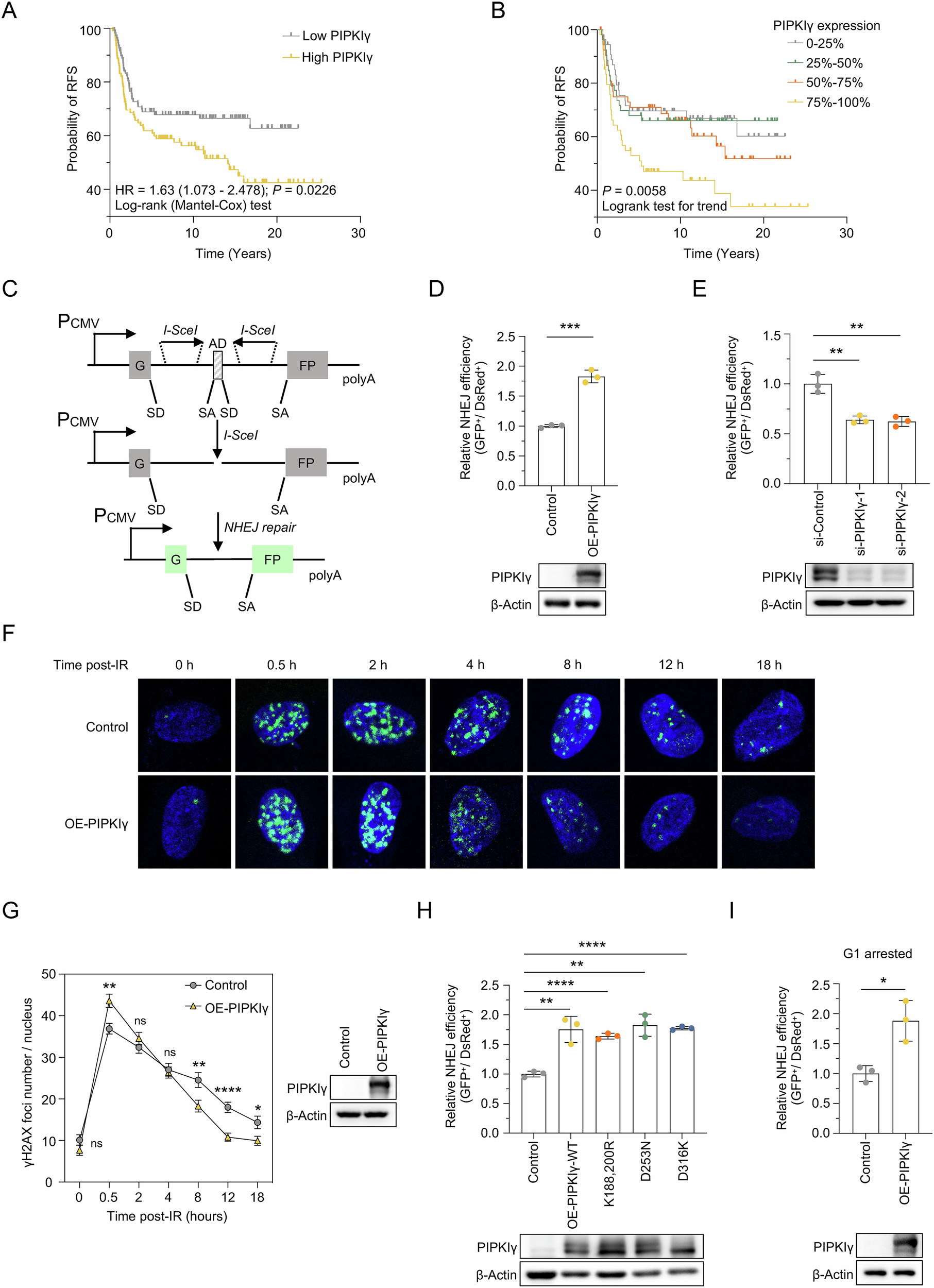
Fig. 1: PIPKIγ enhances radioresistance in TNBC and promotes NHEJ independently of its canonical kinasse activity.

A The association between median PIPKIγ expression and RFS probability in TNBC patients undergoing radiotherapy. B The association between PIPKIγ expression quartiles and RFS probability in TNBC patients undergoing radiotherapy. C Schematic Diagram of the Well-Established NHEJ (pEGFP-Pem1-Ad2) Reporter. The operational principles of this reporter system were detailed in Seluanov et al., 2004, PNAS. This NHEJ reporter allows the evaluation of both canonical c-NHEJ and alternative NHEJ alt-NHEJ efficiencies. D NHEJ efficiency in HCA2-I9a cells overexpressing PIPKIγ. Cells were transfected with I-SceI, DsRed2-N1, and PIPKIγ vectors. After 72 h, FACS analysis was performed. n = 3 per group. Western blot showing PIPKIγ overexpression is included. Data are shown as mean ± SD (Unpaired t test; ***P < 0.001). E NHEJ efficiency in HCA2-I9a cells with PIPKIγ knockdown. Western blot showing PIPKIγ knockdown is included. n = 3 per group. Data are shown as mean ± SD (Unpaired t test; **P < 0.01). F, G Impact of PIPKIγ overexpression on γH2AX foci clearance. HCA2-hTERT cells were transfected with control or PIPKIγ vector, treated with 2 Gy X-ray, and immunostained for γH2AX foci at various time points. Representative images are shown in (F), and the number of γH2AX foci per nucleus is quantified in (G). Data are shown as mean ± SEM (Unpaired t test; ns, P ≥ 0.05; *P < 0.05; **P < 0.01; ****P < 0.0001). H NHEJ efficiency in HCA2-I9a cells overexpressing wild-type or mutant PIPKIγ. Western blot showing PIPKIγ overexpression is included. n = 3 per group. Data are shown as mean ± SD (Unpaired t test; **P < 0.01; ****P < 0.0001). I c-NHEJ efficiency in G1-arrested HCA2-I9a cells overexpressing PIPKIγ. Confluent HCA2-I9a cells were transfected with I-SceI, DsRed2-N1, and PIPKIγ vectors. After 72 h, FACS analysis was conducted. Western blot showing PIPKIγ overexpression is included. n = 3 per group. Data are shown as mean ± SD (Unpaired t test; *P < 0.05).