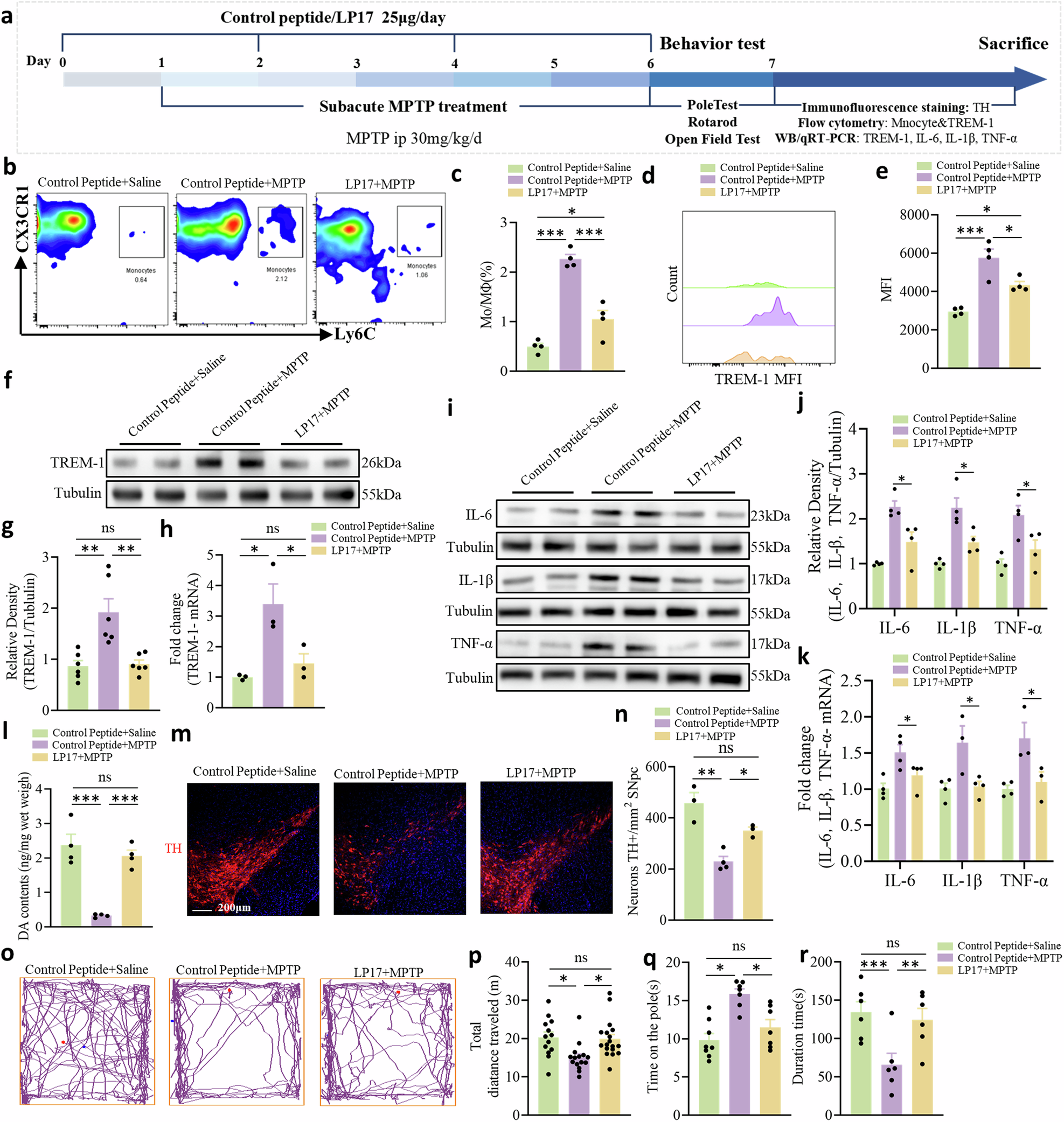
Fig. 6: The TREM-1 decoy peptide LP17 reduces neuroinflammation and dopaminergic neuron injury.

a Schematic representation of LP17 intervention therapy. Mice were intranasally administered four intraperitoneal injections of LP17/control peptide at 2-day intervals. b Plots showing Mo/MΦs in the SNpc. c Percentages of Mo/MΦs detected in the SNpc by flow cytometry (n = 4). d Representative histograms of TREM-1 expression on Mo/MΦs. e The MFI of Mo/MΦs TREM-1 in the SNpc (n = 4–5). f, g Western blot analysis of TREM-1 in the SNpc of MPTP-injected mice treated with LP17 or control peptide compared with control mice (n = 3). h The expression levels of TREM-1 in the SNpc were analyzed via qRT-PCR (n = 3). i, j Western blot analysis of IL-6, IL-1β, and TNF-α in the SNpc of MPTP-injected mice treated with LP17 or control peptide compared with control mice (n = 4). k The expression levels of IL-6, IL-1β, and TNF-α in the SNpc were analyzed via qRT-PCR (n = 3–4). l Pharmacological inhibition of TREM-1 significantly increased the striatal dopamine concentration, as measured by HPLC (n = 4). m, n Representative photographs of immunofluorescent staining of TH and quantification of the total number of TH+ dopaminergic neurons in the SNpc (n = 9–12 sections/3, 4 mice per group). Scale bars: 200 µm for the overview. o Movement paths in OFT in different experimental groups. p Total distance moved in the OFT (n = 12–16). q Latency to descend in the pole (n = 9–10). r Latency to fall off the rod in the rotarod test (n = 7–8). The data are presented as the mean ± SEM. (*P < 0.05, **P < 0.01, or ***P < 0.001 by one-way ANOVA).