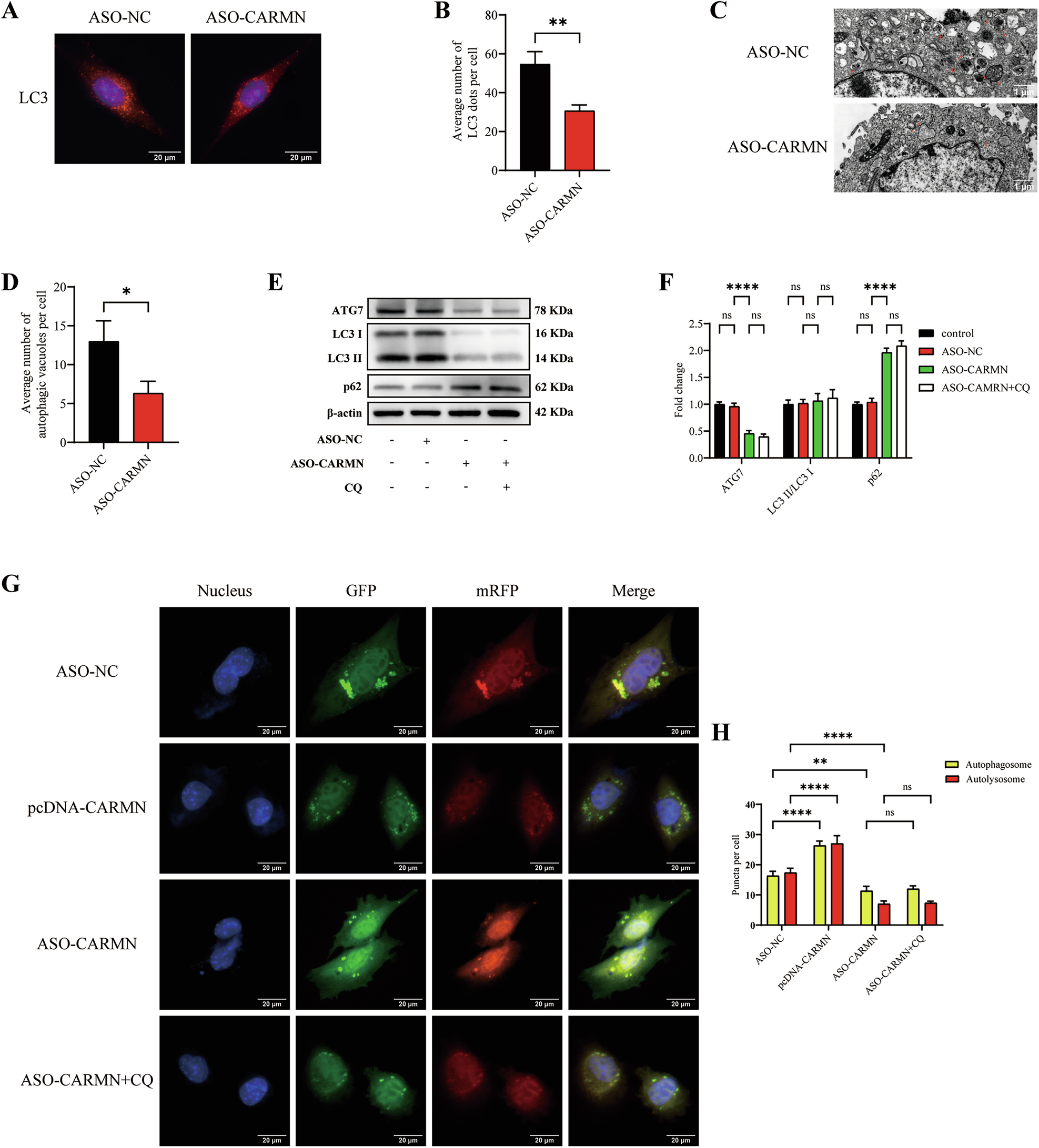
Fig. 3: Knockdown of CARMN transcriptionally downregulates autophagy in VSMCs.

A Representative images of LC3 staining in VSMCs transfected with ASO-NC or ASO-CARMN. Nuclei were stained with DAPI (blue). Scale bars, 20 µm. B The average number of LC3 dots per cell was quantified (n = 3). C Representative images of autophagic vacuoles (red arrows) observed by transmission electron microscopy in VSMCs transfected with ASO-NC or ASO-CARMN. Scale bars, 1 µm. D Quantification of autophagic vacuoles was performed on 15 randomly selected cells (five cells per experiment) across three independent replicates. E Western blotting analysis of the expression of LC3, p62, and ATG7 in VSMCs incubated with CQ (50 µM) for 12 h before treatment with ASO-NC or ASO-CARMN. F Quantification of LC3 II/LC3 I, p62 and ATG7 protein expression (n = 3). G VSMCs were transiently transfected with ad-mRFP-GFP-LC3 for 24 h and subsequently transfected with ASO-NC, pcDNA-CARMN, ASO-CARMN, or ASO-CARMN plus CQ (50 µM, 12 h). Scale bars, 20 μm. H Quantitative data on the number of autophagosomes (yellow puncta) and autolysosomes (red puncta) (n = 3). Data are presented as mean ± SD. Statistical analysis was performed using either the two-tailed Student’s t-test for two-group comparisons or one-way ANOVA for multiple-group comparisons. ns, P > 0.05; *, P < 0.05; **, P < 0.01; ****, P < 0.0001.