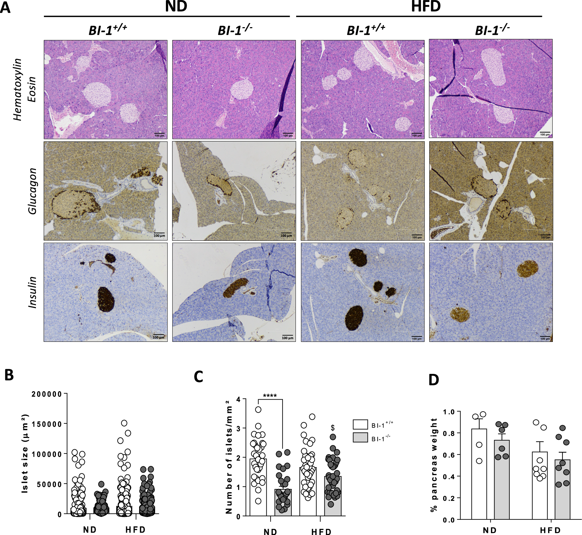
Fig. 2: BI-1 deletion impairs pancreatic β-cell mass.

BI-1+/+ and BI-1–/– mice were treated as in Fig. 1. A Representative hematoxylin and eosin, insulin, and glucagon staining of pancreatic sections from BI-1+/+ and BI-1–/– mice fed ND or HFD as in Fig. 1. [Scale bar, 100 µm]. n = 8–10 mice per group. B Quantification of pancreatic islet size was obtained from insulin staining of pancreatic sections from BI-1+/+ and BI-1–/– mice fed ND or HFD. n = 8–10 mice per genotype. C Quantification of the number of islets per mm² were obtained from BI-1+/+ and BI-1–/– mice fed ND or HFD. n = 8–10 mice per group. D Pancreas weight expressed as % body weight from BI-1+/+ and BI-1–/– mice under ND and HFD conditions was measured. n = 6–8 mice per group. *P ≤ 0.05; **P ≤ 0.01; ***P ≤ 0.001. ****P ≤ 0.0001. $ represents differences in the same genotype with their own control.