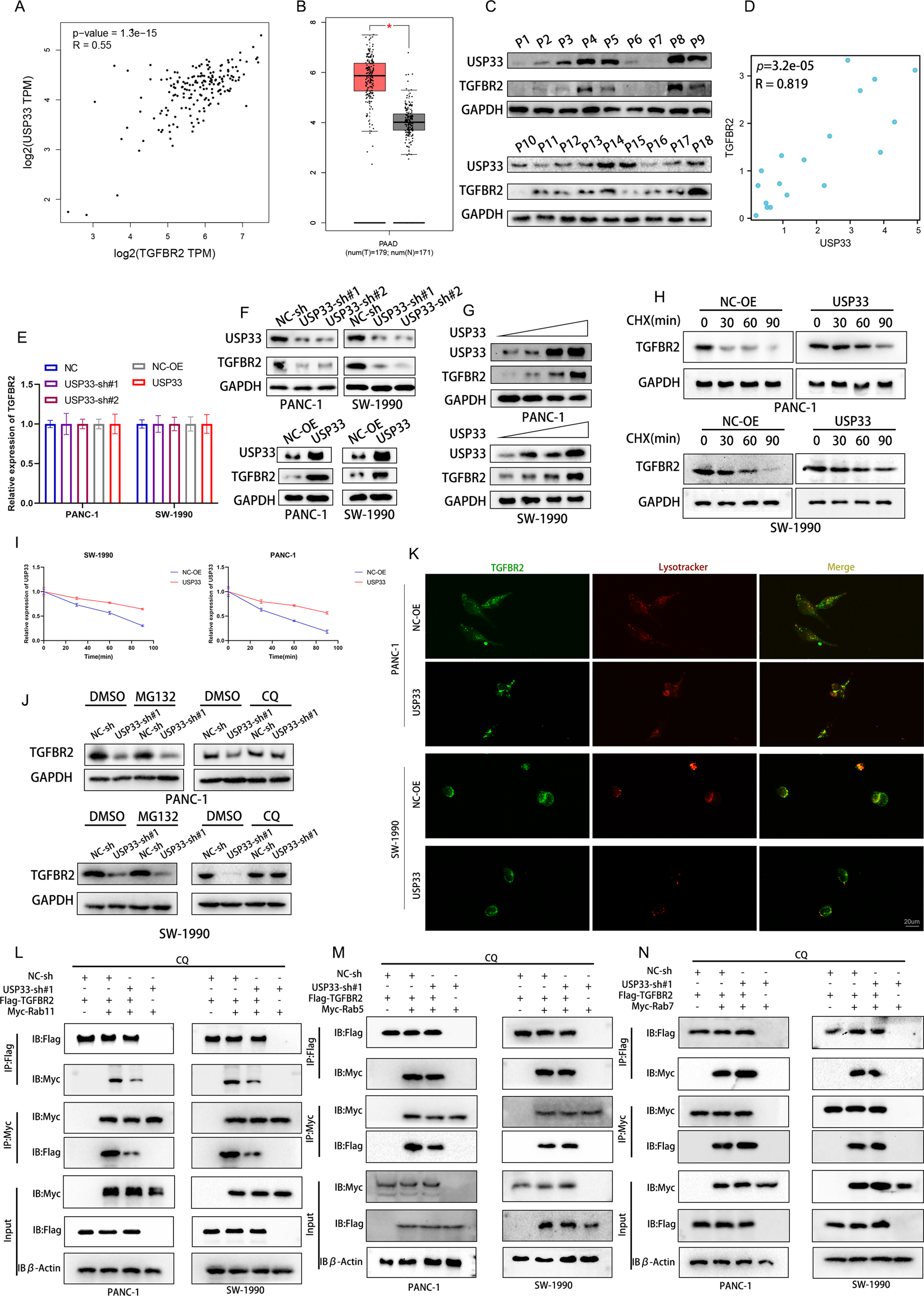
Fig. 5: USP33 promoted the recycling of TGFBR2.

A The correlation between the expression of USP33 and TGFBR2 mRAN in TCGA-PAAD. B The expression of TGFBR2 in GEPIA database. C The expression of TGFBR2 and USP33 in PC patients derived tissues. D The correlation between the expression of USP33 and TGFBR2 protein in PC patients derived tissues. E The expression of TGFBR2 mRNA in PC cells transfected with USP33 shRNAs or overexpression plasmids. F The expression of TGFBR2 protein in PC cells transfected with USP33 shRNAs or overexpression plasmids. G The expression of TGFBR2 protein in PC cells transfected with different concentration of USP33 overexpression plasmids. H The expression of TGFBR2 protein in PC cells transfected with indicated plasmids and treated with CHX for indicated time. I The quantification of TGFBR2 expression in CHX treated PC cells. J The expression of TGFBR2 in PC cells treated with DMSO, CQ or MG-132 and transfected with USP33 shRNAs. K The colocalization between USP33 and lysotracker visualized by fluorescence microscope. L The Co-IP result of TGFBR2 and Rab11 in PC cells transfected with USP33 shRNA. M The Co-IP result of TGFBR2 and Rab5 in PC cells transfected with USP33 shRNA. N The Co-IP result of TGFBR2 and Rab7 in PC cells transfected with USP33 shRNA.