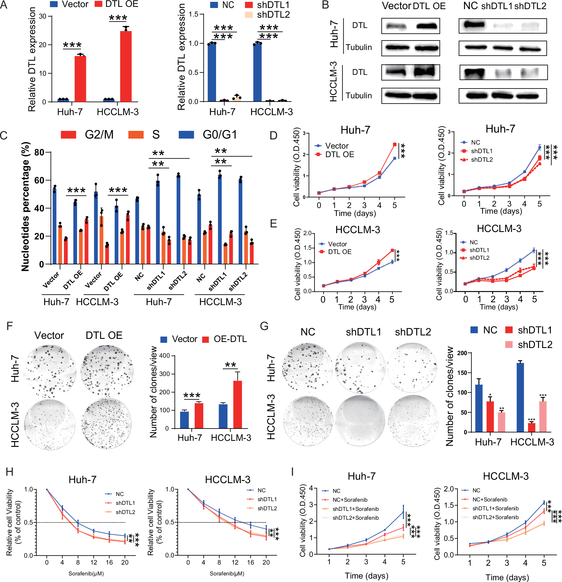
Fig. 4: DTL promotes cell-cycle progression, proliferation, and sorafenib resistance in HCC cells.

A, B DTL overexpression and knockdown stable cell line were established; the DTL mRNA and protein levels were determined by qRT-PCR and western blot. C The effect of DTL overexpression and knockdown on the cell cycle in Huh-7 and HCCLM-3 were analyzed by flow cytometry. D, E The effect of DTL overexpression and knockdown on proliferation in Huh-7 and HCCLM-3 cells was determined by Cell Counting Kit-8 (CCK-8) assays. F, G The effect of DTL overexpression and knockdown on proliferation in Huh-7 and HCCLM-3 cells was determined by clone formation assay. H The relative cell viability of DTL knockdown Huh-7 and HCCLM-3 cells after treatment with different concentrations of sorafenib for 72 h was detected by CCK-8 assays. I CCK-8 assays showed the proliferation of Huh-7 and HCCLM-3 cells response to 3 μM sorafenib with DTL knockdown. *P < 0.05, **P < 0.01, ***P < 0.001, ns no significance.