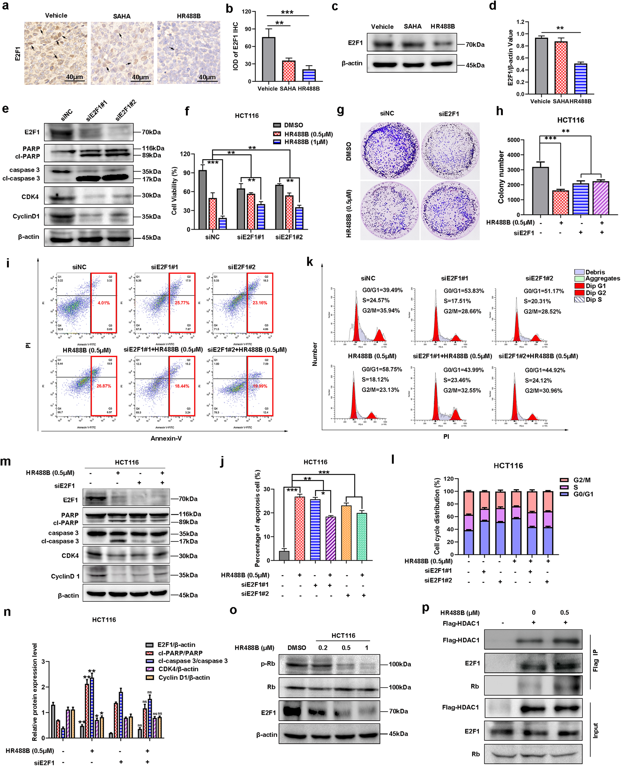
Fig. 6: HR488B-induced inhibition of CRC through attenuating E2F1/Rb/HDAC1 complex dissociation.

a HCT116 cells were injected into nude mice after 7 days and the mice were treated with vehicle (5% DMSO in PBS), SAHA (10 mg/kg), or HR488B (10 mg/kg) with i.p. for 3 weeks. Representative IHC image showing that HR488B decreased the expression of E2F1 in vivo (Magnification, 400×. Scale bar, 40 μm). b The IHC results were analyzed by Image-Pro Plus 6.0 (n = 5 fields of view). c HCT116 xenografts treated with vehicle, SAHA, or HR488B were isolated to detect expression of E2F1 by Western blot analysis, and β-actin was detected as the endogenous loading control, accordingly. d The statistical result of (c). e HCT116 cells were transfected with siRNAs targeting E2F1 (siE2F1#1 and siE2F1#2) or siNC for 24 h. Western blot analysis was performed to measure the expression of E2F1, PARP, cl-PARP, caspase 3, cl-caspase 3, CDK4, and Cyclin D1, and β-actin was detected as the endogenous loading control, accordingly. f HCT116 cells were transfected with siRNAs targeting E2F1 (siE2F1#1 and siE2F1#2) or siNC, and 24 h later, cells were treated with or without HR488B (0.5 and 1 μM) for 24 h. Cell viability was assessed with the CCK-8 assay. g HCT116 cells were transfected with siRNAs targeting siE2F1 or siNC, and 24 h later, colony-forming abilities of cells after treating cells with DMSO or HR488B (0.5 μM) for 14 days. h The statistical result of (g). i HCT116 cells were transfected with siRNAs targeting E2F1 (siE2F1#1 and siE2F1#2) or siNC, 24 h later, cells were treated with DMSO or HR488B (0.5 μM) for 48 h, and apoptosis was detected by Annexin V-FITC/PI double-staining analysis. j The statistical result of (i). k HCT116 cells were transfected with siRNAs targeting E2F1 (siE2F1#1 and siE2F1#2) or siNC, 24 h later, cells were treated with DMSO or HR488B (0.5 μM) for 24 h, and cell cycle distribution was assessed by flow cytometry. l The ratio of G1, S, and G2/M phases was shown in histography (k). m HCT116 cells were transfected with siRNAs targeting siE2F1 or siNC, and 24 h later, cells were treated with DMSO or HR488B (0.5 μM) for 24 h, and the expression of E2F1, PARP, cl-PARP, caspase 3, cl-caspase 3, CDK4, and Cyclin D1 protein was determined by Western blot analysis, and β-actin was detected as the endogenous loading control, accordingly. n The statistical result of (m). o HCT116 cells were treated with DMSO or HR488B (0.2, 0.5, and 1 μM) for 24 h, respectively, and the expression of Rb, p-Rb, and E2F1 protein was detected by Western blot analysis, and β-actin was detected as the endogenous loading control, accordingly. p 293T cells were transfected with the flag-HDAC1 plasmid for 12 h, and cells were then treated with HR488B (0.5 μM) for 24 h; HDAC1 was immunoprecipitated using an anti-Flag antibody and the expression of endogenous E2F1 and Rb was detected by Western blot analysis. All data are shown as mean ± SD, n = 3, two-way ANOVA, *p < 0.05, **p < 0.01, ***p < 0.001.