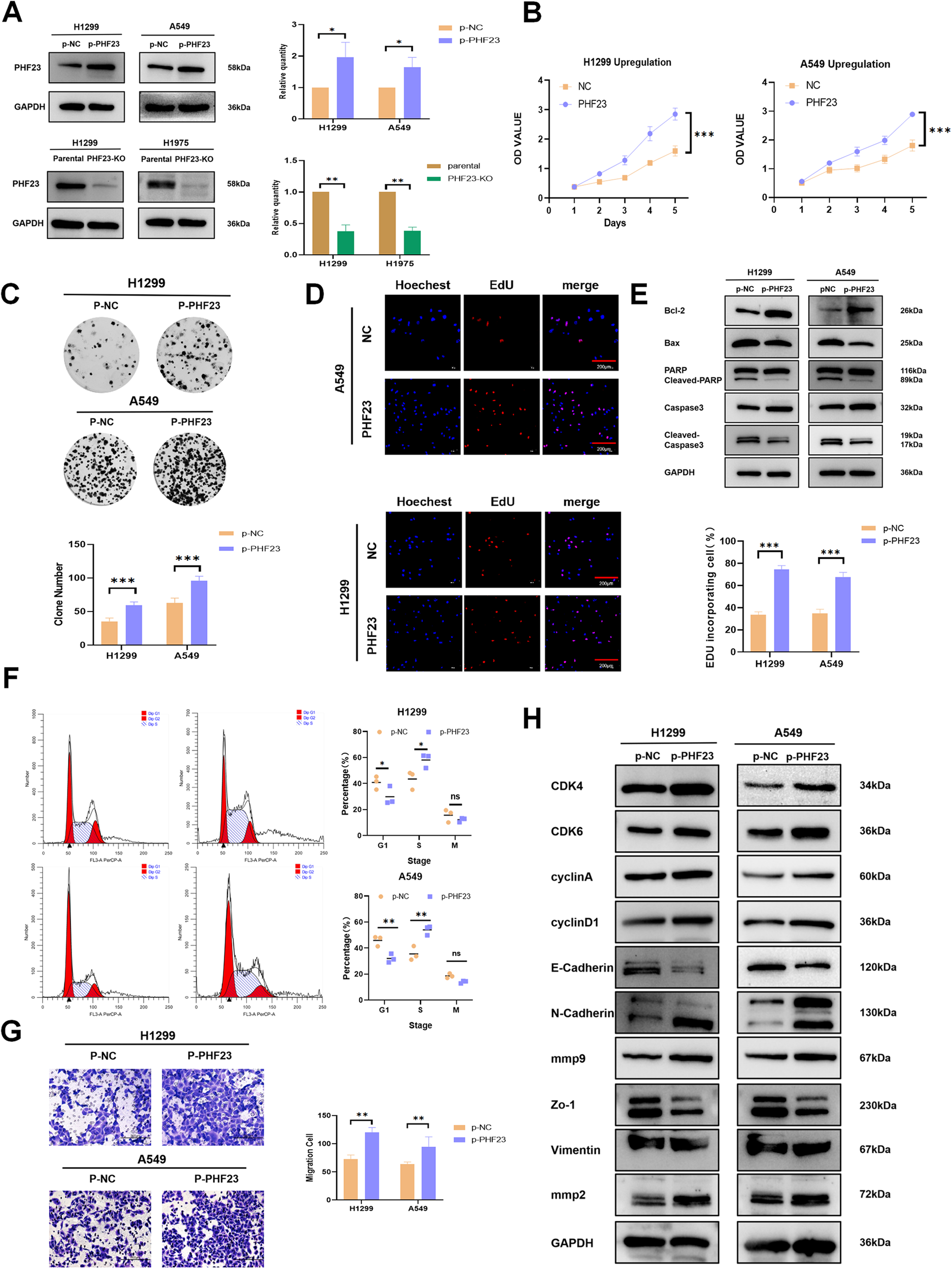
Fig. 2: PHF23 promotes the proliferation and migration of NSCLC cells.

A Western blotting analyzing the expression of PHF23 in the indicated cells. *P < 0.05; *P < 0.01. B Cell viability was analyzed by CCK8. Mean ± SD, n = 3. ***P < 0.001. C Cell growth was determined by colony formation. Mean ± SD, n = 3. *P < 0.05; **P < 0.01; ***P < 0.001. D DNA replication of H1299 and A549 cells was determined by EDU staining. Scale bar: 200 μm. Mean ± SD, n = 3. *P < 0.05; *P < 0.01; ***P < 0.001. E Expression of apoptosis proteins in A549 and H1299 cells. F Cell cycle of H1299 and A549 cells was analyzed by flow cytometry. Mean ± SD, n = 3. *P < 0.05; **P < 0.01, ***P < 0.001. G Cell migration was evaluated by the Transwell migration assay; cells that migrated to the lower chamber were stained with hematoxylin and counted. **P < 0.01. H Expression of cell proliferation- and migration-related proteins in A549 and H1299.