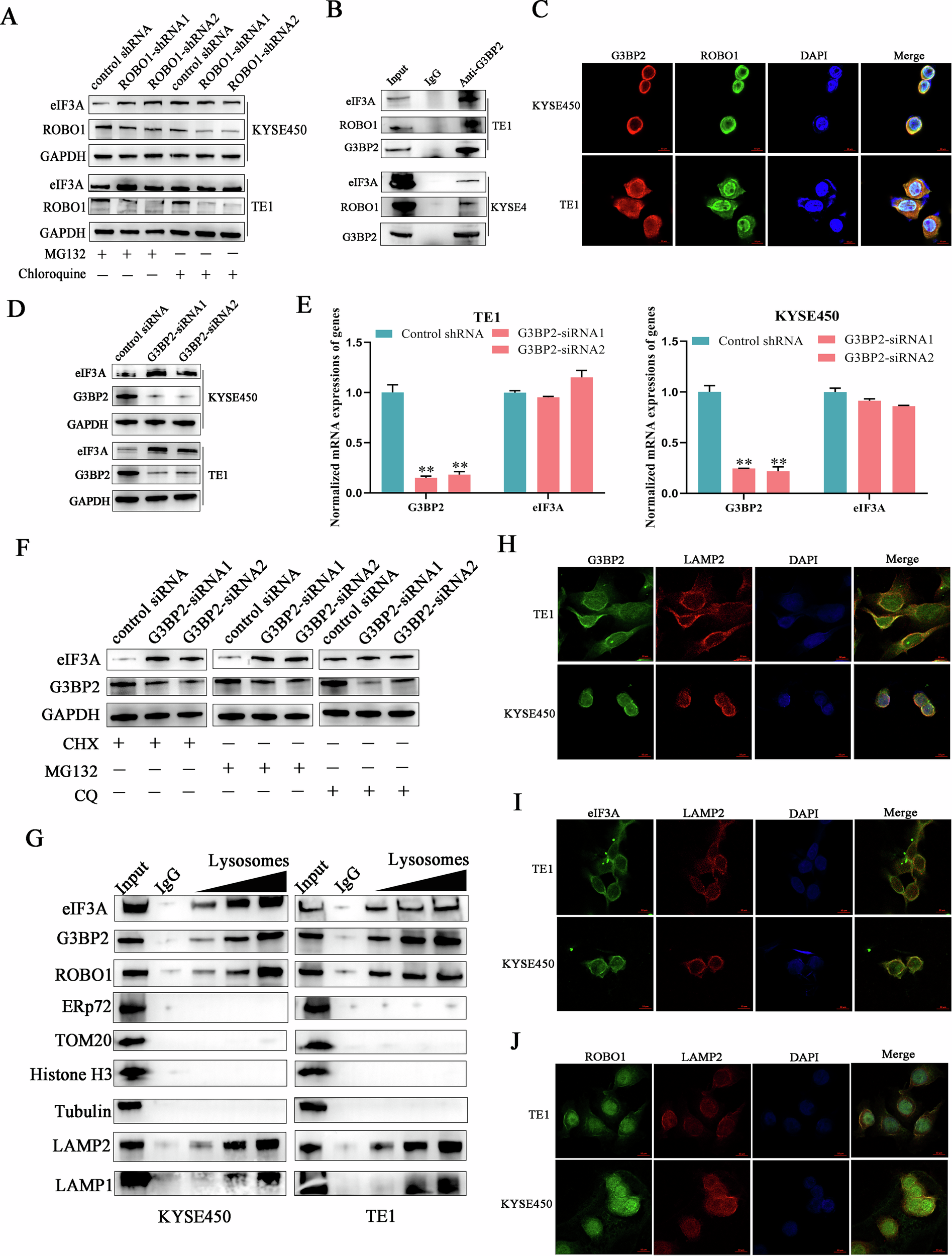
Fig. 4: ROBO1 elicited lysosomal eIF3A degradation through interacting with G3BP2.

A ROBO1 regulated eIF3A expression relying on lysosomes. MG132, a protease inhibitor. Chloroquine, an autophagy lysosome inhibitor. B G3BP2 interacted with ROBO1 and eIF3A in ESCC cells. C Immunofluorescence staining showed the colocalization of ROBO1 (green) and G3BP2 (red) in ESCC cells. Scale bars, 10 μm. D, E G3BP2 knockdown increased eIF3A expression at protein level, but not at mRNA level. **p < 0.01. F G3BP2 promoted eIF3A degradation relying on lysosomes activity. G Lysosomes were purified from cells and subjected to Western blot. ERp72, TOM20 and Histon3 were used as the markers of endoplasmic reticulum, mitochondria and nucleus, respectively. H–J Immunofluorescence assays demonstrated the co-localization of G3BP2, ROBO1, eIF3A with lysosomal marker protein LAMP2 (red) in ESCC cells. Nucleus were stained with DAPI (blue). Scale bars, 10 μm.