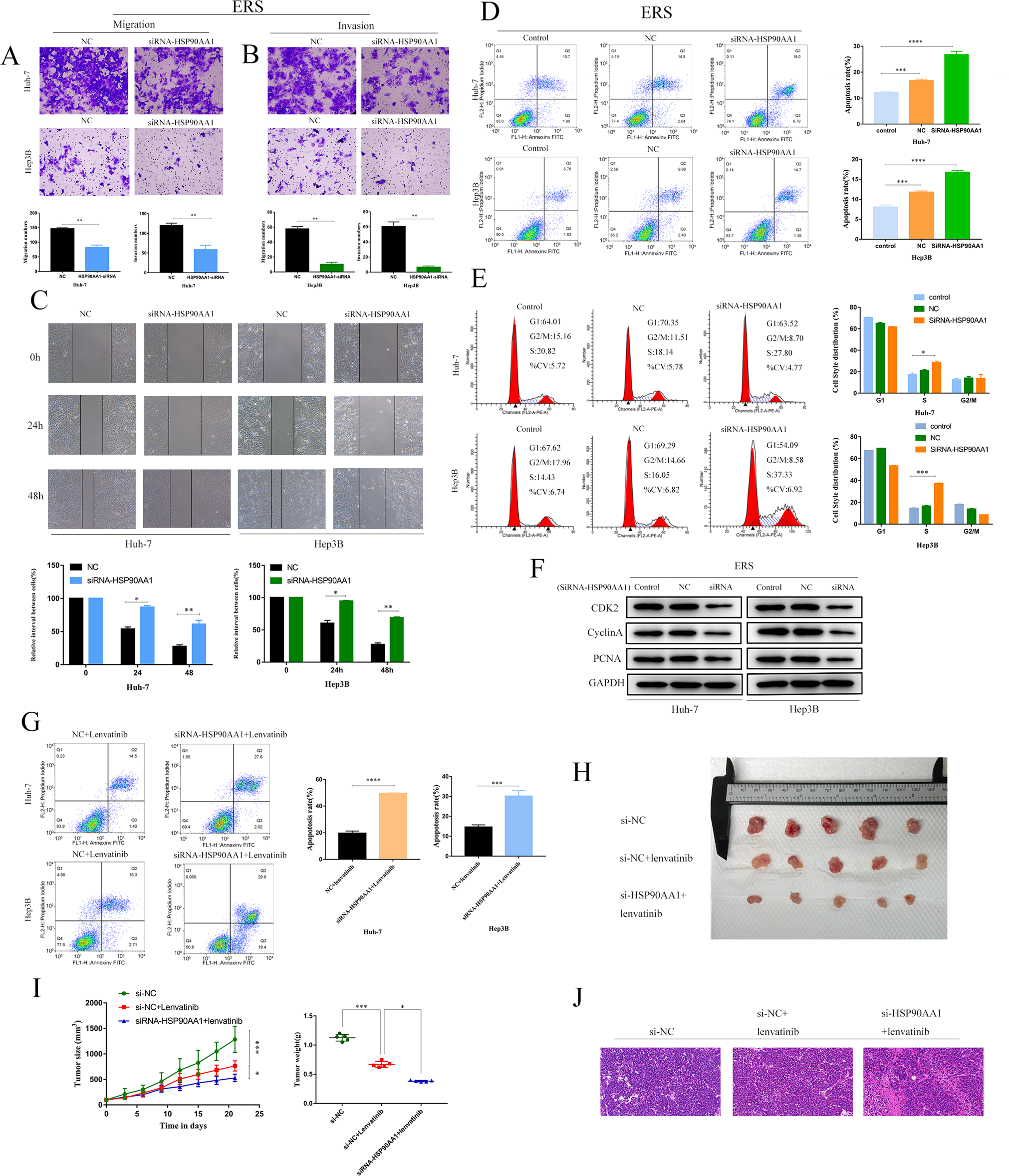
Fig. 7: HSP90AA1 promotes metastasis, cell cycle arrest, channeling resistance, and Lenvatinib resistance in ERS hepatocellular carcinoma.

After siRNA-NAT10 or Remodelin treatment, Huh-7 (A) and Hep3B (B) cell migration and invasion were analyzed by transwell, scale = 200 μm. C Similarly, the migration of Huh-7 and Hep3B cells was analyzed by wound healing assay (scale = 100 μm). D The effect of siRNA-HSP90AA1 knockdown on the apoptosis of Huh-7 and Hep3B cells was analyzed by flow cytometry (n = 3). E siRNA-HSP90AA1 increased the S-phase fraction of Huh-7 cells by flow cytometry analysis (n = 3). F Western blot showed the expression levels of CDK2, CyclinA, and PCNA cell cycle proteins in Huh-7 and hep3B cells after HSP90AA1 knockdown or inhibition. G Flow cytometry analysis of the effect of siRNA-HSP90AA1 knockdown and inhibition on the sensitivity of Huh-7 cells and Hep3B cells to Lenvatinib (n = 3). H Photographic images of xenograft tumors collected (n = 5). I Average weight and volume of the mouse xenograft tumor on day 21. J HE staining of mouse metastatic tumors. All groups of cells were induced by TM 24 h in advance. All data were shown as mean ± standard deviation. *P < 0.05, **P < 0.01, ***P < 0.001.