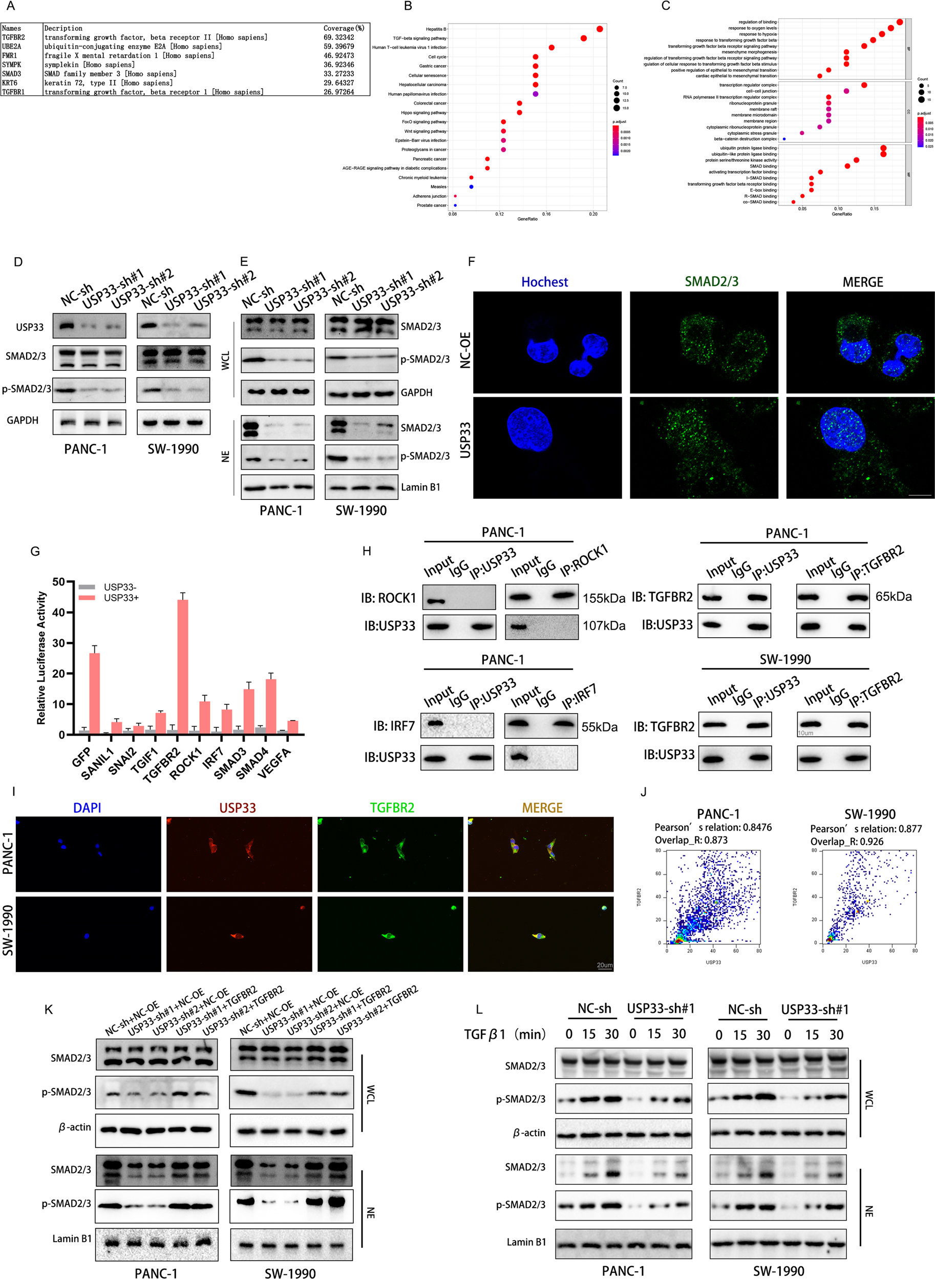
Fig. 3: USP33 was involved in the TGF-β signaling pathway.

A The LC–MS/MS results of USP33 binging proteins. B The KEGG analysis of the LC–MS/MS result. C The GO analysis of the LC–MS/MS result. D The alteration of SMAD2/3 expression in PC cells transfected with USP33 shRNAs. E The expression of SMAD2/3 in the whole cell lysate (WCL) and nuclear extraction (NE) in PC cells transfected with USP33 shRNAs. F The nuclear translocation of SMAD2/3 in PC cells visualized by confocal laser scanning microscope. G The luciferase complementary results revealed the binding efficiency between USP33 and indicated target proteins. H The Co-IP experiment verifying the interaction between USP33 and the indicated targets. I The colocalization between USP33 and TGFBR2 visualized by fluorescence microscope. J The quantification of the immunofluorescence result. K The alteration of SMAD2/3, p-SMAD2/3 expression in the nuclear of PC cells transfected with the indicated plasmids. L The alteration of SMAD2/3, p-SMAD2/3 expression in the nuclear of PC cells transfected with the indicated plasmids and treated with TGFβ1 for indicated time.