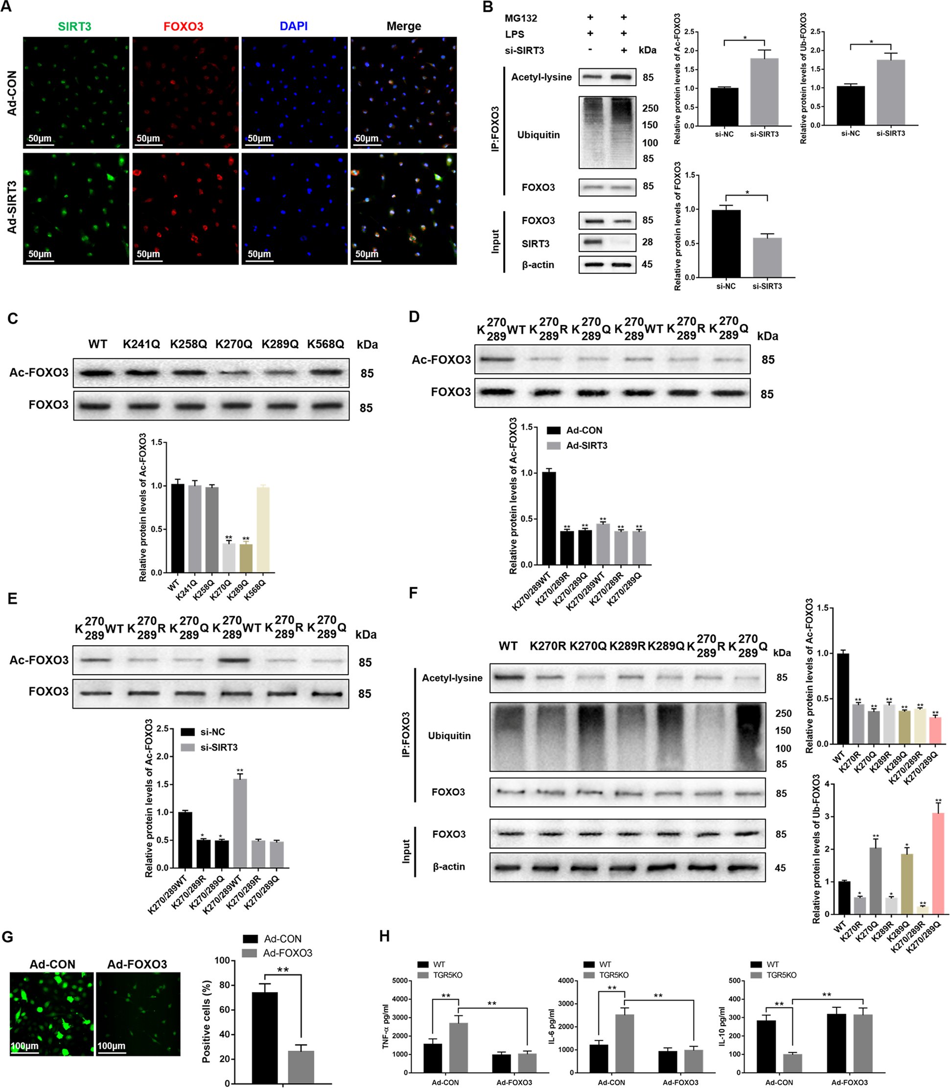
Fig. 6: SIRT3 regulates macrophage oxidative stress and inflammatory response by inhibiting the acetylation and ubiquitination of FOXO3.

a Immunofluorescence staining for SIRT3 (green) and FOXO3 (red) colocalization in LPS-stimulated TGR5KO BMDMs treated with Ad-SIRT3 or Ad-CON. Representative of three experiments. b BMDMs were transfected with SIRT3 siRNA for 48 h and stimulated with LPS for another 6 h. Then, MG132 (25 μM) was added for 4 h. The lysates were used for immunoprecipitation with FOXO3, and immunoblot was performed with anti-Acetyl-lysine, anti-Ubiquitin, anti-FOXO3, and anti-SIRT3 antibodies. Representative of three experiments. c FOXO3 acetylation was examined in BMDMs transfected with potential acetylation site-specific mutant plasmids of FOXO3. Representative of three experiments. d FOXO3 acetylation was detected in BMDMs transfected with Ad-SIRT3 adenoviruses and potential acetylation site-specific mutant plasmids of FOXO3. Representative of three experiments. e FOXO3 acetylation was detected in BMDMs transfected with SIRT3 siRNA and potential acetylation site-specific mutant plasmids of FOXO3. Representative of three experiments. f Acetylation, ubiquitination and degradation of FOXO3 was examined in BMDMs transfected with FOXO3WT, FOXO3K270R, FOXO3K270Q, FOXO3K289R, FOXO3K289Q, FOXO3K270/289R, or FOXO3K270/289Q mutant plasmids. Representative of three experiments. g ROS levels in TGR5KO BMDMs transfected with Ad-SIRT3 adenoviruses (original magnification ×200). Representative of three experiments. The numbers of ROS-producing cells (green) per high power field were quantified (original magnification ×200), n = 3/group. h The levels of inflammatory gene in supernatant was detected by ELISA. n = 3/group. Mean ± SEM; **P < 0.01; *P < 0.05.