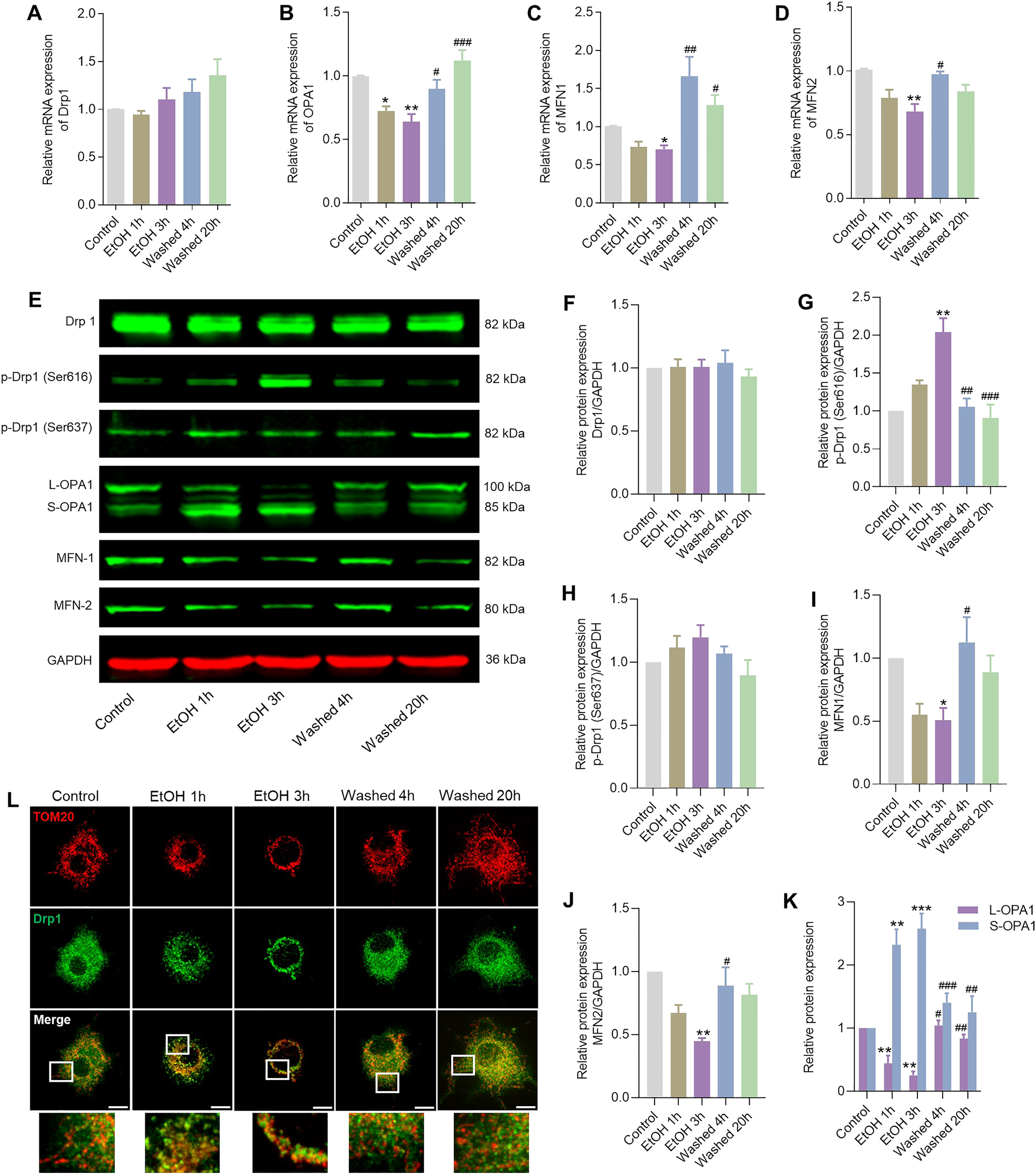
Fig. 5: Changes in regulators of mitochondrial fusion/fission in the process of cellular degeneration and recovery.

A–D mRNA expression of Drp1, OPA1, MFN1, and MFN2 measured by qPCR in neuronal PC12 cells. Data are presented as mean ± SEM. *P < 0.05, **P < 0.01, vs. control group; #P < 0.05, ##P < 0.01, ###P < 0.001, vs. EtOH 3 h group. E–K Protein expression of Drp1, p-Drp1 (Ser616), p-Drp1 (Ser637), OPA1, MFN1, and MFN2 in neuronal PC12 cells detected by Western blot. Data are presented as mean ± SEM. *P < 0.05, **P < 0.01, ***P < 0.001, vs. control group; #P < 0.05, ##P < 0.01, ###P < 0.001, vs. EtOH 3 h group. L Immunofluorescence images showed that Drp1 signals were diffused in the cytosol before EtOH treatment. After applying EtOH for 3 h, the signals became more punctate and appeared to be translocated to the mitochondria. After removing EtOH by washing, the Drp1 signals were again diffused throughout the cytosol. Mitochondria and Drp1 were stained with TOM20 antibody (red) and Drp1 antibody (green) separately. Scale bar: 10 µm. EtOH ethanol.