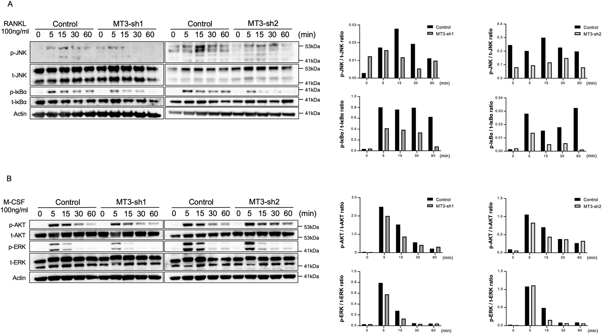
Fig. 3: MT3 is required for RANKL-induced JNK and NF-κB activation in preosteoclasts.

Western blot analysis (left) and quantification (right) detected the levels of phosphorylated and total JNK, IκBα, AKT, and ERK in pOC treated with RANKL (100 ng/mL) (A) or M-CSF (100 ng/mL) (B) for the indicated time. Actin served as loading controls.