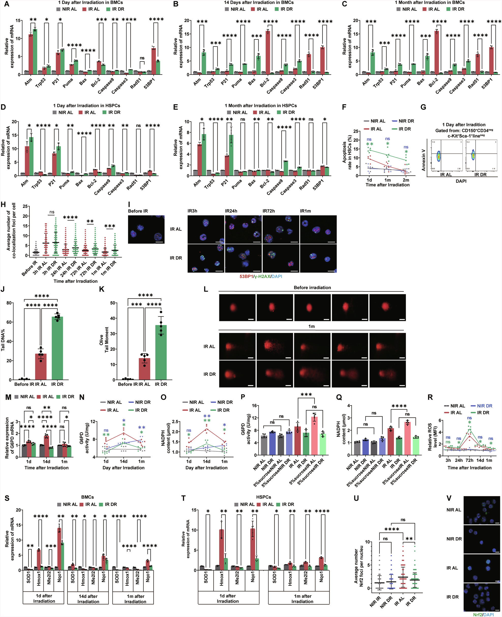
Fig. 4: Post-irradiation DR inhibits DNA repair and PPP and leads to persistent DNA damage response in hematopoietic cells.

A–E Mice were subjected to 4.5 Gy X-ray irradiation and subsequently fed with AL diet or DR diet. BM cells or c-Kit+ HSPCs were harvested at the indicated time points for q RT-PCR analysis. NIR mice receiving an AL diet were monitored as a control. Relative expression of indicated genes involving DNA damage and repair were analyzed, with β-actin as the internal control (n = 5 mice per group from 1 experiment representative of 2 independent experiments). F, G Apoptosis rates in HSCs at indicated time points post-irradiation and in NIR mice, as determined by FACS (F). Representative FACS plots at day 1 post-irradiation (G) (n = 5 mice per group from 1 experiment, representative of 2 independent experiments). H, I Quantification and representative images of γH2AX and 53BP1 colocalization in c-Kit+ HSPCs at indicated time points post-irradiation and before irradiation, determined by immunofluorescent staining (scale bar: 10 μm) (n = 5 mice per group from 1 experiment representative of 2 independent experiments). J–L Quantification and representative images of comet assay tail DNA in c-Kit+ HSPCs at indicated time points post-irradiation and before irradiation (scale bar: 10 μm) (n = 5 mice per group from 1 experiment, representative of 2 independent experiments). M Relative expression of G6PD mRNA in BM cells of AL and DR mice at the indicated time points post-irradiation and NIR AL mice, analyzed by qRT-PCR with β-actin as the internal control (n = 5 mice per group from 1 experiment representative of 2 independent experiments). Dynamic measurements by ELISA of G6PD enzyme activity (N) and NADPH (O) content in BM cells of AL and DR mice at the indicated time points under IR or no-conditions conditions. P G6PD enzyme activity and Q NADPH content in BM cells of AL and DR mice given 5% sucrose water or normal drinking water at NIR/IR 14 days (n = 5 mice per group from 1 experiment representative of 2 independent experiments). R Average fluorescence intensity of ROS in BM cells of AL and DR mice at indicated time points under non-irradiated or irradiated conditions (n = 5 mice per group from 1 experiment representative of 2 independent experiments). Relative expression of indicated genes involving ROS in BM cells (S) and c-Kit+ HSPCs (T) of AL and DR mice at indicated time points post-irradiation, analyzed by qRT-PCR with NIR AL mice as a control (n = 5 mice per group from 1 experiment representative of 2 independent experiments). U and V Quantification and representative images of Nrf2 foci in the nucleus of BM cells of AL and DR mice at 5 h post-irradiation and under non-irradiated conditions, determined by immunofluorescent staining (scale bar: 10 μm) (n = 5 mice per group from 1 experiment representative of 2 independent experiments). Results were displayed as mean ± SD;. ns, not significant; *p < 0.05; **p < 0.01; ***p < 0.001; ****p < 0.0001 by one-way ANOVA test and Two-way ANOVA test with Tukey’s multiple comparisons test. HSPCs: hematopoietic stem and progenitor cells. The purple symbols indicate statistical significance between the non-irradiated groups. The green symbols indicate statistical significance between the irradiated groups.