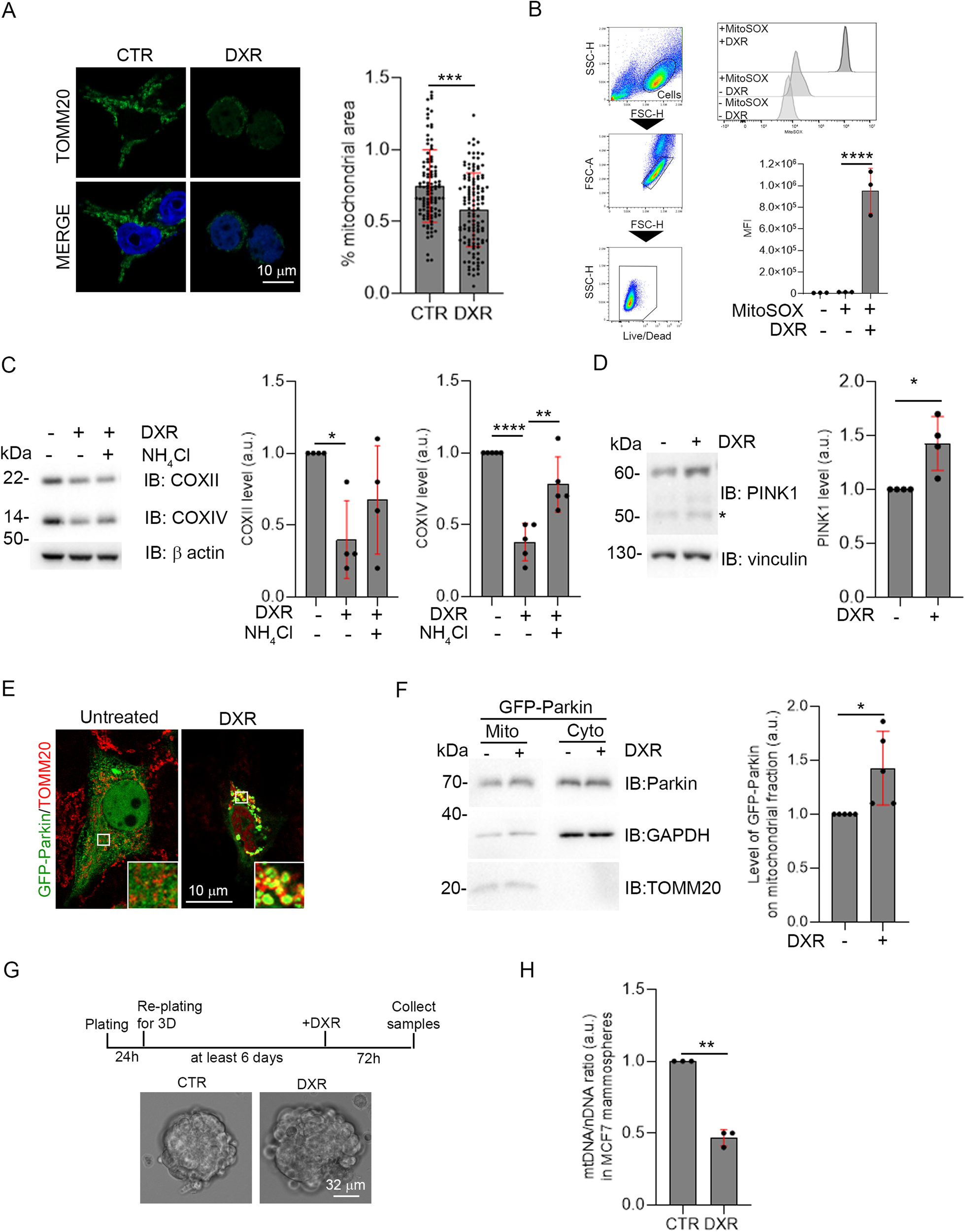
Fig. 2: DXR treatment induces PINK1/Parkin-mediated mitophagy.

A Representative images of the mitochondrial network of MCF7 cells visualised through the TOMM20 staining, in the indicated conditions. Each dot in the graph represents the cellular area occupied by mitochondria expressed as a percentage (%) for each cell analysed, after normalisation with the mean area +1S.D. in CTR condition, of each experiment. Scale bar, 10 μm is shown. At least 50 cells from 3 independent experiments were analysed. B Flow cytometry plots and histograms show the mean fluorescent intensity (MFI) of MitoSOX in the indicated conditions. C Total lysate from MCF7 treated with DXR 30 µM for 24 h with and without NH4Cl was immunoblotted for the indicated proteins. The graphs show the mitochondrial markers COXII and COXIV protein levels normalised on β-actin that has been used as a loading control. Solid dots represent the value respect the control condition, from 4 and 5 (for COXII and COXIV respectively) independent experiments. Pictures show the representative image of the signals. D Histograms show the mean of the signal of PINK1 protein, normalised on Vinculin that has been used as a loading control, in MCF7 after 1 h of DXR 30 µM treatment. Solid dots represent the value respect to the control condition, from 4 independent experiments. The “*” symbol in the image indicates the signal of the cleaved form of PINK1, reported as cytosolic and that was not considered for the quantification. E Representative images of GFP-Parkin translocation on mitochondria are illustrated on the right panels. Scale bar, 10 μm is shown. F The graph indicates the mean of the signal of GFP-Parkin protein in mitochondrial fractions, after 2 h of DXR 30 µM treatment. Solid dots represent the value respect to the control condition, from 5 independent experiments. Pictures show the representative image of the signals. TOMM20 and GAPDH have been used, respectively, as a loading control for mitochondrial and cytosolic fractions. G Protocol used in order to obtain MCF7 grown as mammospheres, depicted in the image in treated and untreated conditions. Scale bar, 32 μm is shown. H Measure of mtDNA/nDNA ratio in 3D MCF7 cultures after 72 h of DXR 2 µM treatment. Dots represent the mean of Ct of at least 3 technical replicates, from 3 independent experiments. S.D. are indicated in red. Mann-Whitney test was performed for A; unpaired t-test (Welch’s correction) was performed for D, E and G. One-way ANOVA (Tukey’s multiple comparison) test was performed for B and C. *p < 0.05, **p < 0.01, ***p < 0.001, ****p < 0.0001.