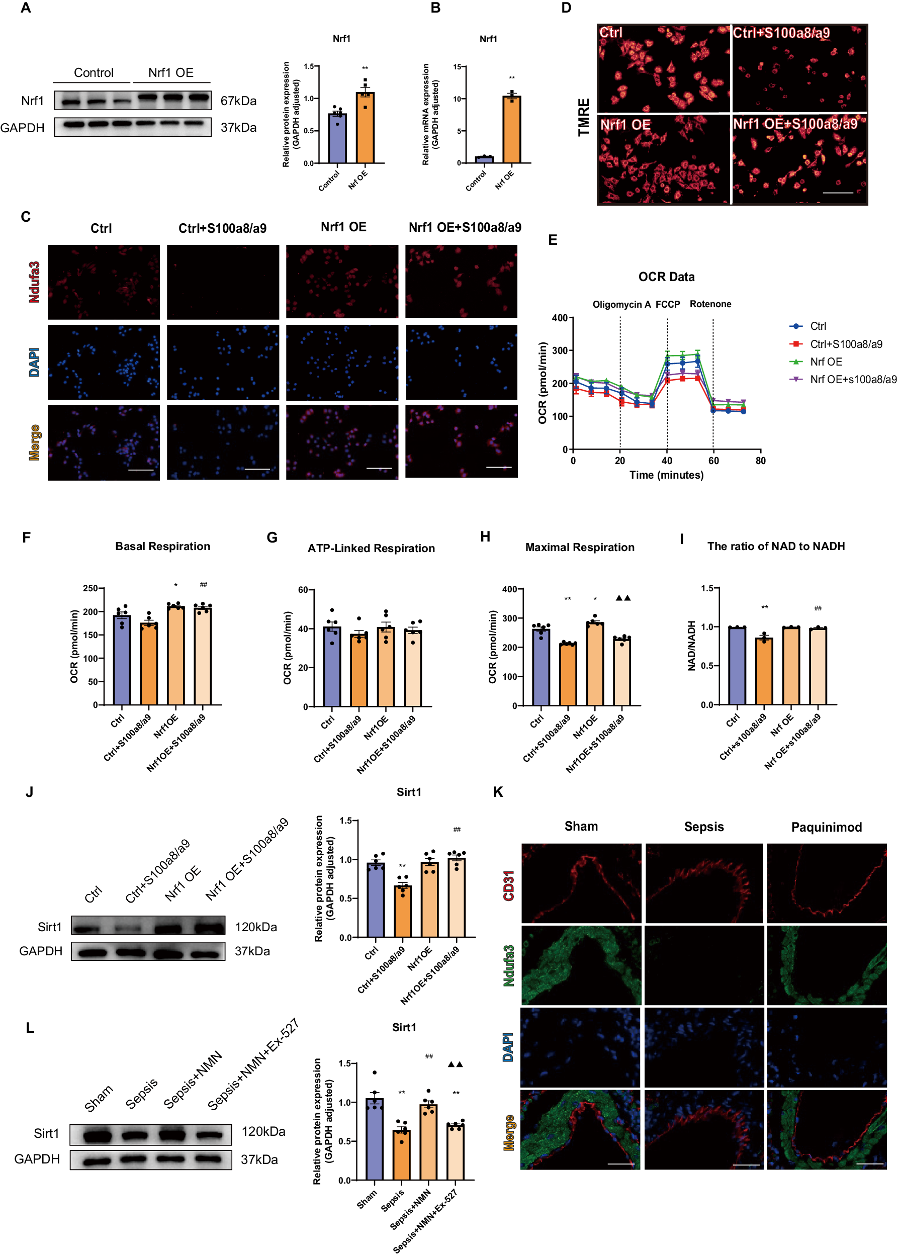
Fig. 4: S100a8/a9 induces mitochondrial dysfunction and NAD+-dependent Sirt1 downregulation.

A, B NRF1-overexpressing endothelial cells were successfully constructed according to the results of Western blot (n = 5 in each group) and RT-qPCR (n = 3 in each group). C Images from immunofluorescence assay showed the Ndufa3 expression in endothelial cells; Scale bar: 200 µm; D Mitochondrial membrane potential was measured by TMRE kit; Scale bar: 40 µm; E–H The OCR was measured by an XF96 Extracellular Flux Analyser (Seahorse Bioscience) (n = 6 in each group); I The ratio of NAD+ to NADH was evaluated by NAD + /NADH Assay Kit with WST-8 (n = 3 in each group); J The expression of Sirt1 in HUVECs was measured by Western blot (n = 6 in each group). K Representative images of immunofluorescence co-staining CD31 and Ndufa3 in lung tissues; Scale bar: 40 µm; L Western blot analysis showed the expression of Sirt1 in lung tissues (n = 6 in each group). Each bar showed means ± SEM. Unpaired t-test was used for the comparison between two groups. Comparison among three or more groups was analyzed by one-way ANOVA. *p < 0.05, **p < 0.01 versus control group. #p < 0.05, ##p < 0.01 versus S100a8/a9-treated or sepsis group. ▲p < 0.05, ▲▲p < 0.01 versus NRF1 overexpression group or NMN-treated sepsis group.