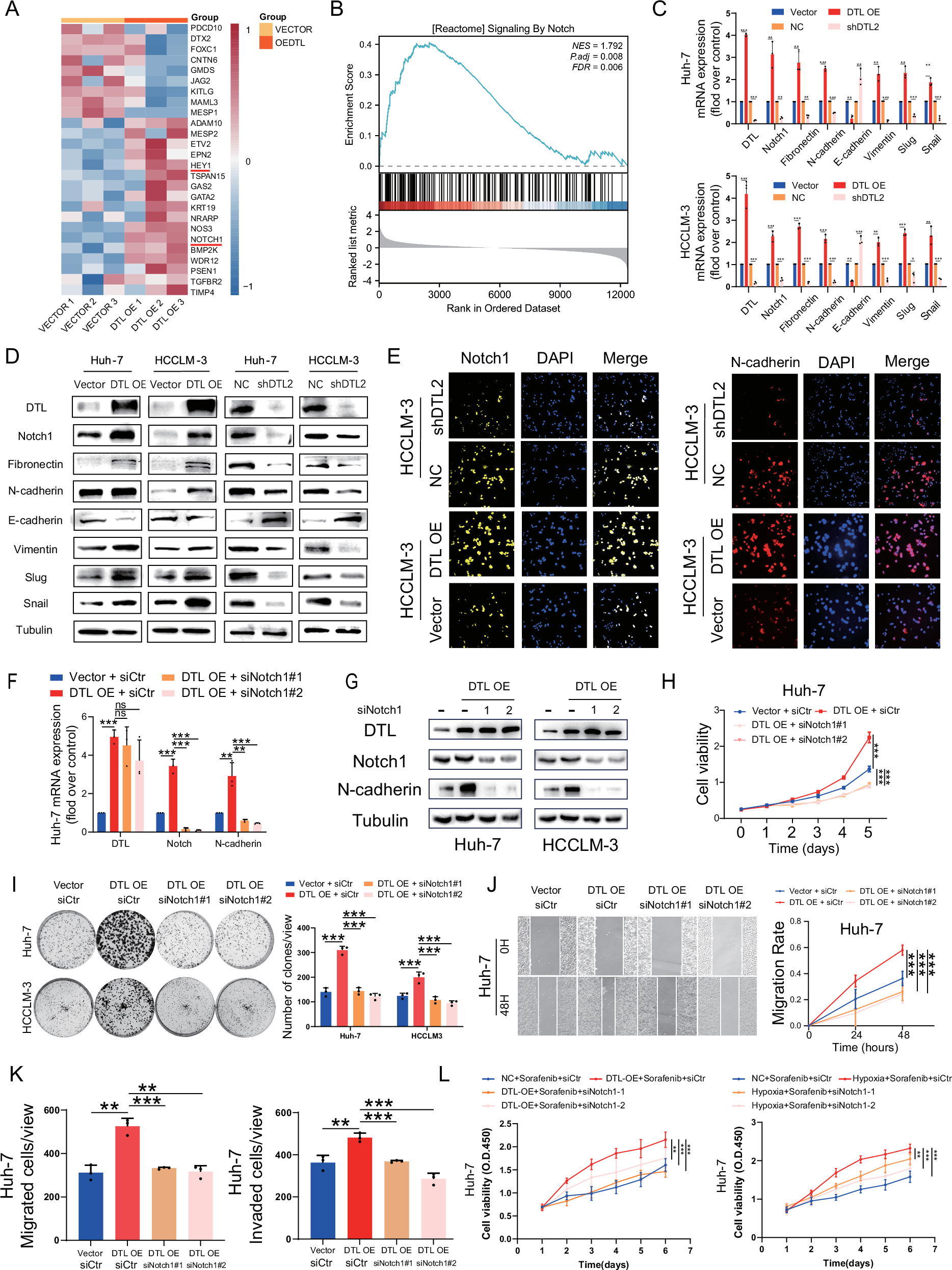
Fig. 7: Notch signaling pathway mediated DTL-induced EMT, proliferation, and metastasis of HCC cells.

A Heatmap of the representative upregulated and downregulated gene after overexpression of DTL in HCCLM-3 cells. B Gene set enrichment analysis (GSEA) of the Notch pathway. C qRT-PCR results of Notch1 and EMT-related genes mRNA expression in DTL overexpressing or knockdown HCC cells. D Western blot results of Notch1 and EMT-related genes protein expression in DTL overexpressing or knockdown HCC cells. E Immunofluorescence results of Notch1 and N-cadherin expression in DTL overexpressing or knockdown HCCLM-3 cells. F, G qRT-PCR and western blot detected the knockdown efficiency of Notch1 by siRNA. H, I The functional role of Notch1 in DTL-induced proliferation of HCC cells was detected by Cell Counting Kit-8 (CCK-8) and clone formation assays. J, K The functional role of Notch1 in DTL-induced metastasis of Huh-7 cells was detected by wound-healing and transwell assays. L CCK-8 assay evaluating Huh-7 cells viability under DTL overexpression or hypoxia with Notch1 knockdown and sorafenib (3 μM) treatment. *P < 0.05, **P < 0.01, ***P < 0.001, ns no significance.