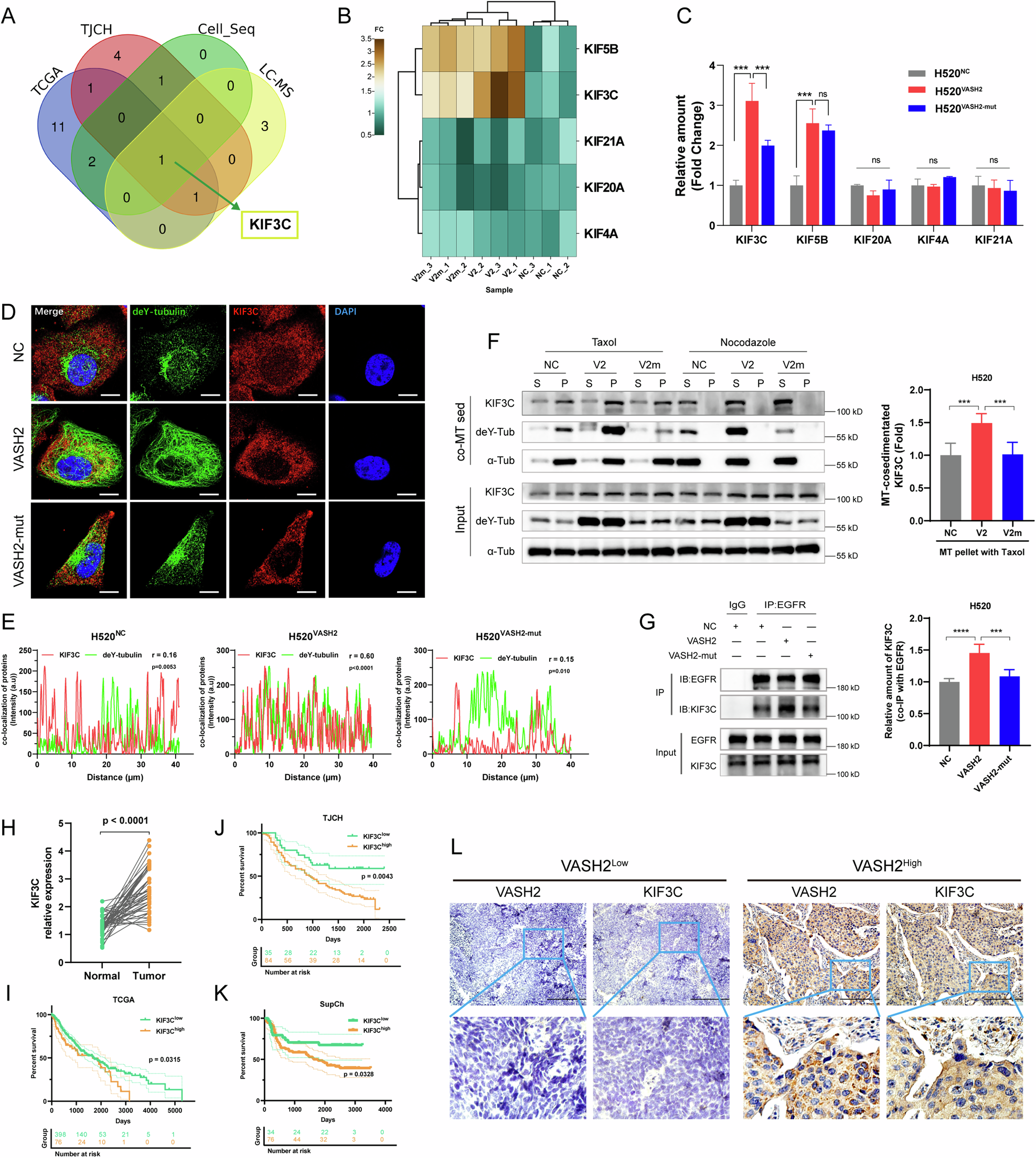
Fig. 5: VASH2-induced increase in α-tubulin detyrosination boosted the binding of KIF3C to MTs.

A Venn diagram showed the overlap of differentially expressed KIF genes between different groups, including LC-MS/MS analysis and RNA-seq of H520VASH2 cells, as well as LUSC tissue-sequencing from TCGA cohort and TJCH cohort. B The heatmap displayed the KIF proteins that bind with α-tubulin in H520NC, H520VASH2 and H520VASH2-mut cells, which was detected by immunoprecipitation and LC-MS/MS. C Quantification of KIF proteins binding with α-tubulin in the indicated cells. D, E Representative images of IF assays (D) and the co-localization analysis (E) of KIF3C and deY-tubulin in the indicated cells. Scale bar, 10 μm. F The binding of KIF3C to MTs was elevated in H520VASH2 cells determined by MT-co-sedimentation assay. S, supernatant; P, pellet. G Co-IP assay of EGFR and KIF3C after 20 ng/mL EGF stimulation (left), the amount of KIF3C binding with EGFR was increased in H520VASH2 cells (right). H KIF3C expression was increased in LUSC tissues compared to the paired adjacent tissues, based on TCGA database. I–K Kaplan–Meier curves representing the overall survival of LUSC patients with low/high KIF3C expression of TCGA cohort, TJCH cohort and SupCh cohort. L Representative images of KIF3C immunohistochemical staining in LUSC tissues from the SupCh cohort. Scale bar, 100 μm. Data were representative of three independent experiment. The One-Way ANOVA tests, *, p < 0.05; **, p < 0.01; ***, p < 0.001 and ****, p < 0.0001.