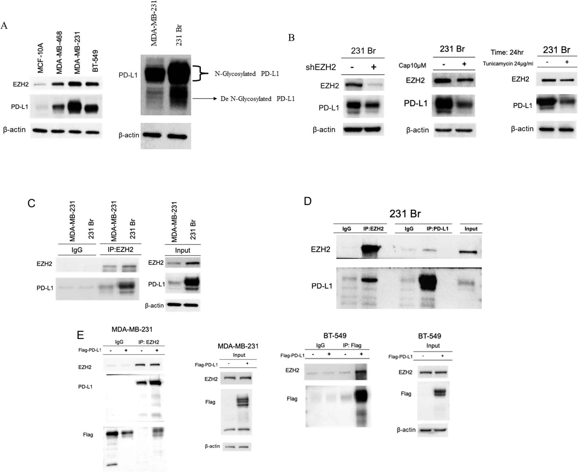
Fig. 8: The interaction between EZH2 and PD-L1 in TNBC and MDA-231Br cells.

A Western blot analysis showing the expression of EZH2 and PD-L1 across different breast cancer cell lines (MCF-10A, MDA-MB-468, MDA-MB-231, BT-549) and the brain metastatic variant 231Br. The results indicate higher levels of both EZH2 and PD-L1 in the TNBC cell lines compared to the non-tumorigenic MCF-10A cell line. Notably, 231Br cells exhibit increased N-glycosylated PD-L1 compared to MDA-MB-231 cells, indicated by the distinct bands corresponding to the glycosylated and de-glycosylated forms of PD-L1. B Western blot analysis of 231Br cells showing the effects of EZH2 knockdown (shEZH2), Capsanthin and Tunicamycin treatment on PD-L1 expression. Both interventions result in a reduction of N-glycosylated PD-L1 levels and overall PD-L1 expression, suggesting that EZH2 positively regulates PD-L1 glycosylation. C Immunoprecipitation (IP) assay demonstrated the interaction between EZH2 and PD-L1 in MDA-MB-231 and 231Br cells. Immunoprecipitation with anti-EZH2 antibodies pulls down PD-L1, confirming the physical interaction between these proteins in both cell lines. D Western blot analysis of immunoprecipitates from 231Br cells showing that EZH2 and PD-L1 interact directly, confirming the association between these two proteins in the context of brain metastasis in TNBC. E Western blot analysis of MDA-MB-231 and BT-549 cells transfected with Flag-tagged PD-L1. The transfection increases the levels of N-glycosylated PD-L1 and enhances the interaction between EZH2 and PD-L1, as shown by co-immunoprecipitation.