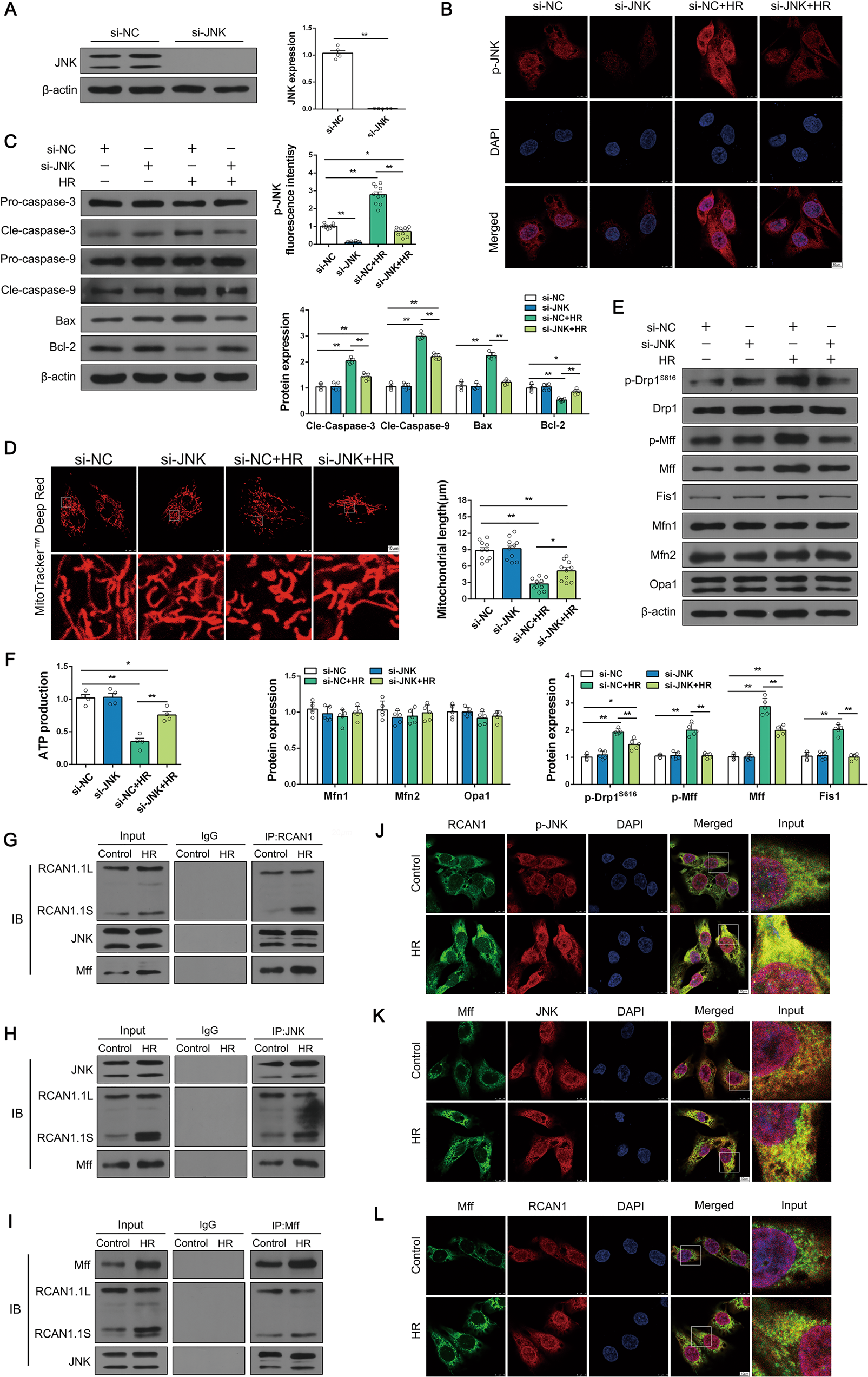
Fig. 6: JNK silencing alleviated HR injury by regulating mitochondrial dysfunction and inhibiting apoptosis, and RCAN1, JNK, and Mff all bound together.

A siRNA against JNK and si-NC were transfected into cells. The expression level of JNK was monitored via Western blotting. (n = 5) B An IF assay for p-JNK, and DAPI was used to tag the nucleus. Scale bar, 10 μm. n = 3. C The renal tubular epithelial cell line HK-2 was used with HR, and siRNA against JNK and si-NC were transfected into cells. The expression levels of Pro-caspase-3, Cle-caspase-3, Pro-caspase-9, Cle-caspase-9, Bax, and Bcl-2 were detected by Western blotting (n = 5). D Mitochondrial morphology of HK-2 was assessed by MitoTrackerTM Deep Red staining, and the average length of mitochondria was measured. Scale bar, 10 μm n = 3. E Western blotting was performed to analyze the expression of p-Drp1S616, Drp1, p-Mff, Mff, Fis1, Mfn1, Mfn2, and Opa1 in HK-2 cells (n = 5). F Mitochondrial function was measured with an ATP assay kit (n = 4). G–I Representative Co-IP analysis of RCAN1, JNK, and Mff in HK-2 cells under HR injury (n = 3). J–L The co-localization of RCAN1 and p-JNK, Mff, and JNK, as well as Mff and RCAN1, were detected by IF, and DAPI was used to tag the nucleus. Scale bar, 10 μm. n = 3. *p < 0.05, **p < 0.01.