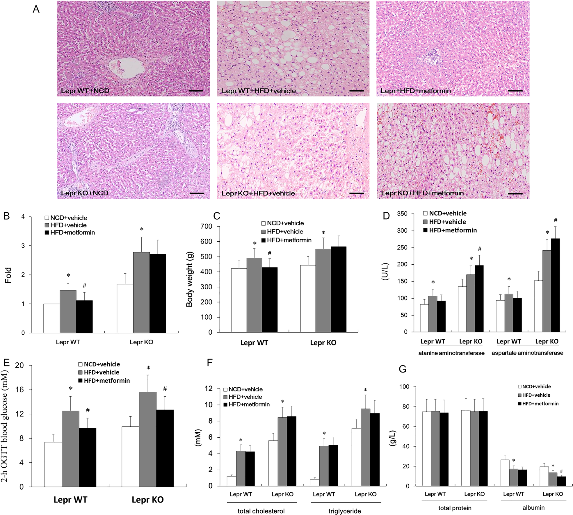
Fig. 3: Liver histology and function assessment in leptin receptor (Lepr)-knockout rats with and without 6 months of metformin administration under the influence of a high-fat diet (HFD).

A HE staining. Scale bars, 25 μm. B Diameter of the hepatocytes in A. n = 12. C Body weight. n = 12. D Quantitation of alanine aminotransferase (ALT) and aspartate aminotransferase (AST) in serum. n = 12. E Quantitation of 2-h OGTT blood glucose. n = 12. F Detection of blood total cholesterol and triglycerides. n = 12. G Quantitation of total protein and albumin in the peripheral blood. n = 12. *p < 0.05 vs. NCD + vehicle; #p < 0.05 vs. HFD + vehicle.