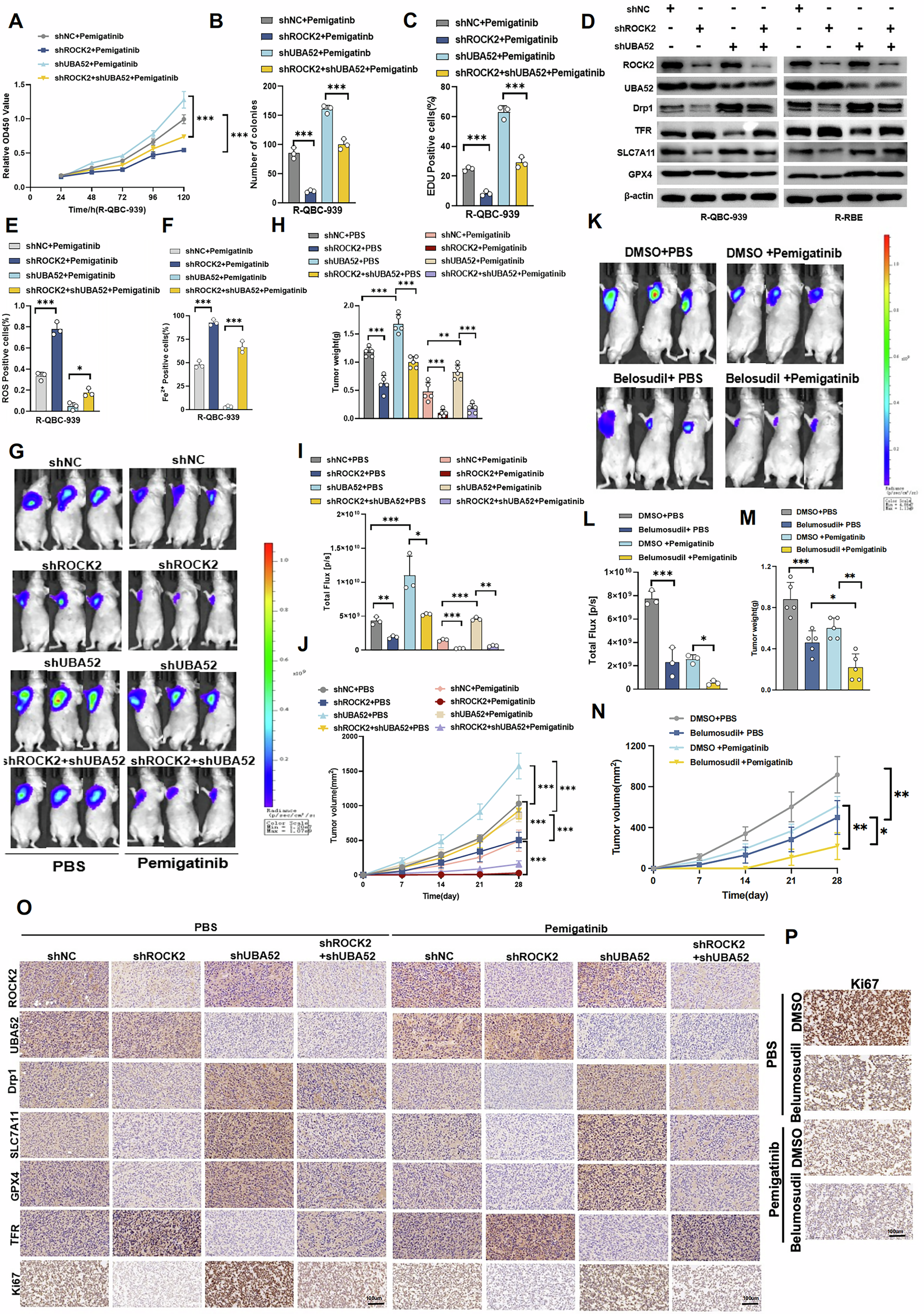
Fig. 7: ROCK2-mediated inhibition of ferroptosis leads to UBA52–Drp1 axis-dependent pemigatinib resistance in Cholangiocarcinoma cells.

A–C Cell proliferation was measured using CCK-8 assay, clone formation assay, and EdU assay in R-QBC-939 cells from the indicated groups after treatment with Pemigatinib (5 μM, 48 h at 37 °C). Data indicated as mean ± SD. ***P < 0.001. D The expression of ROCK2, Drp1, UBA52, SLC7A11, GPX4, and TFR was detected by western blot in the indicated groups of R-QBC-939 and R-RBE cells. E, F Intracellular ROS levels and ferrous ion activity were measured in R-QBC-939 cells from the indicated groups after treatment with Pemigatinib (5 μM, 48 h at 37 °C). Data indicated as mean ± SD. ***P < 0.001, **P < 0.01,*P < 0.05. G, H In vivo tumor formation was examined by subcutaneously injecting QBC-939 cells treated with the indicated protocols into the flanks of nude mice administered Pemigatinib (10 mg/kg). Bioluminescence imaging was performed 28 days post inoculation (n = 3). ***P < 0.001, **P < 0.01. I, J Tumour weight was measured at the end of the experiment, while tumour volume was monitored every 7 days, allowing the corresponding tumour growth curves to be plotted. Data indicated as mean ± SD (n = 5). ***P < 0.001, **P < 0.01, *P < 0.05. K, L In vivo tumor formation was examined by subcutaneously injecting R-QBC-939 cells treated with Pemigatinib(10 mg/kg) and Belosudil(50 mg/kg) into the flanks of nude mice. Bioluminescence imaging was performed 28 days post-inoculation (n = 3). Data indicated as mean ± SD. ***P < 0.001, *P < 0.05. M, N Tumour weight was measured at the end of the experiment, while tumour volume was monitored every 7 days, allowing the corresponding tumour growth curves to be plotted (n = 5). Data indicated as mean ± SD.***P < 0.001, **P < 0.01. O Representative IHC staining of ROCK2, UBA52, Drp1,GPX4, TFR, SLC7A11 and Ki67 in allograft tumor tissues (n = 5). Scale bar: 100 μm. P Representative IHC staining of Ki67 in allograft tumor tissues (n = 5). Scale bar: 100 μm.