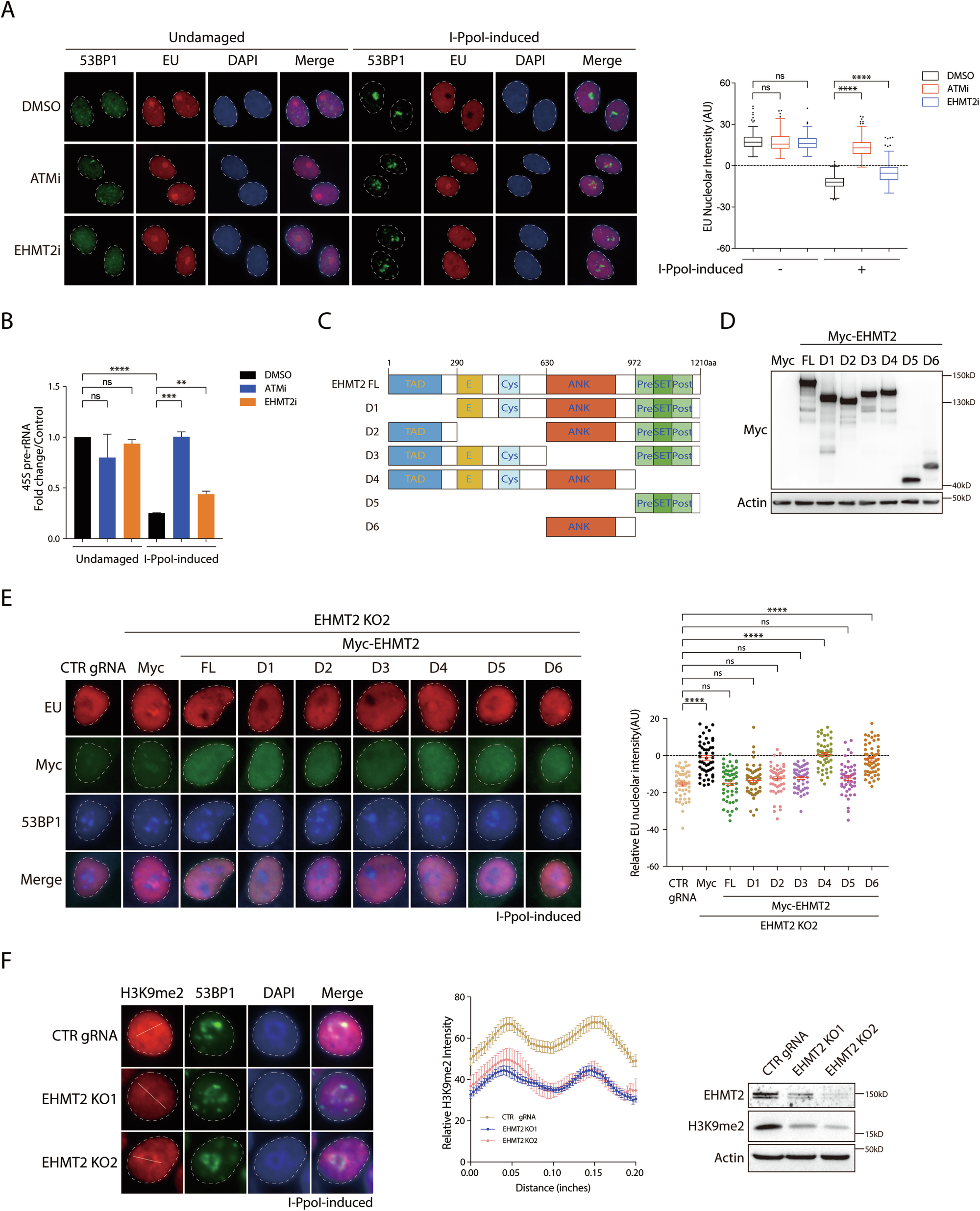
Fig. 2: EHMT2 mediates rDNA DSB-induced transcriptional suppression via its methyltransferase activity.
From: The EHMT2-MBLAC2 axis suppresses ribosomal DNA transcription in response to nucleolar DNA damage

A Analysis of nucleolar transcription activity by EU incorporation assay in EHMT2-inactivated HeLa I-PpoI cells following rDNA DSBs induction. HeLa I-PpoI cells were pre-treated with ATM inhibitor (ATMi; KU-55933) or EHMT2 inhibitor (EHMT2i; UNC0638) for 1 h prior to rDNA DSBs induction and induced for another 4 h-induction of rDNA DSBs. EU nucleolar intensity was subsequently determined by EU incorporation assay. At least 200 cells exhibiting well-circumscribed nucleoli were quantitatively assessed across minimally three independent experiments. Quantification of relative EU nucleolar intensity is shown in Tukey boxplots. B Fold change of 45S pre-rRNA in HeLa I-PpoI cells pre-treated with ATM inhibitor (ATMi; KU-55933) or EHMT2 inhibitor (EHMT2i; UNC0638) after I-PpoI induction was determined by RT-qPCR. Quantification of 45S pre-rRNA fold change was from four independent experiments. C Schematic illustration showing domain structure of EHMT2 protein and its truncated mutants. D Protein expression of the indicated Myc-tagged EHMT2 truncated mutants was measured by Western blotting. E HeLa I-PpoI cells transduced with EHMT2 gRNA2 were reconstituted with the indicated Myc-tagged EHMT2 truncated mutants. Cells were subjected to EU incorporation assay after I-PpoI induction. Dashed circle shows the margins of the representative nucleoli. Quantification of relative EU nucleolar intensity was derived from three independent experiments and is shown in Scatter plot. F H3K9me2 nucleolar intensity was determined in EHMT2-deficient HeLa I-PpoI cells. EHMT2-KO I-PpoI cells were subjected to immunofluorescence and were labeled with H3K9me2 and 53BP1 after rDNA DSBs induction. Nuclei were counterstained with DAPI. Dashed circle shows the margins of the nucleoli. The white lines in the representative images indicate the lines for quantification. Quantification of relative signal intensities of H3K9me2 in the representative images was shown. The protein levels of H3K9me2 were measured by immunoblotting. Bars represent mean ± SEM; ns not significant; **P < 0.01; ***P < 0.001; ****P < 0.0001.