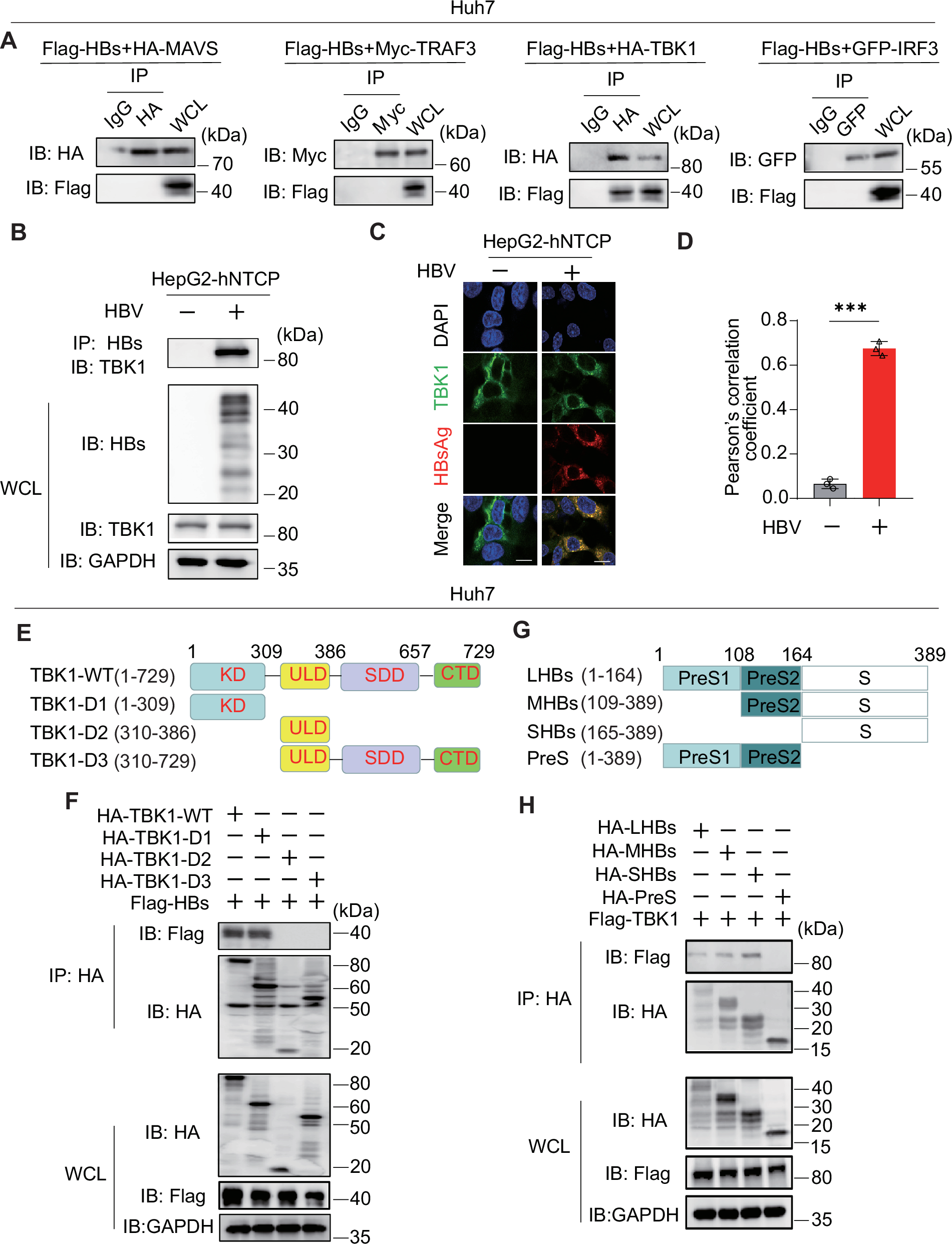
Fig. 1: HBsAg interacts with TBK1.

A IP and immunoblot analysis of Flag-HBs with HA-MAVS, Myc-TRAF3, GFP-IRF3, or HA-TBK1 in Huh7 cells. B IP and immunoblot analysis of endogenous TBK1 and HBsAg in HepG2-hNTCP cells infected with HBV. C Immunostaining analysis of endogenous TBK1 and HBsAg in HepG2-hNTCP cells infected with HBV. Scale bar: 10 μm. D Co-localization between HBsAg and TBK1 was analyzed by ImageJ. E Schematic of full-length TBK1 and its truncated mutants. F IP and immunoblot analysis of Flag-HBs with HA-TBK1 or its truncated mutants in Huh7 cells. G Schematic of large HBsAg (full-length HBsAg), middle HBsAg, small HBsAg, and PreS. H IP and immunoblot analysis of Flag-TBK1 with HA-LHBs, MHBs, SHBs, or PreS in Huh7 cells. All experiments were repeated at least three times with consistent results. Bar graphs show the means ± SD (n = 3 biological replicates). ***P < 0.001; using Student’s t-test.