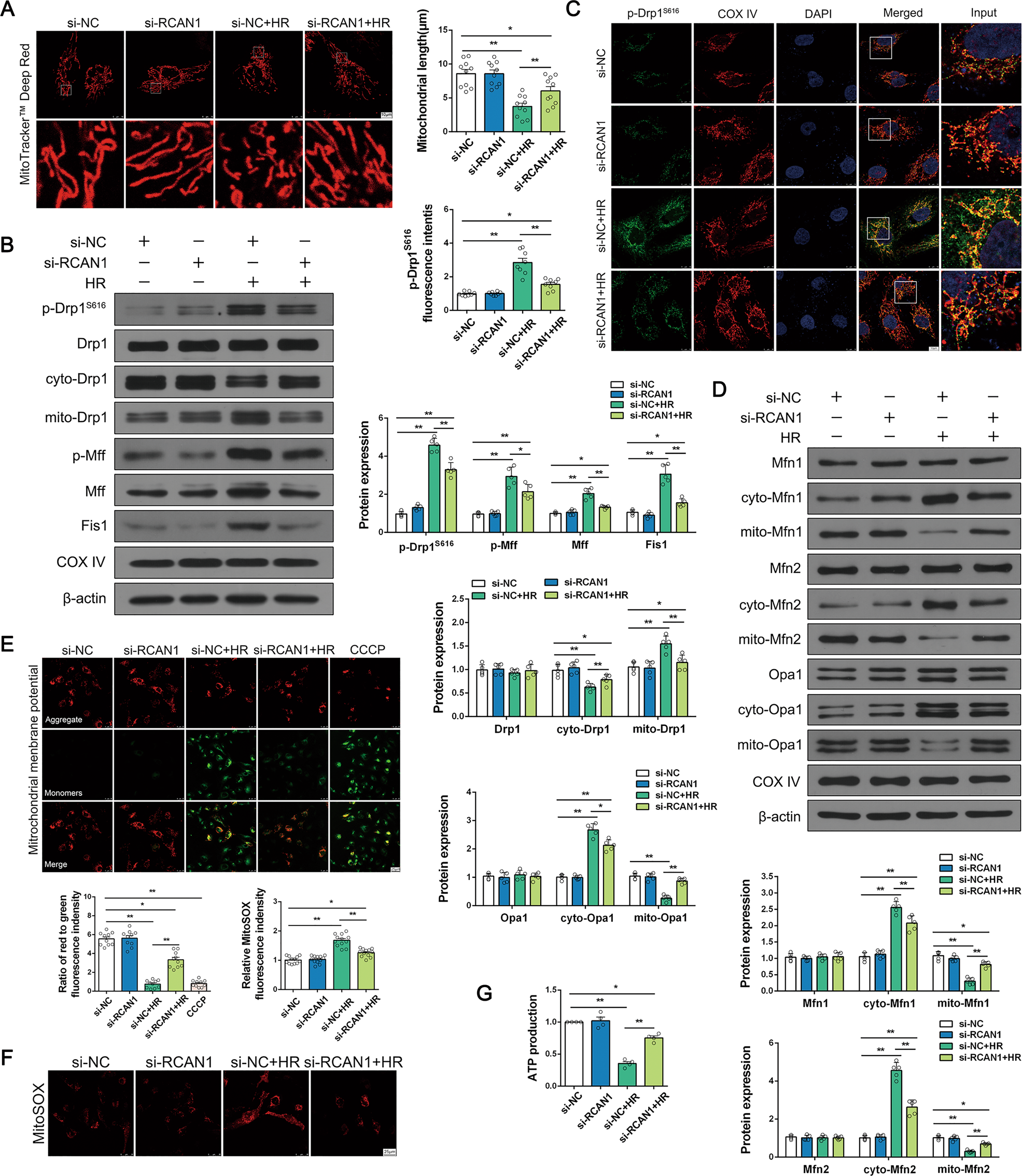
Fig. 4: RCAN1 silencing attenuated HR injury by regulating mitochondrial dysfunction.

A Mitochondrial morphology of HK-2 was assessed by MitoTrackerTM Deep Red staining, and the average length of mitochondria was measured. Scale bar, 10 μm. n = 3. B The proteins of cytoplasm and mitochondria were fractionated, and Western blotting was performed to analyze the expression of p-Drp1S616, Drp1, cyto-Drp1, mito-Drp1, p-Mff, Mff, and Fis1, with β-actin used as the loading control for cytoplasm and COX IV for mitochondria. n = 5. C The co-localization of p-Drp1S616 and mitochondria was detected by IF, and the mitochondria were labeled with the COX IV antibody. Scale bar, 10 μm. n = 3. D The proteins of cytoplasm and mitochondria were fractionated, and Western blotting was performed to analyze the expression of Mfn1, cyto-Mfn1, mito-Mfn1, Mfn2, cyto-Mfn2, mito-Mfn2, Opa1, cyto-Opa1, and mito-Opa1, with β-actin as the loading control for cytoplasm and COX IV for mitochondria. n = 5. E The mitochondrial potential was observed via JC-1 staining. The red to green fluorescence ratio was recorded to quantify the mitochondrial potential (rate). Scale bar, 25 μm. n = 3. F Mitochondrial ROS levels were detected by MitoSOX and analyzed by confocal microscopy. Scale bar, 25 μm. n = 3. G ATP production was measured to reflect mitochondrial function. n = 4. *p < 0.05, **p < 0.01.