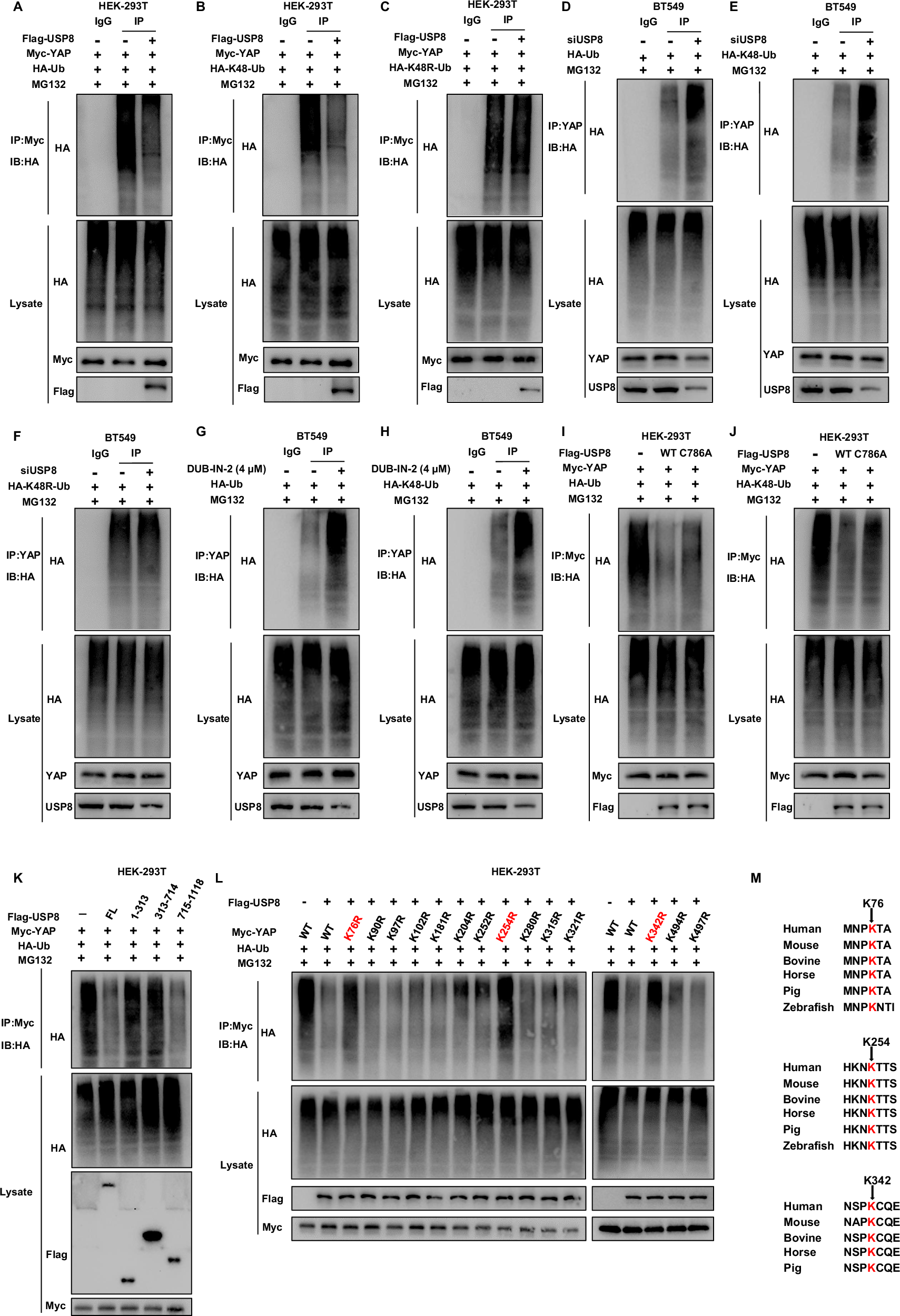
Fig. 7: USP8 stabilizes YAP by reducing K48 poly-ubiquitination.

A Overexpression of USP8 reduces the ubiquitination of YAP protein. The ubiquitination status of YAP was assessed via immunoblotting utilizing specific antibodies. B, C Overexpression of USP8 reduces the ubiquitination of K48-linked YAP protein. The level of K48/K48R-specific ubiquitination of YAP was assessed through immunoblotting using designated antibodies. D Knockdown of USP8 increases the total ubiquitination of YAP protein. The total ubiquitination level of YAP was assessed by immunoblotting. Subsequently, the cells were analyzed using designated antibodies. E, F Knockdown of USP8 increases the ubiquitination of K48-linked YAP protein. Immunoblotting was used to determine the K48/K48R-specific ubiquitination level of YAP. G The USP8 inhibitor DUB-IN-2 increases the total ubiquitination of YAP protein. The ubiquitination level of YAP was measured through immunoblotting. H The USP8 inhibitor DUB-IN-2 increases the ubiquitination of K48-linked YAP protein. To determine the K48-specific ubiquitination level of YAP, immunoblotting was performed. I USP8 WT, but not the enzyme-inactivating USP8 C786A mutant, reduces the total ubiquitination of YAP protein. To measure the total ubiquitination of YAP, immunoblotting was performed on HEK-293T cells. J USP8 WT, but not the enzyme-inactivating USP8 C786A mutant, reduces the K48-linked ubiquitination of YAP protein. The level of K48-specific ubiquitination of YAP was assessed through immunoblotting. K The USP8 USP domain (714–1118) decreases the ubiquitination of the YAP protein. The overall level of YAP ubiquitination was determined via immunoblotting. The cells were subjected to immunoblotting with designated antibodies. L USP8 can ubiquitinate YAP at the K76, K254, and K342 sites of the YAP protein. The ubiquitination assay showed that YAP was ubiquitinated at multiple predetermined sites. M Cross-species analysis of K76, K254 and K342 on YAP protein was performed in multiple species.