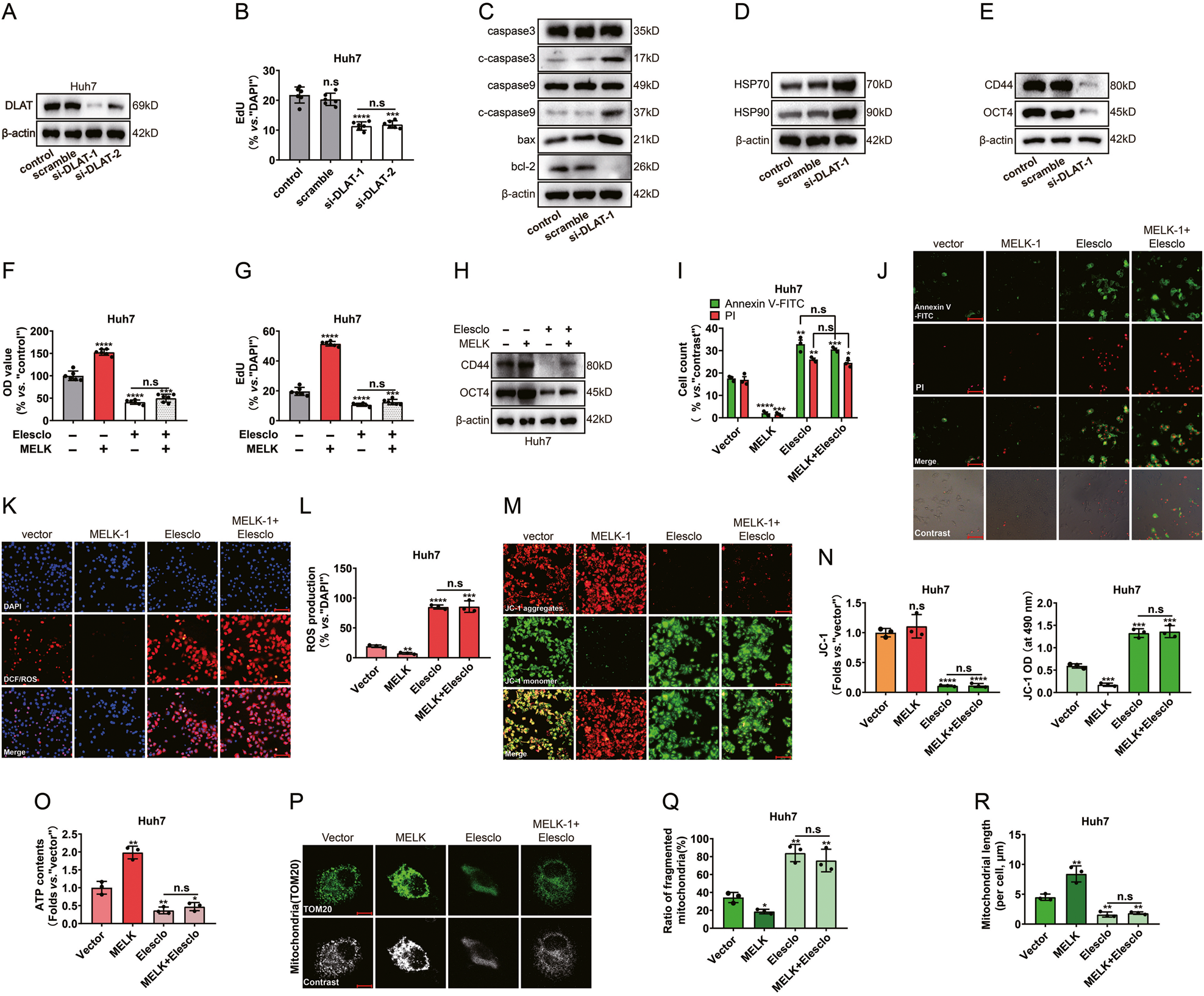
Fig. 6: The cuproptosis-associated pathway was essential in MELK-mediated mitochondrial alterations.

After silencing DLAT with siRNAs in the Huh7 cells: MELK expression was detected by WB (A); Cell proliferation was evaluated with EdU assay (B); Biomarkers of the mitochondria-associated programmed death, the HSP 70 and HSP 90 and the stemness were detected by WB (C–E). After treatment with or without elesclomol in MELK-overexpressed Huh7 cells: Cell proliferation was evaluated with CCK-8 assay (F) and EdU assay (G); Biomarkers of stemness were detected by WB (H); The mitochondria-associated programmed death (I, J), the intensity of DCF/ROS (K, L), the changes of JC-1 monomer/aggregates (M) and mitochondrial dynamics were detected by immunofluorescence (P, scale bar:10 µm); The JC-1 green monomer intensity was measured by a microplate reader (N); ATP contents of cells were measured by the Seahorse XFp Flux Analyzer (O). Data were shown as mean ± SEM. n.s. represents not significant. *P < 0.05, **P < 0.01, ***P < 0.001 and ****P < 0.0001 as calculated by the one-way or two-way ANOVA. Scale bar: 100 µm (J, K, M).