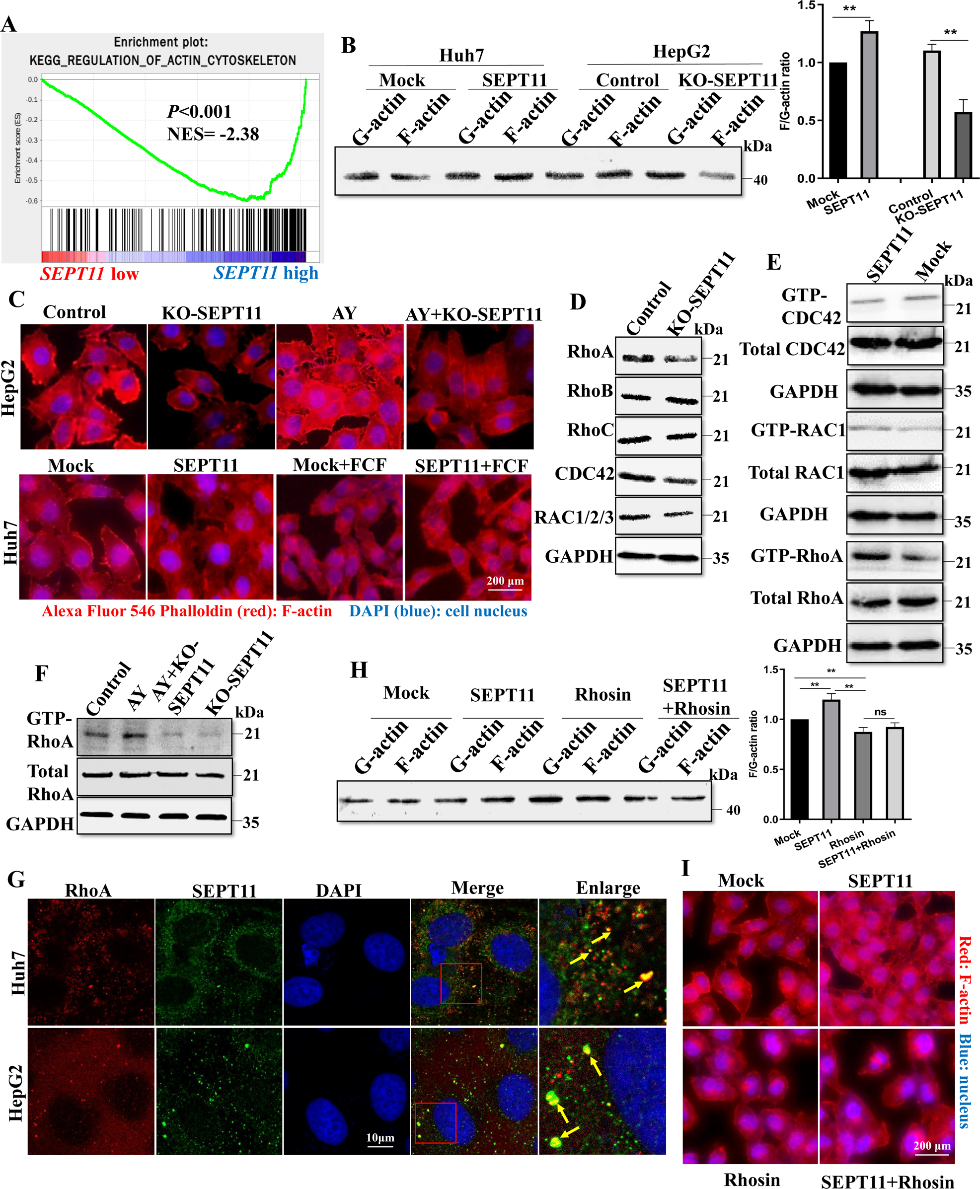
Fig. 4: SEPT11 promotes the activity of RhoA to regulate actin cytoskeleton reorganization.

A GSEA analysis of high expression of SEPT11 in TCGA database affects the enrichment of genes in regulatory of actin cytoskeleton pathway; B WB experiment detects the effect of SEPT11 expression on actin dynamics in two types of cells; C Cell immunofluorescence was used to detect the effect of SEPT11 on actin content and arrangement; D The effect of KO-SEPT11 on the content of several major Rho proteins; E Rho pulldown activity assay kit was used to quantify the activities of RhoA, CDC42, and RAC1 in SEPT11 overexpressing cells; F The effect of AY expression on the activity of RhoA; G The co-localization of RhoA and SEPT11 in cells was observed by immunofluorescence combined with confocal, the arrows indicate puncta of SEPT11 co-localization with RhoA; H WB experiment detects the effect of RhoA inhibitor Rhosin on actin dynamics; I The effect of RhoA inhibitor Rhosin on the content and arrangement of actin was detected by cellular immunofluorescence. E The effect of RhoA inhibitor Rhosin on the content and arrangement of actin was detected by cellular immunofluorescence.