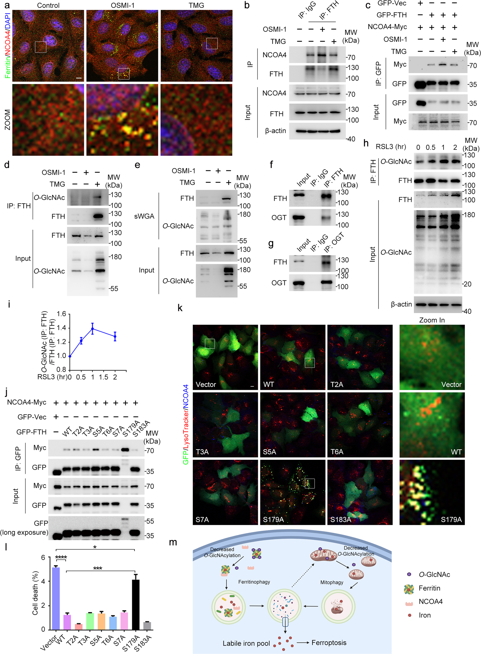
Fig. 6: De-O-GlcNAcylation of FTH at S179 promotes its interaction with NCOA4.
From: Dynamic O-GlcNAcylation coordinates ferritinophagy and mitophagy to activate ferroptosis

a U2OS cells were treated with OSMI-1 or TMG for 24 h and subjected to immunofluorescence microscopy with antibodies against Ferritin and NCOA4. b Cell lysates from U2OS cells treated with OSMI-1 or TMG for 24 h were immunoprecipitated with antibodies against NCOA4 or FTH and IgG, and then immunoblotted with the indicated antibodies. c Cell lysates from 293T cells stably expressing the indicated proteins were immunoprecipitated with anti-GFP magnetic beads and immunoblotted with the indicated antibodies. d Cell lysates from U2OS cells treated with OSMI-1 or TMG for 24 h were immunoprecipitated with antibodies against FTH and immunoblotted with the indicated antibodies. e Cell lysates from U2OS cells treated with OSMI-1 or TMG for 24 h were pulled down with sWGA and immunoblotted with the indicated antibodies. f, g Cell lysates from U2OS cells were immunoprecipitated with antibodies against FTH or OGT and IgG and immunoblotted with the indicated antibodies. h, i Cell lysates from U2OS cells treated with RSL3 for the indicated time were immunoprecipitated with antibodies against FTH and immunoblotted with the indicated antibodies. The relative optical intensity was quantified. j Cell lysates from 293T cells stably expressing the indicated proteins were immunoprecipitated with anti-GFP magnetic beads and immunoblotted with the indicated antibodies. k U2OS cells were transfected with indicated plasmids for 24 h. Cells were stained with LysoTracker and immunostained with anti-NCOA4 antibody, and then subjected to confocal microscopy. l U2OS cells were transfected with indicated plasmids for 24 h, and incubated with RSL3 for 8 h. Cells were stained with PI and assessed by flow cytometry, and the percentage of GFP/PI double-positive cells was quantified. m Model for the regulation of O-GlcNAcylation in ferroptosis via ferritinophagy and mitophagy. Inhibition of O-GlcNAcylation promoted ferritinophagy by increasing the interaction between FTH and NCOA4, resulting in the accumulation of labile iron which may flux toward mitochondria. Decreased O-GlcNAcylation also resulted in mitochondria fragmentation and enhanced mitophagy, providing additional source for labile iron and rendering the cell to be more sensitive to ferroptosis. Scale bars, 10 μm. *P < 0.05, ***P < 0.001, ****P < 0.0001; ns, not significant. Error bars indicate SD.