Fig. 2: CK2α stabilizes YAP1 by affecting its ubiquitination.
From: CK2α-mediated phosphorylation of DUB3 promotes YAP1 stability and oncogenic functions

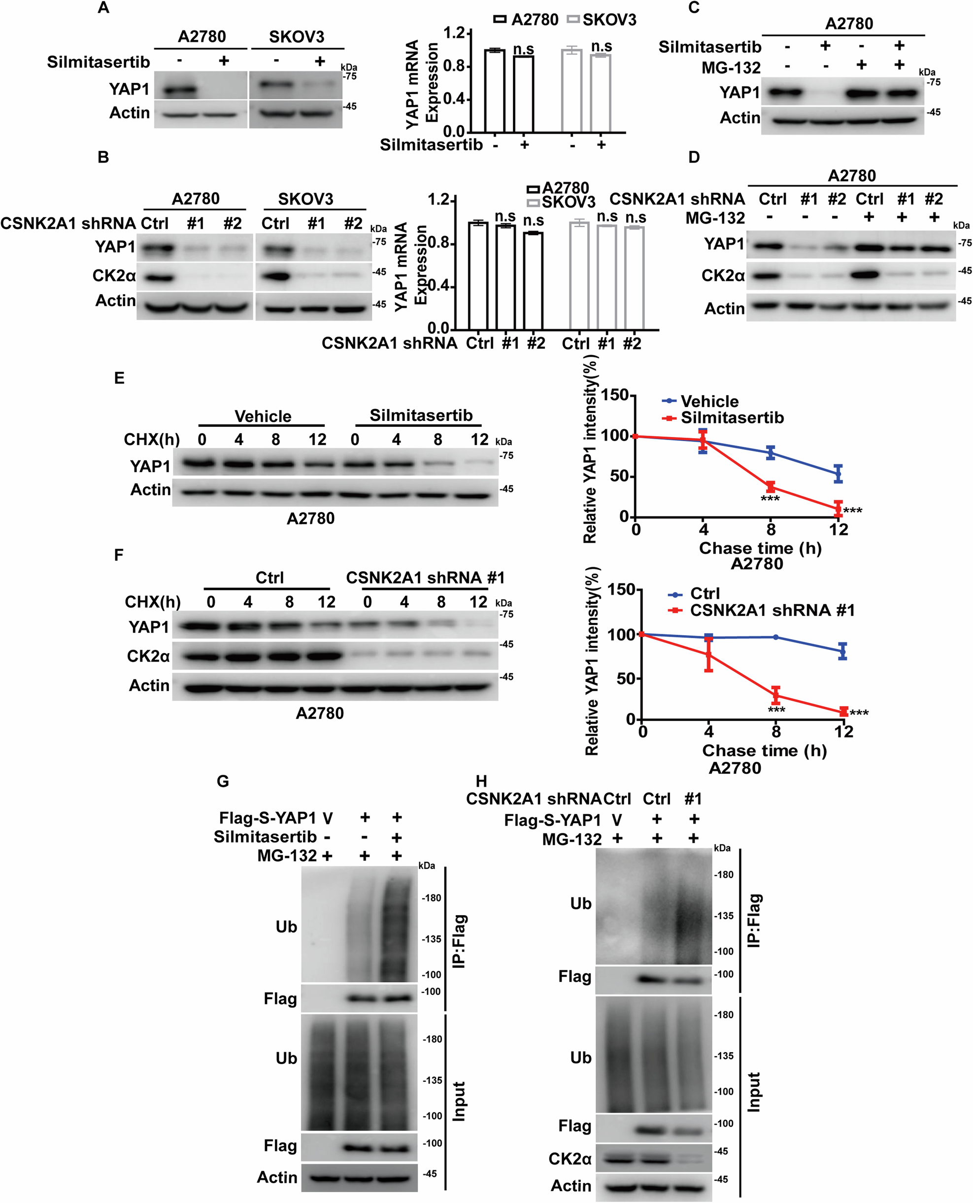
A A2780 and SKOV3 cells were treated with Silmitasertib, and the protein level of YAP1 was measured by immunoblotting. YAP1 mRNA levels were measured by qRT-PCR (n = 3), standardized to GAPDH and normalized. B CK2α-depleted A2780 and SKOV3 cells were generated. Protein levels of YAP1 and CK2α were measured by immunoblotting. YAP1 mRNA levels were measured by qRT-PCR (n = 3). C A2780 cells were treated with Silmitasertib followed by treatment of either DMSO or MG-132 (10 μM) for 10 h. The protein level YAP1 was measured by immunoblotting. D CK2α-depleted A2780 cells were subjected to DMSO or MG-132 (10 μM) treatment. Protein levels of YAP1 and CK2α were measured by immunoblotting. E A2780 cells were pretreated with Silmitasertib and treated with cycloheximide (200 μg/mL). Cell lysate was collected at the indicated times, and YAP1 protein levels were measured by immunoblotting. The level of YAP1 relative to Actin was analyzed by image J. F Control (Ctrl) or CK2α-depleted A2780 cells were treated with cycloheximide (200 μg/mL). Cell lysates were collected at the indicated times, and the protein levels of YAP1 were measured by immunoblotting. The relative level of YAP1 to Actin was analyzed by image J. G Indicated constructs were transfected into cells, and cells were pretreated with vehicle or Silmitasertib followed by 10 h exposure of MG-132 (10 μM). Anti-Flag affinity gel was used to immunoprecipitate YAP1 in cell lysates, and the ubiquitination level of YAP1 was measured by immunoblotting. H Vector (V) or Flag-S-YAP1 were transfected into control (Ctrl) or CK2α-depleted cells followed by 10 h of exposure to MG-132 (10 μM). Anti-Flag affinity gel was used to immunoprecipitate YAP1 in cell lysates. The ubiquitination level of YAP1 was measured by immunoblotting.