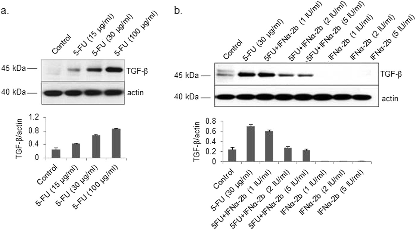
Fig. 2: Effects of 5-FU and IFNα-2b alone and in combination on TGF-β levels in Hep G2 cells.

Cells were treated with 0, 15, 30, and 100 µg/mL 5-FU for 24 h (a) or with 30 µg/mL 5-FU, IFNα-2b (1, 2, 5 IU/mL), or 5-FU and IFNα-2b for 24 h (b). TGFβ levels in the cell lysates were determined by western blotting. Results are expressed as the means ± SD (n = 3)