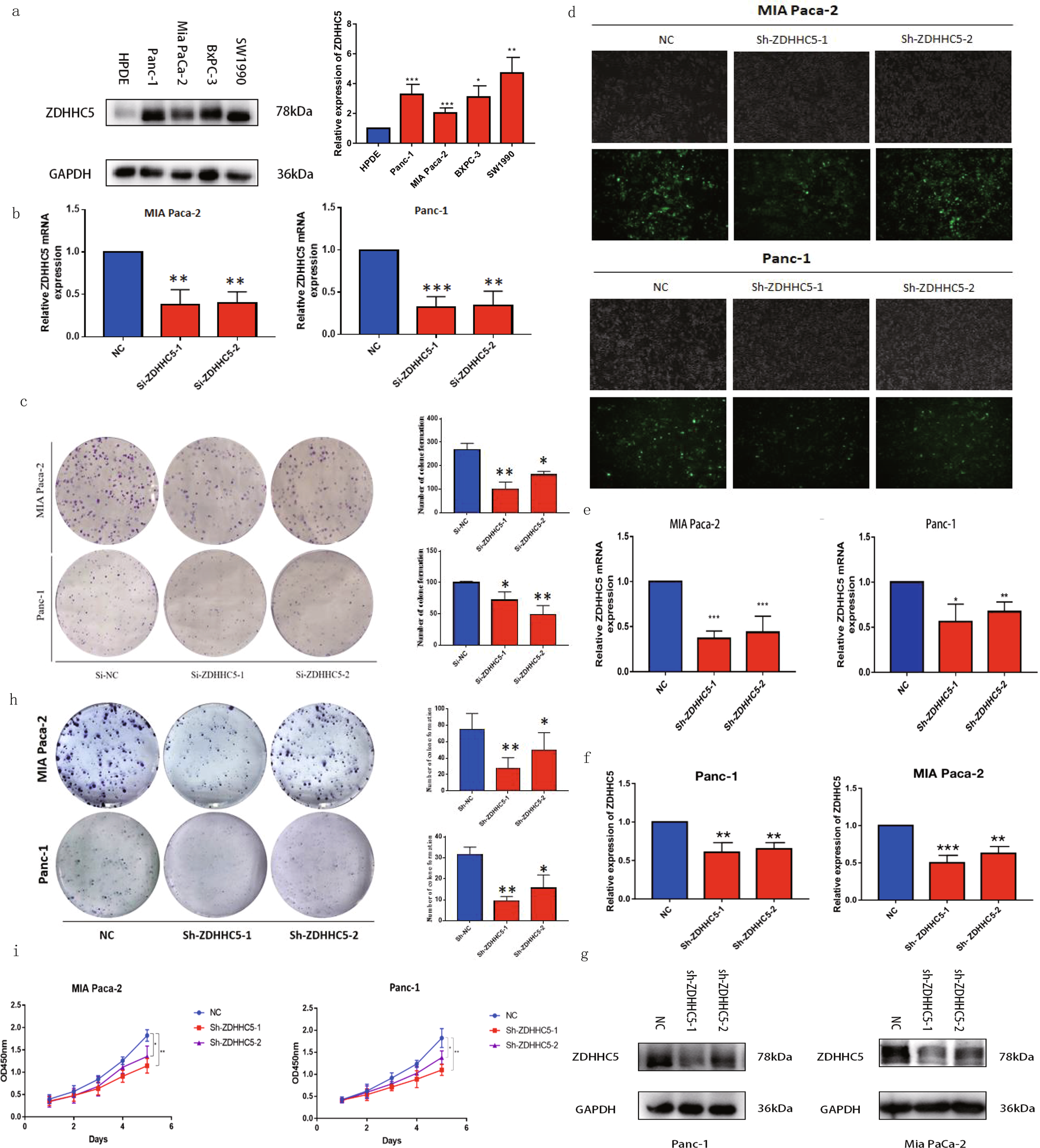
Fig. 2: In vitro evaluation of silencing ZDHHC5 anti-tumor effect.

a ZDHHC5 is upregulated in pancreatic cancer cell lines. Western blot analyses of ZDHHC5 expression in HPDE cell and 4 PDAC cell lines. b ZDHHC5 mRNA expression after transfection analyzed by RT-qPCR. c After transfection, colony formation assay of cell viability in MIA Paca-2 and Panc-1 cell lines after cultured 15 days. d Establishment of stable ZDHHC5 knockdown pancreatic cancer cell lines. MIA Paca-2 and Panc-1 cells were transduced with a lentivirus vector containing negative control ShRNA (NC) or one of two ShRNAs against ZDHHC5 (Sh-ZDHHC5-1 and Sh-ZDHHC5-2) for 48 h. Morphology of MIA Paca-2 and Panc-1 cells was captured. e mRNA expression of stable ZDHHC5 knockdown cell lines were analyzed by RT-PCR. f, g Knockdown efficiency on protein level was detected using Western blot. h After construction of stable ZDHHC5 knockdown cell lines, colony formation assay of cell viability in MIA Paca-2 and Panc-1 cell lines after cultured 15 days. i Transduced MIA Paca-2 and Panc-1 cells were cultured for 5 days post transduction. The absorbance at 450 nm was measured with a microplate analyzer every 24 h to assess cell growth. Data are expressed as mean ± SEM (n = 3) *p < 0.05, **p < 0.01, ***p < 0.001 in a, b, c, e, f, h and i.