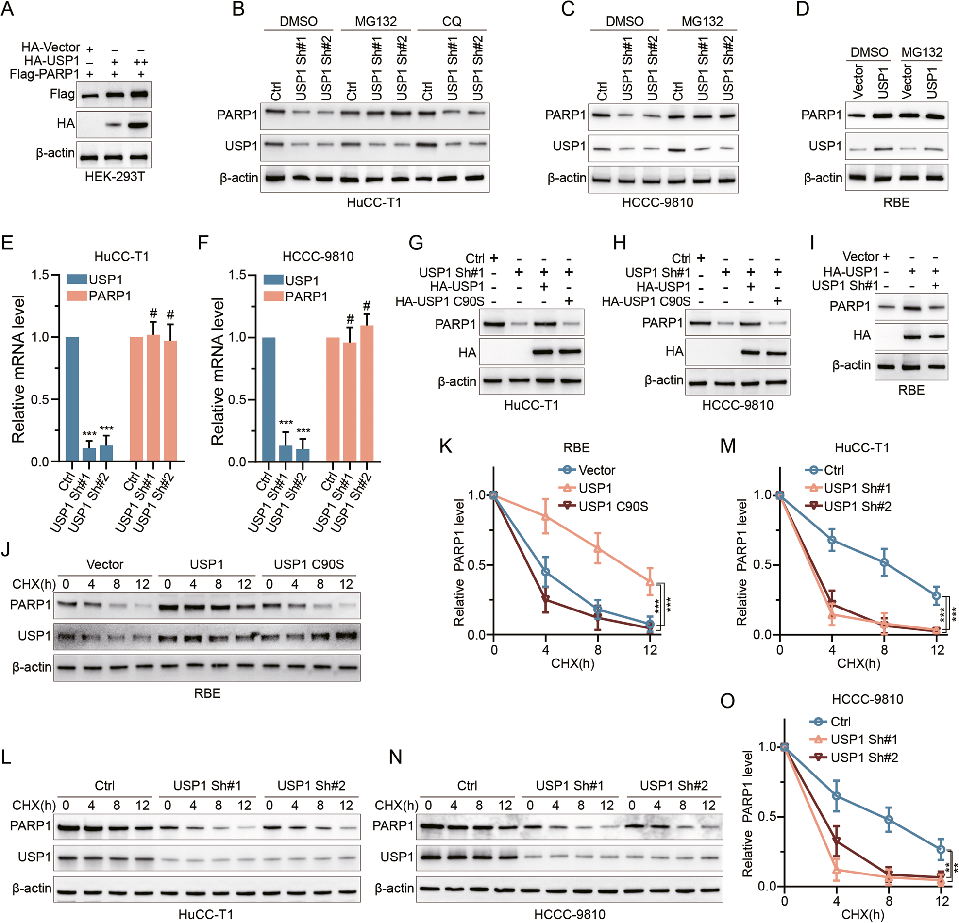
Fig. 2: USP1 enhances the stability of PARP1.

A Increasing amounts of USP1 were transfected into HEK-293T cells and PARP1 expression was detected by IB analysis. B, C HuCC-T1 and HCCC-9810 cells transfected with two independent USP1 shRNA were treated with or without the proteasome inhibitor MG132 (20 μM, 8 hours) and autophagy inhibitor CQ (25 μM, 2 hours), and then USP1 and PARP1 were analyzed. D Detection of PARP1 protein level by IB analysis after treatment with DMSO or proteasome inhibitor MG132 (20 μM) for 8 hours in RBE transfected with vector or USP1. E, F The qRT-PCR was used to detect the mRNA level of USP1 and PARP1 in HuCC-T1 (E) and HCCC-9810 (F) cell lines transfected with the indicated shRNAs. G, H IB analysis was conducted to assess PARP1 protein levels in HuCC-T1 and HCCC-9810 cells with stable USP1 knockdown, combined with overexpression of either HA-USP1 or HA-USP1 C90S, respectively. I IB analysis of PARP1 was conducted in RBE cells overexpressing USP1 or with combined knockdown of USP1. J, K RBE cells were transfected with USP1 or USP1 C90S, treated with 50 μg/ml CHX, collected at the indicated times, and then subjected to IB analysis with antibodies against PARP1 and USP1. Quantification of PARP1 levels relative to β-actin is shown (K). L–O HuCC-T1 (L, M) and HCCC-9810 (N, O) cells stably expressing control shRNA or two independent USP1 shRNA were treated with 50 μg/ml CHX, harvested at the indicated times, and then subjected to IB analysis with antibodies against PARP1 and USP1. Quantification of PARP1 levels relative to β-actin is shown. The data were obtained from three independent biological replicates and are presented as mean ± SD. One-way ANOVA with Dunnett’s post test (E, F, K, M, O). ***p < 0.001, **p < 0.005, #p > 0.05.