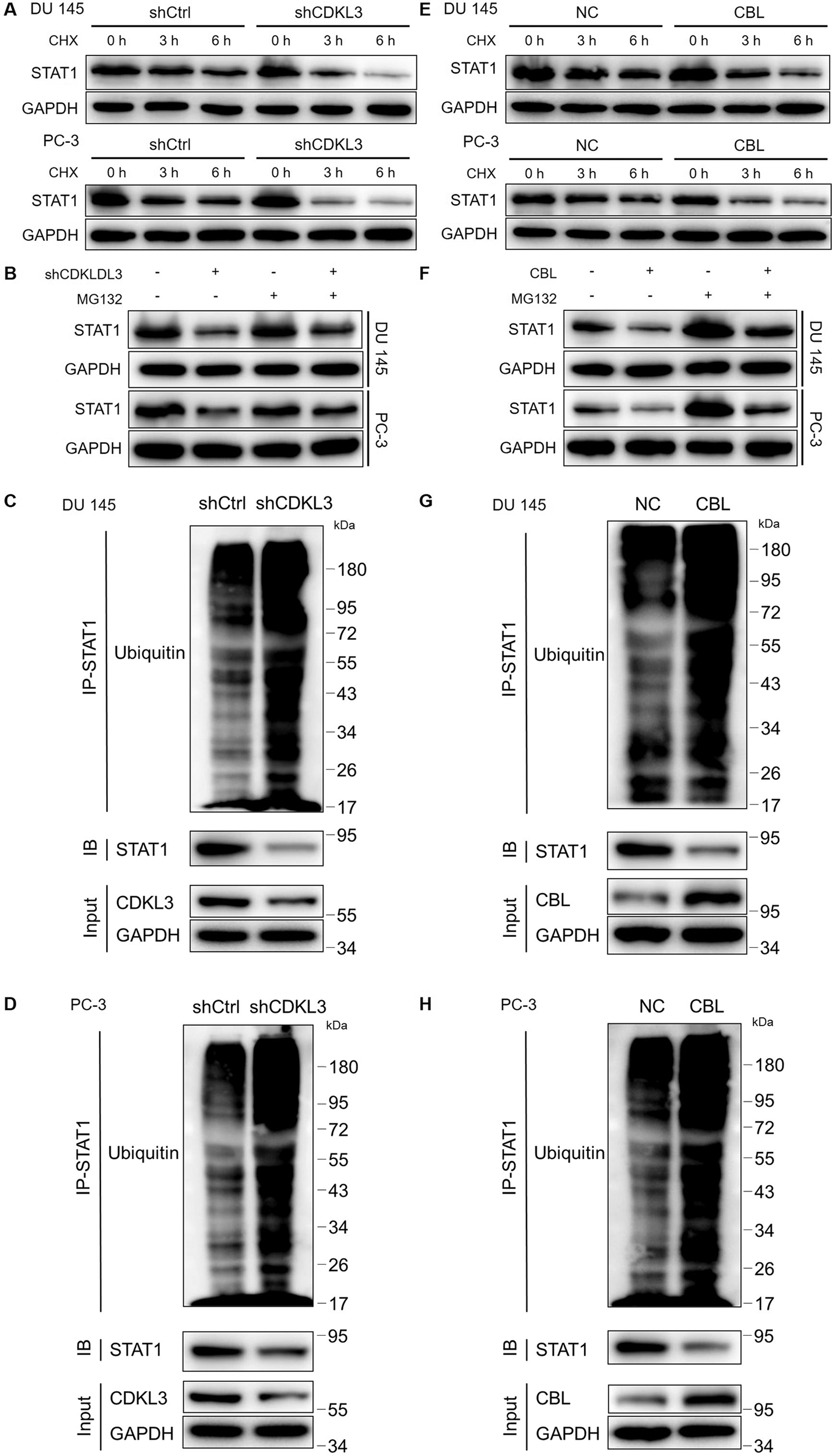
Fig. 5: CDKL3 may regulate STAT1 expression through CBL-mediated ubiquitination.
From: Inhibition of CDKL3 downregulates STAT1 thus suppressing prostate cancer development

A A CHX-chase experiment was performed to test the protein stability of STAT1 in shCtrl and shCDKL3 DU 145 and PC-3 cells. B The expression of STAT1 was detected in shCtrl and shCDKL3 DU 145 and PC-3 cells with or without proteasome inhibitor MG132. C, D The ubiquitination levels in shCtrl and shCDKL3 DU 145 (C) and PC-3 (D) cells were assessed after precipitating immune-complex using indicated antibodies. E A CHX-chase experiment was performed to test the protein stability of STAT1 in NC and CBL overexpression DU 145 and PC-3 cells. F The expression of STAT1 was detected in NC and CBL overexpression DU 145 and PC-3 cells with or without proteasome inhibitor MG132. G, H The ubiquitination levels in NC and CBL overexpression DU 145 (G) and PC-3 (H) cells were assessed after precipitating immune-complex using indicated antibodies.