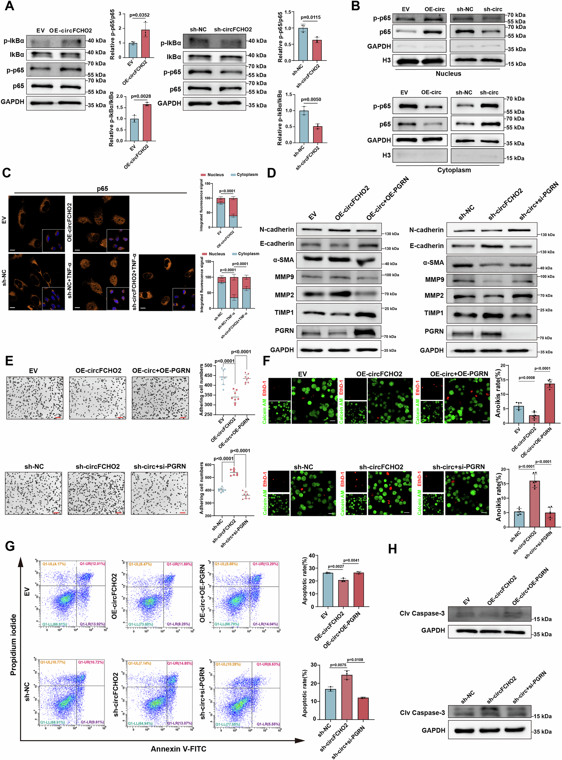
Fig. 5: circFCHO2 promotes EMT and ECM remodeling by decreasing PGRN levels and activating the NF-κB signaling pathway.

A The relative expression levels of p-IκBα/ IκBα and p-p65/p65 in circFCHO2 OE and KD BEAS-2B cells were examined by western blotting. Bar plots showing the relative levels of p-IκBα/ IκBα and p-p65/p65 (n = 3). B The levels of p65 and p-p65 in the nuclei of circFCHO2 OE and KD BEAS-2B cells. C Immunofluorescence (IF) staining of p65 (orange) in OE and KD cells. The final concentration of TNF-α used for cell treatment was 20 ng/mL. The quantification of nuclear (Nuc)/cytoplasmic (Cyto) p65 signals is shown as bar plots (n = 6). Scale bar, 20 μm. D The expression levels of EMT- and ECM remodeling -related proteins were examined by western blotting in circFCHO2 OE and KD cells with PGRN OE and KD. E Cell adhesion was assessed by crystal violet staining, and the number of adhering cells was calculated in circFCHO2 OE and KD cells with PGRN OE and KD (n = 8). Scale bar, 50 μm. F The level of anoikis was assessed by calcein AM and EthD-1 staining. The ratio of cells with anoikis was calculated in circFCHO2 OE and KD cells with PGRN OE and KD (n = 6). Scale bar, 20 μm.G The number of apoptotic OE and KD cells with PGRN OE and KD was detected by Annexin V/PI double staining and flow cytometry. The bar plots show the ratio of apoptotic cells (n = 3). H The expression level of Clv-Cas3 in OE and KD cells with PGRN OE and KD was estimated by western blotting. For A, P values from two-tailed unpaired Student’s ttest. For C, E, F and G, P values were calculated via one-way ANOVA. The data are shown as the means ± SDs from independent experiments.