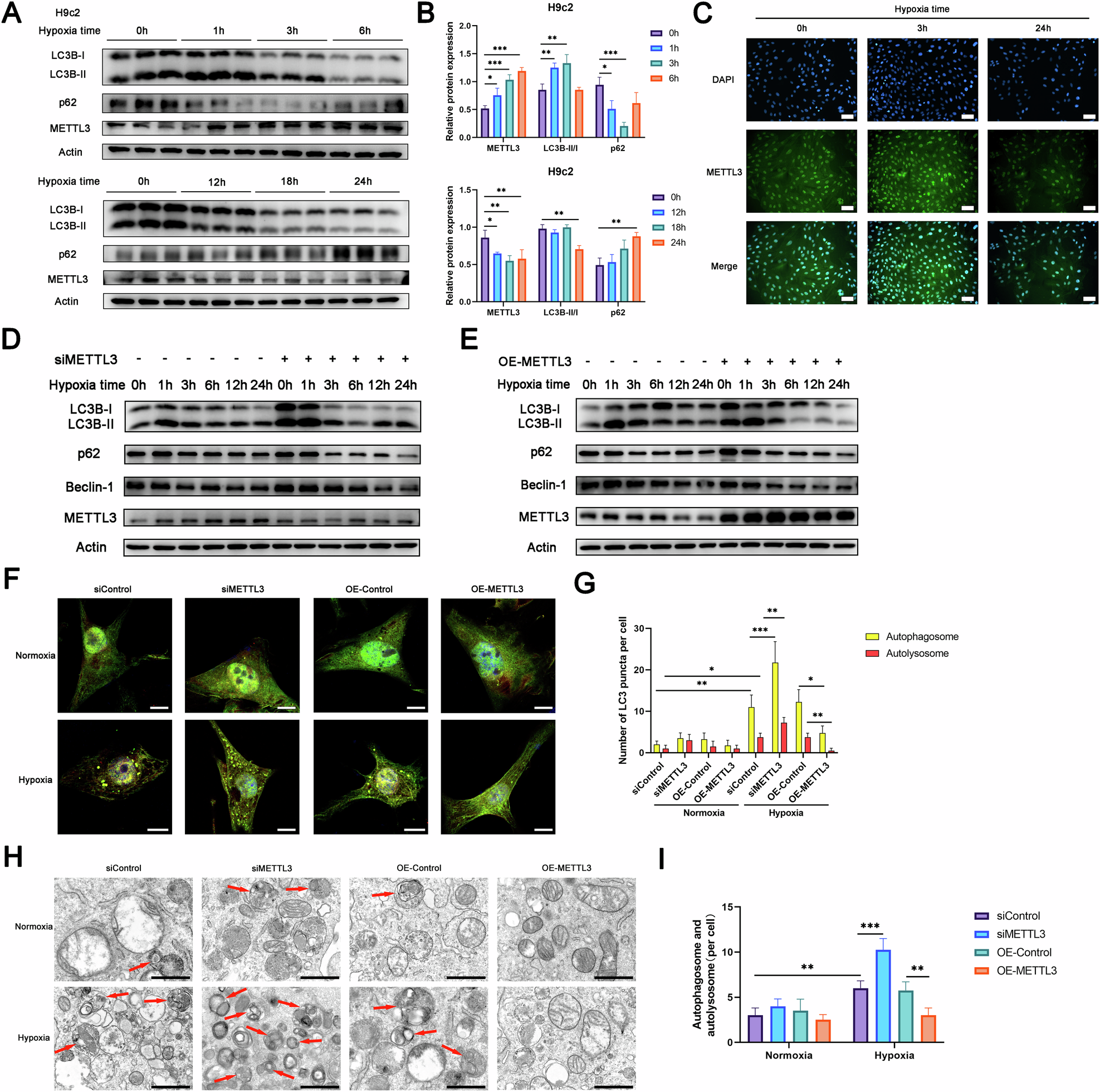
Fig. 1: METTL3 regulated autophagy in hypoxia-induced cardiomyocytes.
From: METTL3 regulates autophagy of hypoxia-induced cardiomyocytes by targeting ATG7

A, B H9c2 cells were exposed to hypoxia for 0 h, 1 h, 3 h, 6 h, 12 h, 18 h, and 24 h, respectively, and the protein levels were analyzed by Western blotting (n = 3). C The representative images of immunofluorescence staining for METTL3 in H9c2 cells with or without hypoxia (n = 3). Scale bar: 100 μm. D Western blot analysis of protein levels in H9c2 cells with METTL3 knockdown following hypoxia for the indicated time periods (n = 3). E Western blot analysis of protein levels in H9c2 cells with METTL3 overexpression following hypoxia for the indicated time periods (n = 3). F, G EGFP-mCherry-LC3 was transfected into NRCMs, and autophagosome (yellow) and autolysosome (red) formation was examined in METTL3 knockdown or METTL3 overexpressing cells, with or without hypoxia (n = 5). Scale bar: 10 μm. H, I Transmission electron microscopy analysis of autophagosomes and autolysosomes in METTL3 knockdown or METTL3 overexpressing cells, with or without hypoxia (n = 5). Arrows indicate autophagosomes and autolysosomes. Scale bar: 1 μm. All data were presented as mean ± SD. ns represents p > 0.05, *p < 0.05, **p < 0.01, ***p < 0.001, ****p < 0.0001.