Fig. 3: Inhibiting cell proliferation partially rescues the impaired ciliated cell differentiation.
From: STK11 is required for the normal program of ciliated cell differentiation in airways

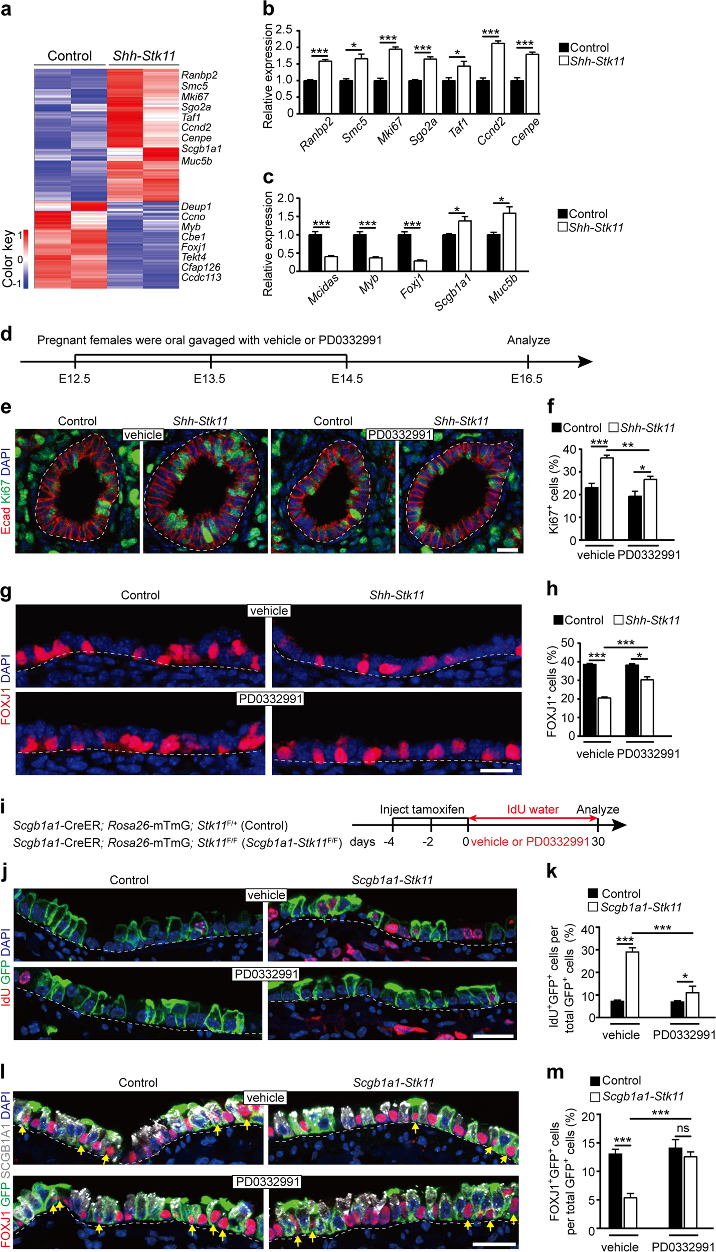
a Heat map of the expression values of genes expressed differentially between E16.5 Shh-Stk11 lungs and control lungs. b Fold change of relative mRNA expression of airway epithelial cell genes in E16.5 Shh-Stk11 lungs compared to Control lungs (n = 3). c Fold change of relative mRNA expression of cell-cycle genes in E16.5 Shh-Stk11 lungs compared to Control lungs (n = 3). d Pregnant females were oral gavaged daily with a CDK4/6 inhibitor (PD0332991) each day from E12.5 to E14.5. Lungs were analyzed at E16.5. e Cell proliferation was analyzed by antibody staining against Ki67 and E-cadherin (E-cad). f The proportion of Ki67+ cells in the intrapulmonary airways of E16.5 lungs (vehicle Control, n = 5; vehicle Shh-Stk11, n = 3; PD0332991 Control, n = 7; PD0332991 Shh-Stk11, n = 8). g Immunofluorescence staining with antibodies against FOXJ1 and SCGB1A1 in lungs after either vehicle or PD0332991 treatment. h The proportion of FOXJ1+ cells (vehicle Control, n = 3; vehicle Shh-Stk11, n = 4; PD0332991 Control, n = 3; PD0332991 Shh-Stk11, n = 5) and the proportion of SCGB1A1+ cells (n = 3) in the intrapulmonary airways of E16.5 lungs after either vehicle or PD0332991 treatment. i Ten-week-old mice were treated with three doses of tamoxifen. Mice were treated with PD0332991 or vehicle every other day via oral gavage and fed with water containing IdU for 30 days before collecting lungs for analysis. j Immunofluorescence staining with antibodies against IdU and GFP in lungs after either vehicle or PD0332991 treatment for 30 days. k The proportion of IdU+ cells in the GFP labeled intrapulmonary airway epithelium (n = 3). l Immunofluorescence staining with antibodies against FOXJ1, GFP, and SCGB1A1 in lungs after either vehicle or PD0332991 treatment for 30 days. The yellow arrows indicate cells expressing both GFP and FOXJ1. m The proportion of FOXJ1+GFP+ cells to GFP+ cells in lungs after either vehicle or PD0332991 treatment for 30 days (n = 3). *P < 0.05; **P < 0.01; ***P < 0.001. Data shown in the graphs are means ± SEM. Student’s t test. Scale bars: e, g: 11 μm; j, l: 20 μm