Fig. 2: Increased GNG5 promotes Aβ42 production and causes neuronal dysfunction.
From: GNG5 is a novel regulator of Aβ42 production in Alzheimer’s disease

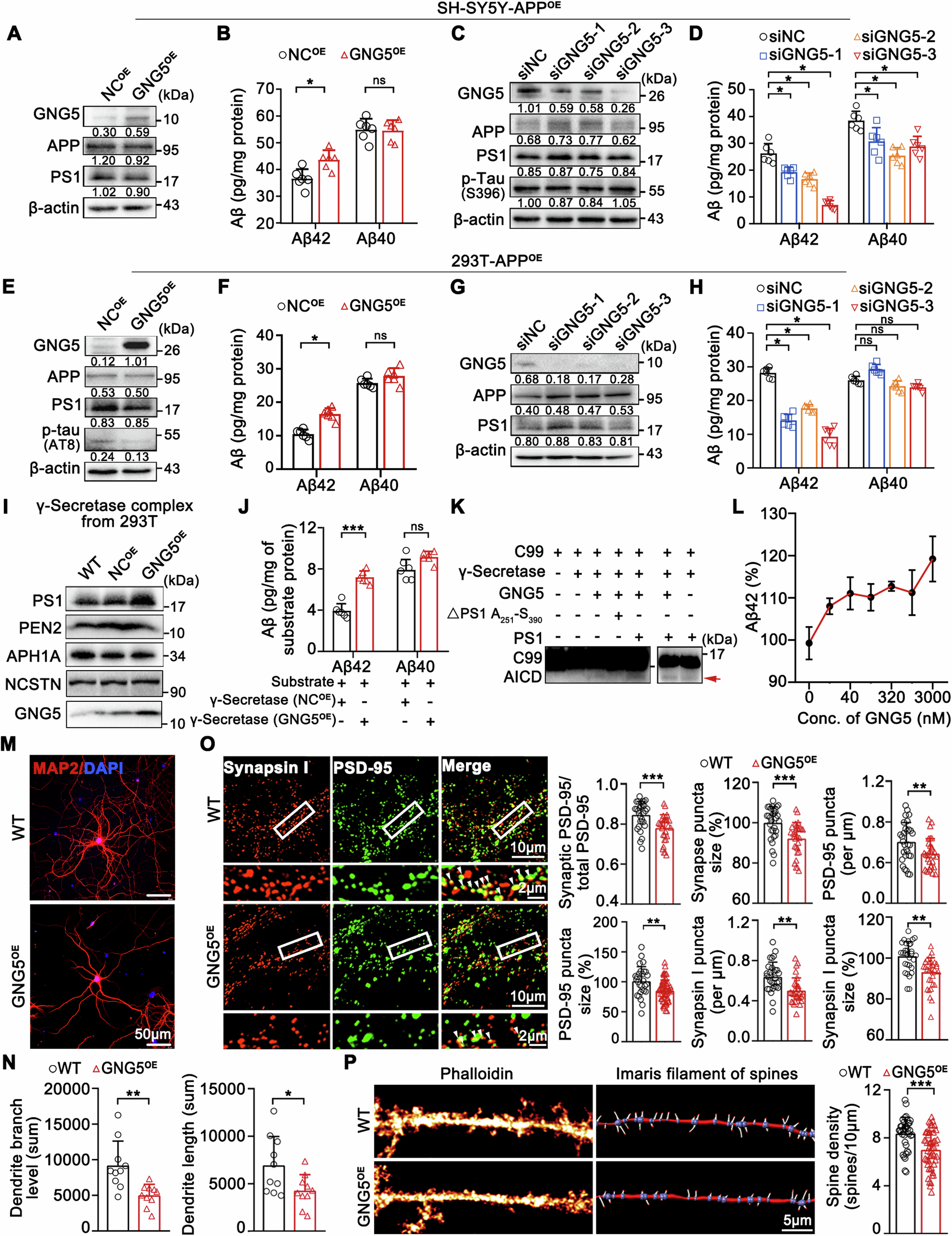
A, B Establish of GNG5 overexpressed cell model SH-SY5Y-APPOE-GNG5OE. A Western blot detection of GNG5, APP, and PS1 levels in cells. B Enzyme-linked immunosorbent assay (ELISA) measurement of Aβ42 and Aβ40 levels in cellular supernatant. Normalized (target protein blot/reference blot) quantitative results (densitometry) calculated using Image J software are shown under each blot. C, D Knockdown of GNG5 in SH-SY5Y-APPOE cells. C Western blot detection of GNG5, APP, PS1, and p-tau (S396) in cells. D ELISA measurement of Aβ42 and Aβ40 levels in cellular supernatant. E, F Establish of GNG5 overexpressed cell model 293T-APPOE-GNG5OE. E Western blot detection of GNG5, APP, PS1, and p-tau (AT8) protein levels in cells. F ELISA measurement of Aβ42 and Aβ40 levels in cellular supernatant. G, H Knockdown of GNG5 in 293T-APPOE cells. G Western blot detection of GNG5, APP, and PS1 in cells. H ELISA measurement of Aβ42 and Aβ40 levels in cellular supernatant. I–L In vitro γ-secretase cleavage assay. I γ-secretase complex extracted from wild type 293T, 293T-NCOE, and 293T-GNG5OE cells. Western blot verification of PS1, PEN2, NCSTN, APH1A and GNG5 levels in the complex. J Levels of Aβ42 and Aβ40 generated in the γ-secretase cleavage assay using ELISA. Cytoplasmic proteins extracted from Neuro2a-APPOE cells were used as substrates. K Comparation of cleavage activity of γ-secretase using recombinant C99 as substrate and γ-secretase complex extracted from WT 293T cells. Recombinant GNG5, full length PS1, and PS1 Ala251–Ser390 fragment were added to this system. Quantification of AICD (red arrow) was monitored using a monoclonal antibody against the C-terminal 20 amino acids (C1/6.1, BioLegend, 802801). AICD, APP Intracellular Domain, the left domain after cleavage of Aβ42 or Aβ40 from C99. L ELISA measurement of Aβ42 levels at different concentrations of recombinant GNG5 in the in vitro cleavage assay with C99 as substrate and WT γ-secretase complex. Representative confocal images depicting dendritic staining of MAP2 (M), and the statistics of total dendrite branch number and total dendrite length (N) in WT and GNG5OE rat primary hippocampal neurons. Scale bar, 50 μm. O Representative confocal images depicting synaptic staining of presynaptic marker Synapsin I (red) and postsynaptic marker PSD-95 (green) in WT and GNG5OE rat primary hippocampal neurons. Single synaptic number was quantified as colocalized pre- and postsynaptic puncta. The boxed areas are enlarged below the original images. Histograms depicting the relative density or size level of single synapse, PSD-95 and Synapsin I puncta in WT and GNG5OE rat primary hippocampal neurons. n = 30 fields/group. Scale bar, 10 μm; inset, 2 μm. P Representative deconvolved images showing spine densities labeled with phalloidin in WT and GNG5OE rat primary hippocampal neurons (left), and corresponding detailed 3D-rendered views of spines (right). Statistical results showing changes in spine density. Data are presented as the mean ± SD. p values were determined using unpaired two-tailed Student’s t-test for two groups and one-way ANOVA with Turkey post hoc test for multiple groups. *p < 0.05, **p < 0.01, ***p < 0.001, ns: not significant.