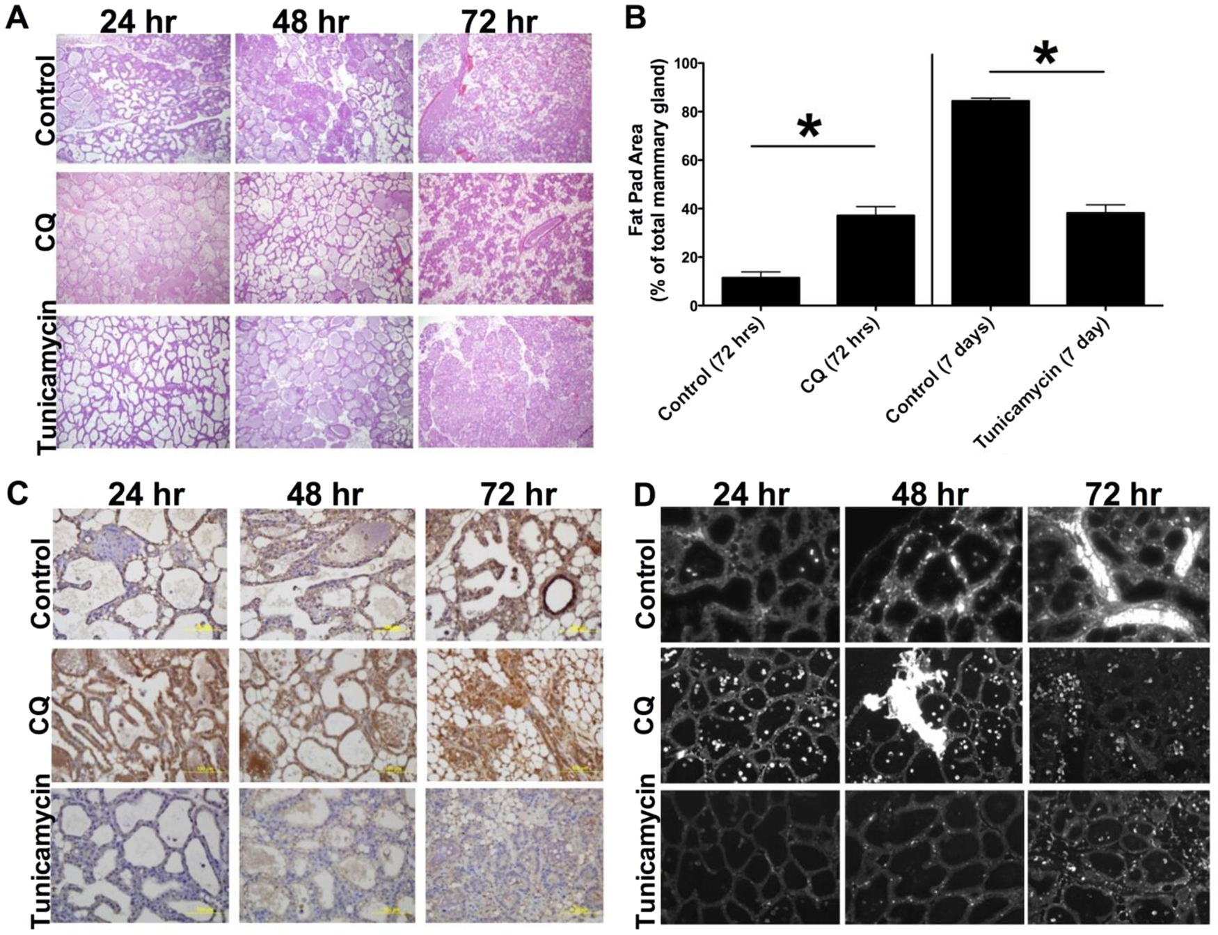
Fig. 5: Drug interventions inhibiting and stimulating autophagy enhanced and delayed involution, respectively.

At the time of forced weaning (involution 0 h) drug treatments were started to inhibit (with low dose chloroquine [CQ], middle panels) and stimulate (with low dose tunicamycin [Tm], bottom panels) autophagy, as described in the Materials and methods. Time-course involution samples were collected as in Figs. 2–4. a, b Histology and quantification of involution progress by ImageJ analysis of epithelial/fat pad area of the H&E stained mammary gland slides, as described in Materials and methods. Average ± SD are shown, n = 3. Tm vs. vehicle control: Student’s t test, P ≤ 0.001 (96 h); Mann–Whitney rank sum test P ≤ 0.001 (7d). CQ vs. vehicle control: Mann–Whitney rank sum test P ≤ 0.001 (72 h). c Representative slides of (c) autophagy marker (downregulation of) p62 specific staining (IHC), and d apoptosis marker TUNEL IHC are shown