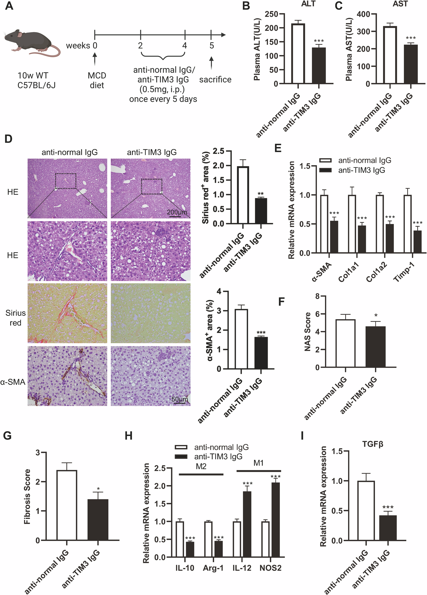
Fig. 6: Blockade of TIM3 induces M1 macrophage polarization and prevents NASH fibrosis in mice.

A Experimental scheme of C57BL/6 mice fed an MCD diet that were intraperitoneally injected with anti-TIM3 IgG or normal IgG once every five days. B, C Low serum ALT and AST levels in the anti-TIM3 group were found in mice fed an MCD diet for 5 weeks (n = 5/group). D Representative HE, Sirius red, and α-SMA IHC-stained sections from the indicated groups. Quantification of Sirius red- and α-SMA-positive areas. E The mRNA expression levels of α-SMA, Col1a1, Col1a2, and Timp-1 were determined by qPCR. F, G The NAS and fibrosis score of liver tissues were analyzed. qPCR was used to measure macrophage polarization markers (H) and TGF-β (I) at the mRNA expression level in the normal IgG and anti-TIM3 IgG groups. Data are presented as the mean ± SEM; Student’s unpaired t-test was used in B–D, F, G, and I; two-way ANOVA with Bonferroni’s multiple comparisons test was used in E and H. *p < 0.05, **p < 0.01, ***p < 0.001.