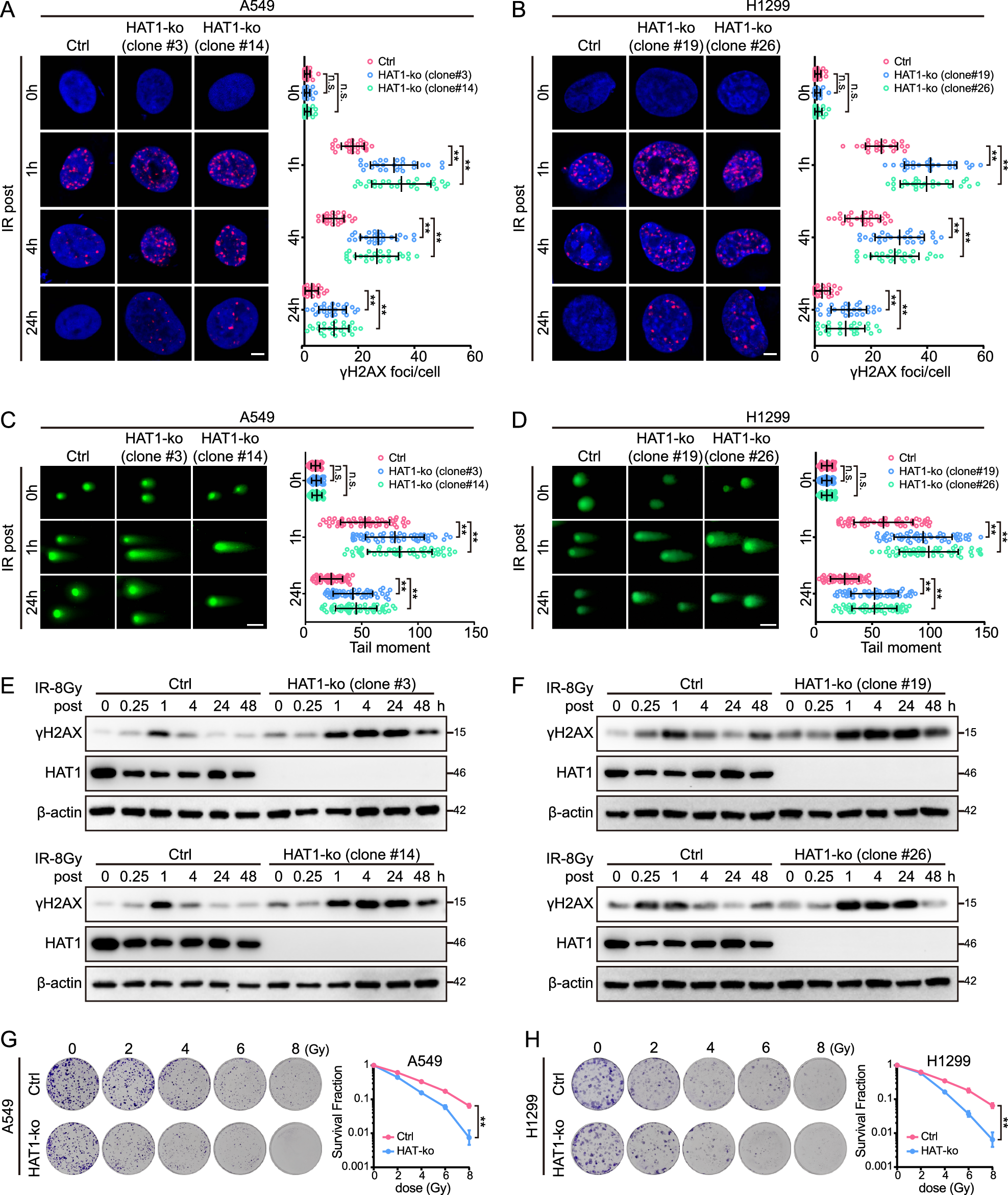
Fig. 3: HAT1 promotes DDR in LUAD cells.

A The IR-induced foci of γ-H2AX in A549 cells abolishing of HAT1 (scale bar = 5 μm; n = 25). B The IR-induced foci of γ-H2AX in H1299 cells depleting of HAT1 (scale bar = 5 μm; n = 25). C The IR-induced tailed DNA in HAT1-KO A549 cells (scale bar=10 μm; n = 50). D The tailed DNA in H1299 cells depleting of HAT1 (scale bar = 10 μm; n = 50). E The expression of γ-H2AX, HAT1 and β-actin in monoclonal A549 cells depleting of HAT1 (clone #3 and clone #14). F The expression of γ-H2AX, HAT1 and β-actin in monoclonal H1299 cells depleting of HAT1 (clone #19 and clone #26). G The clonogenic ability of A549 cells treated with IR. H The colony-forming ability of H1299 cells treated with IR. All data were analyzed using two-way analysis of variance (ANOVA), **P < 0.01.